• Tel: 858.663.9055
  • SeparatorEmail: info@nsjbio.com
  • Tel: 858.663.9055
  • Email: info@nsjbio.com
Home >> Antibodies >> Fatty Acid Binding Protein 4 Antibody / FABP4

Fatty Acid Binding Protein 4 Antibody / FABP4 [clone FABP4/9086R] (V5488)

  Catalog No Formulation Size Price (USD)  
Image V5488-100UG 0.2 mg/ml in 1X PBS with 0.1 mg/ml BSA (US sourced), 0.05% sodium azide 100 ug 559
Image
V5488-20UG 0.2 mg/ml in 1X PBS with 0.1 mg/ml BSA (US sourced), 0.05% sodium azide 20 ug 259
Image
V5488SAF-100UG 1 mg/ml in 1X PBS; BSA free, sodium azide free 100 ug 559
Microvalidated Recrabbitmono
Bulk quote request
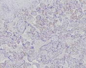
IHC staining of FFPE human placental tissue with Fatty Acid Binding Protein 4 antibody (clone FABP4/9086R). Inset: PBS used in place of primary Ab (secondary Ab negative control). HIER: boil tissue sections in pH 9 10mM Tris with 1mM EDTA for 20 min and allow to cool before testing.
IHC staining of FFPE human placental tissue with Fatty Acid Binding Protein 4 antibody (clone FABP4/9086R). HIER: boil tissue sections in pH 9 10mM Tris with 1mM EDTA for 20 min and allow to cool before testing.
SDS-PAGE analysis of purified, BSA-free Fatty Acid Binding Protein 4 antibody (clone FABP4/9086R) as confirmation of integrity and purity.
Availability 1-3 business days
Species Reactivity Human
Format Purified
Host Rabbit
Clonality Recombinant Rabbit Monoclonal
Isotype Rabbit IgG, kappa
Clone Name FABP4/9086R
Purity Protein A/G affinity
UniProt P15090
Localization Cytoplasm, Nucleus
Applications Immunohistochemistry (FFPE) : 1-2ug/ml
Limitations This Fatty Acid Binding Protein 4 antibody is available for research use only.
Review this product on BioCompare and get a $20 Amazon gift card

Related Products

Description

Fatty acid-binding proteins, designated FABPs, are a family of homologous, cytoplasmic proteins that are expressed in a highly tissue-specific manner and play an integral role in the balance between lipid and carbohydrate metabolism. FABPs mediate fatty acid (FA) and/or hydrophobic ligand uptake, transport and targeting within their respective tissues. The mechanisms underlying these actions can give rise to both passive diffusional uptake and protein-mediated transmembrane transport of FAs. FABPs are expressed in adipocytes (A-FABP), brain (B-FABP), epidermis (E-FABP, also designated psoriasis-associated FABP or PA-FABP), muscle and heart (H-FABP, also designated mammary-derived growth inhibitor or MDGI), intestine (I-FABP), liver (L-FABP), myelin (M-FABP) and testis (T-FABP). The human A-FABP gene is organized into 4 exons, maps to chromosome 8q21.13, and encodes a 132 amino acid protein. A-FABP protein comprises approximately 1% of the total cytosolic protein in human adipose tissue.

Application Notes

Optimal dilution of the Fatty Acid Binding Protein 4 antibody should be determined by the researcher.

Immunogen

A recombinant fragment (within amino acids 1-132) of human FABP4 protein was used as the immunogen for the Fatty Acid Binding Protein 4 antibody.

Storage

Aliquot the Fatty Acid Binding Protein 4 antibody and store frozen at -20oC or colder. Avoid repeated freeze-thaw cycles.

Cross
Bulk Quote Request Form
Name*:
Organization*:
Email*:
Phone Number*:
Catalog No.*:
Comments and Specifics(amount, formulation, etc.)*:
Validation code: Captchapackage Image


Can't read the image? click here to refresh.
    *required field

Your bulk quote request has been submitted successfully!

Please contact us if you have any questions.