• Tel: 858.663.9055
  • SeparatorEmail: info@nsjbio.com
  • Tel: 858.663.9055
  • Email: info@nsjbio.com
Home >> Antibodies >> FBXO7 Antibody / F-box only protein 7

FBXO7 Antibody / F-box only protein 7 (FY13137)

  Catalog No Formulation Size Price (USD)  
Image FY13137 Adding 0.2 ml of distilled water will yield a concentration of 500 ug/ml 100 ug 439
Bulk quote request
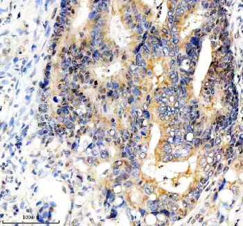
Immunohistochemical staining of FBXO7 using anti-FBXO7 antibody. FBXO7 was detected in a paraffin-embedded section of human colon cancer tissue. Heat mediated antigen retrieval was performed in EDTA buffer (pH 8.0, epitope retrieval solution). The tissue section was blocked with 10% goat serum. The tissue section was then incubated with 2 ug/ml rabbit anti-FBXO7 antibody overnight at 4oC. Peroxidase Conjugated Goat Anti-rabbit IgG was used as secondary antibody and incubated for 30 minutes at 37oC. The tissue section was developed using an HRP secondary and DAB substrate.
Western blot analysis of FBXO7 using anti-FBXO7 antibody. Electrophoresis was performed on a 10% SDS-PAGE gel at 80V (Stacking gel) / 120V (Resolving gel) for 2 hours. Lane 1: human HUVEC whole cell lysates, Lane 2: human HEL whole cell lysates, Lane 3: human HepG2 whole cell lysates, Lane 4: human 293T whole cell lysates, Lane 5: rat lung tissue lysates, Lane 6: rat small intestine tissue lysates. After electrophoresis, proteins were transferred to a nitrocellulose membrane at 150 mA for 50-90 minutes. Blocked the membrane with 5% non-fat milk/TBS for 1.5 hour at RT. The membrane was incubated with rabbit anti-FBXO7 antibody at 0.5 ug/ml overnight at 4oC, then washed with TBS-0.1%Tween 3 times with 5 minutes each and probed with a goat anti-rabbit IgG-HRP secondary antibody at a dilution of 1:5000 for 1.5 hour at RT. The signal was developed using an ECL Plus Western Blotting Substrate. FBXO7 antibody detects two bands at ~59 kDa and ~72 kDa in multiple cell and tissue lysates. The ~59 kDa species corresponds to the canonical isoform 1, while the ~72 kDa band likely represents the longer isoform 2 or a post-translationally modified form of FBXO7. Both species are consistently reported in literature.
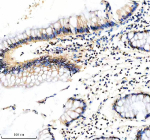
Immunohistochemical staining of FBXO7 using anti-FBXO7 antibody. FBXO7 was detected in a paraffin-embedded section of human colon tissue. Heat mediated antigen retrieval was performed in EDTA buffer (pH 8.0, epitope retrieval solution). The tissue section was blocked with 10% goat serum. The tissue section was then incubated with 2 ug/ml rabbit anti-FBXO7 antibody overnight at 4oC. Peroxidase Conjugated Goat Anti-rabbit IgG was used as secondary antibody and incubated for 30 minutes at 37oC. The tissue section was developed using an HRP secondary and DAB substrate.
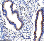
Immunohistochemical staining of FBXO7 using anti-FBXO7 antibody. FBXO7 was detected in a paraffin-embedded section of human endometrial cancer tissue. Heat mediated antigen retrieval was performed in EDTA buffer (pH 8.0, epitope retrieval solution). The tissue section was blocked with 10% goat serum. The tissue section was then incubated with 2 ug/ml rabbit anti-FBXO7 antibody overnight at 4oC. Peroxidase Conjugated Goat Anti-rabbit IgG was used as secondary antibody and incubated for 30 minutes at 37oC. The tissue section was developed using an HRP secondary and DAB substrate.
Immunofluorescent staining of FBXO7 using anti-FBXO7 antibody (green) and anti-Beta Tubulin antibody (red). FBXO7 was detected in an immunocytochemical section of U2OS cells. Enzyme antigen retrieval was performed using IHC enzyme antigen retrieval reagent for 15 mins. The cells were blocked with 10% goat serum. And then incubated with 5 ug/ml rabbit anti-FBXO7 antibody and mouse anti-Beta Tubulin antibody overnight at 4oC. DyLight 488 Conjugated Goat Anti-Rabbit IgG and Cy3 Conjugated Goat Anti-Mouse IgG were used as secondary antibody at 1:500 dilution and incubated for 30 minutes at 37oC. Visualize using a fluorescence microscope and filter sets appropriate for the label used.
Immunoprecipitating FBXO7 in HepG2 whole cell lysate. Western blot analysis of FBXO7 using anti-FBXO7 antibody. Lane 1: HepG2 whole cell lysates (30ug), Lane 2: Rabbit control IgG instead of anti-FBXO7 antibody in HepG2 whole cell lysate, Lane 3: anti-FBXO7 antibody (2ug) + HepG2 whole cell lysate (500ug). After electrophoresis, proteins were transferred to a membrane. Then the membrane was incubated with rabbit anti-FBXO7 antibody at a dilution of 0.5 ug/ml and probed with a goat anti-rabbit IgG-HRP secondary antibody. The signal is developed using ECL Plus Western Blotting Substrate. FBXO7 antibody detects two bands at ~59 kDa and ~72 kDa in multiple cell and tissue lysates. The ~59 kDa species corresponds to the canonical isoform 1, while the ~72 kDa band likely represents the longer isoform 2 or a post-translationally modified form of FBXO7. Both species are consistently reported in literature.
Flow Cytometry analysis of HepG2 cells using anti-FBXO7 antibody. Overlay histogram showing HepG2 cells stained with (Blue line). To facilitate intracellular staining, cells were fixed with 4% paraformaldehyde and permeabilized with permeabilization buffer. The cells were blocked with 10% normal goat serum. And then incubated with rabbit anti-FBXO7 antibody (1 ug/million cells) for 30 min at 20oC. DyLight 488 conjugated goat anti-rabbit IgG (5-10 ug/million cells) was used as secondary antibody for 30 minutes at 20oC. Isotype control antibody (Green line) was rabbit IgG (1 ug/million cells) used under the same conditions. Unlabelled sample without incubation with primary antibody and secondary antibody (Red line) was used as a blank control.
Availability 1-2 days
Species Reactivity Human, Rat
Format Lyophilized
Clonality Polyclonal (rabbit origin)
Isotype Rabbit IgG
Purity Immunogen affinity purified
Buffer Each vial contains 4 mg Trehalose, 0.9 mg NaCl, 0.2 mg Na2HPO4.
UniProt Q9Y3I1
Localization Nuclear, cytoplasmic
Applications Western Blot : 0.25-0.5ug/ml
Immunohistochemistry : 2-5ug/ml
Immunocytochemistry/Immunofluorescence : 5ug/ml
Immunoprecipitation : 2-4ug/500ug of lysate
Flow Cytometry : 1-3ug/million cells
ELISA : 0.1-0.5ug/ml
Limitations This FBXO7 antibody is available for research use only.
Review this product on BioCompare and get a $20 Amazon gift card

Description

FBXO7 antibody detects F-box only protein 7, an E3 ubiquitin ligase component that regulates protein degradation, cell cycle progression, and mitochondrial quality control. The UniProt recommended name is F-box only protein 7 (FBXO7). This protein belongs to the F-box family, which mediates substrate recognition within SCF (SKP1-CUL1-F-box) ubiquitin ligase complexes, promoting selective proteasomal degradation of target proteins.

Functionally, FBXO7 antibody identifies a 522-amino-acid cytoplasmic and nuclear protein containing an F-box domain for SCF complex binding and a proline-rich region that mediates protein-protein interactions. FBXO7 participates in cell cycle regulation by targeting cell cycle inhibitors for ubiquitination. It also plays a role in mitophagy by interacting with PINK1 and Parkin to promote the clearance of damaged mitochondria, maintaining neuronal and muscular health.

The FBXO7 gene is located on chromosome 22q12.3 and is broadly expressed, with high levels in brain, skeletal muscle, and lymphoid tissues. Its cellular distribution reflects multifunctional roles in ubiquitin-mediated proteolysis, cytoskeletal organization, and signal transduction.

Pathologically, mutations in FBXO7 are associated with Parkinsonian-pyramidal syndrome (PARK15), a neurodegenerative disorder combining parkinsonism with upper motor neuron dysfunction. Loss of FBXO7 disrupts mitophagy, leading to mitochondrial dysfunction and neurodegeneration. Research using FBXO7 antibody supports studies in protein degradation, neurobiology, and mitochondrial homeostasis.

FBXO7 antibody is validated for western blotting, immunofluorescence, and immunohistochemistry to detect F-box proteins and ubiquitination regulators. NSJ Bioreagents provides FBXO7 antibody reagents optimized for studies in proteostasis, neurodegeneration, and cell cycle control.

Structurally, F-box only protein 7 contains an F-box domain for SKP1 binding, coiled-coil regions for dimerization, and a ubiquitin-like domain that facilitates substrate recruitment. This antibody enables detailed characterization of FBXO7's function in E3 ligase activity and mitochondrial quality control.

Application Notes

Optimal dilution of the FBXO7 antibody should be determined by the researcher.

Immunogen

E.coli-derived human FBXO7 recombinant protein (Position: E18-M522) was used as the immunogen for the FBXO7 antibody.

Storage

After reconstitution, the FBXO7 antibody can be stored for up to one month at 4oC. For long-term, aliquot and store at -20oC. Avoid repeated freezing and thawing.

Cross
Bulk Quote Request Form
Name*:
Organization*:
Email*:
Phone Number*:
Catalog No.*:
Comments and Specifics(amount, formulation, etc.)*:
Validation code: Captchapackage Image


Can't read the image? click here to refresh.
    *required field

Your bulk quote request has been submitted successfully!

Please contact us if you have any questions.