• Tel: 858.663.9055
  • SeparatorEmail: info@nsjbio.com
  • Tel: 858.663.9055
  • Email: info@nsjbio.com
Home >> Antibodies >> FCGR1A Antibody / High affinity immunoglobulin gamma Fc receptor I / CD64

FCGR1A Antibody / High affinity immunoglobulin gamma Fc receptor I / CD64 [clone FCGR1A/7499] (V5889)

  Catalog No Formulation Size Price (USD)  
Image V5889-100UG 0.2 mg/ml in 1X PBS with 0.05% BSA, 0.05% sodium azide 100 ug 559
Image
V5889-20UG 0.2 mg/ml in 1X PBS with 0.05% BSA, 0.05% sodium azide 20 ug 259
Image
V5889SAF-100UG 1 mg/ml in 1X PBS; BSA free, sodium azide free 100 ug 559
Bulk quote request
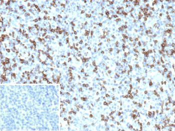
FCGR1A Antibody Human Tonsil Tissue IHC. Immunohistochemistry analysis of FCGR1A (CD64). Formalin-fixed, paraffin-embedded human tonsil tissue stained with FCGR1A/High affinity immunoglobulin gamma Fc receptor I antibody (clone FCGR1A/7499). Brown chromogenic signal indicates FCGR1A-positive cells, with membranous and cytoplasmic brown staining observed in immune cells within the tonsillar tissue. Inset shows PBS used in place of primary antibody as a secondary-only negative control. Heat-induced epitope retrieval was performed by heating tissue sections in 10mM Tris with 1mM EDTA, pH 9.0, for 45 minutes at 95oC, followed by cooling at room temperature for 20 minutes.
FCGR1A Antibody Brain WB. Western blot testing of human brain tissue lysate with FCGR1A/High affinity immunoglobulin gamma Fc receptor I antibody (clone FCGR1A/7499). Predicted molecular weight: 39-75 kDa depending on glycosylation level.
SDS-PAGE Analysis of purified FCGR1A/High affinity immunoglobulin gamma Fc receptor I antibody (clone FCGR1A/7499). Confirmation of Purity and Integrity of Antibody.
Species Reactivity Human
Format Purified
Host Mouse
Clonality Monoclonal (mouse origin)
Isotype Mouse IgG2a, kappa
Clone Name FCGR1A/7499
UniProt P12314
Localization Cell membrane
Applications Immunohistochemistry (FFPE) : 1-2ug/ml
Western Blot : 2-4ug/ml
Limitations This FCGR1A / High affinity immunoglobulin gamma Fc receptor I antibody is available for research use only.
Review this product on BioCompare and get a $20 Amazon gift card

Related Products

Description

Fc gamma receptor I (also known as High affinity immunoglobulin gamma Fc receptor I) is a cell surface immunoreceptor encoded by the FCGR1A gene and is commonly referred to as CD64 in the immunology literature. FCGR1A is a member of the Fc gamma receptor family and is distinguished by its high affinity for monomeric IgG, allowing it to bind circulating immunoglobulin under physiological conditions. The FCGR1A antibody is widely used to study immune cell activation, antibody-mediated phagocytosis, and inflammatory signaling pathways.

FCGR1A is predominantly expressed on cells of the myeloid lineage, including monocytes, macrophages, and activated dendritic cells. Expression levels are dynamically regulated by inflammatory cytokines such as interferon-gamma, which strongly upregulates CD64 during immune activation. This inducible expression pattern makes FCGR1A a valuable marker for immune activation states and inflammatory responses. In tissues, FCGR1A localizes to the plasma membrane, where it functions as a receptor for IgG-opsonized targets and immune complexes.

Structurally, Fc gamma receptor I contains three extracellular immunoglobulin-like domains, distinguishing it from lower-affinity Fc gamma receptors that contain only two such domains. This structural feature underlies its high-affinity IgG binding capability. Upon ligand engagement, FCGR1A associates with the common Fc receptor gamma chain, which contains immunoreceptor tyrosine-based activation motifs that initiate downstream signaling cascades leading to phagocytosis, cytokine release, and antigen presentation.

Functionally, FCGR1A plays a central role in innate and adaptive immune crosstalk. By mediating uptake of IgG-coated pathogens or cellular debris, it contributes to antigen processing and presentation, linking humoral immunity to cellular immune responses. Altered FCGR1A expression has been reported in autoimmune diseases, chronic inflammatory disorders, infectious diseases, and hematologic malignancies. Because CD64 expression increases on activated monocytes and macrophages, FCGR1A antibody reagents are frequently used to assess immune activation status in research settings.

The FCGR1A antibody clone FCGR1A/7499 is designed to recognize Fc gamma receptor I in research applications. Clone FCGR1A/7499 provides a useful tool for investigating CD64 expression patterns, immune cell phenotyping, and receptor distribution in normal and disease-associated tissues.

Researchers studying Fc receptor signaling, monocyte activation, and antibody-dependent immune responses may also benefit from the CD64 Antibody / High-Affinity Fc Gamma Receptor page featuring the widely published clone 10.1 and flow cytometry validation in PBMC immune cell populations.

Application Notes

Optimal dilution of the FCGR1A / High affinity immunoglobulin gamma Fc receptor I antibody should be determined by the researcher.

Immunogen

A recombinant fragment (around amino acids 1-200) of human FCGR1A protein (exact sequence is proprietary) was used as the immunogen for the FCGR1A / High affinity immunoglobulin gamma Fc receptor I antibody.

Storage

FCGR1A / High affinity immunoglobulin gamma Fc receptor I antibody with sodium azide - store at 2 to 8oC; antibody without sodium azide - store at -20 to -80oC.

Alternate Names

FCGR1A antibody, CD64 antibody, Fc gamma receptor 1A antibody, Fc gamma RI antibody, FCGR1A leukocyte receptor antibody, High-affinity Fc receptor antibody, CD64 immune marker antibody, Monocyte Fc receptor antibody, Macrophage immune receptor antibody, Innate immune receptor antibody

Cross
Bulk Quote Request Form
Name*:
Organization*:
Email*:
Phone Number*:
Catalog No.*:
Comments and Specifics(amount, formulation, etc.)*:
Validation code: Captchapackage Image


Can't read the image? click here to refresh.
    *required field

Your bulk quote request has been submitted successfully!

Please contact us if you have any questions.