• Tel: 858.663.9055
  • SeparatorEmail: info@nsjbio.com
  • Tel: 858.663.9055
  • Email: info@nsjbio.com
Home >> Antibodies >> Fatty Acid Binding Protein 4 Antibody / FABP4

Fatty Acid Binding Protein 4 Antibody / FABP4 [clone FABP4/4422] (V9482)

  Catalog No Formulation Size Price (USD)  
Image V9482-100UG 0.2 mg/ml in 1X PBS with 0.1 mg/ml BSA (US sourced), 0.05% sodium azide 100 ug 559
Image
V9482-20UG 0.2 mg/ml in 1X PBS with 0.1 mg/ml BSA (US sourced), 0.05% sodium azide 20 ug 259
Image
V9482SAF-100UG 1 mg/ml in 1X PBS; BSA free, sodium azide free 100 ug 559
Microvalidated
Bulk quote request
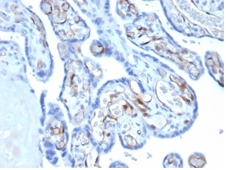
IHC staining of FFPE human placental tissue with Fatty Acid Binding Protein 4 antibody (clone FABP4/4422). HIER: boil tissue sections in pH 9 10mM Tris with 1mM EDTA for 20 min and allow to cool before testing.
IHC staining of FFPE human breast carcinoma tissue with Fatty Acid Binding Protein 4 antibody (clone FABP4/4422). HIER: boil tissue sections in pH 9 10mM Tris with 1mM EDTA for 20 min and allow to cool before testing.
SDS-PAGE analysis of purified, BSA-free Fatty Acid Binding Protein 4 antibody (clone FABP4/4422) as confirmation of integrity and purity.
Analysis of HuProt(TM) microarray containing more than 19,000 full-length human proteins using Fatty Acid Binding Protein 4 antibody (clone FABP4/4422). These results demonstrate the foremost specificity of the FABP4/4422 mAb. Z- and S- score: The Z-score represents the strength of a signal that an antibody (in combination with a fluorescently-tagged anti-IgG secondary Ab) produces when binding to a particular protein on the HuProt(TM) array. Z-scores are described in units of standard deviations (SD's) above the mean value of all signals generated on that array. If the targets on the HuProt(TM) are arranged in descending order of the Z-score, the S-score is the difference (also in units of SD's) between the Z-scores. The S-score therefore represents the relative target specificity of an Ab to its intended target.
Availability 1-3 business days
Species Reactivity Human
Format Purified
Host Mouse
Clonality Monoclonal (mouse origin)
Isotype Mouse IgG1, kappa
Clone Name FABP4/4422
Purity Protein A/G affinity
UniProt P15090
Localization Cytoplasm, Nucleus
Applications Immunohistochemistry (FFPE) : 1-2ug/ml
Limitations This Fatty Acid Binding Protein 4 antibody is available for research use only.
Review this product on BioCompare and get a $20 Amazon gift card

Related Products

Description

Fatty acid-binding proteins, designated FABPs, are a family of homologous, cytoplasmic proteins that are expressed in a highly tissue-specific manner and play an integral role in the balance between lipid and carbohydrate metabolism. FABPs mediate fatty acid (FA) and/or hydrophobic ligand uptake, transport and targeting within their respective tissues. The mechanisms underlying these actions can give rise to both passive diffusional uptake and protein-mediated transmembrane transport of FAs. FABPs are expressed in adipocytes (A-FABP), brain (B-FABP), epidermis (E-FABP, also designated psoriasis-associated FABP or PA-FABP), muscle and heart (H-FABP, also designated mammary-derived growth inhibitor or MDGI), intestine (I-FABP), liver (L-FABP), myelin (M-FABP) and testis (T-FABP). The human A-FABP gene is organized into 4 exons, maps to chromosome 8q21.13, and encodes a 132 amino acid protein. A-FABP protein comprises approximately 1% of the total cytosolic protein in human adipose tissue.

Application Notes

Optimal dilution of the Fatty Acid Binding Protein 4 antibody should be determined by the researcher.

Immunogen

A portion of amino acids 1-132 was used as the immunogen for the Fatty Acid Binding Protein 4 antibody.

Storage

Aliquot the Fatty Acid Binding Protein 4 antibody and store frozen at -20oC or colder. Avoid repeated freeze-thaw cycles.

Cross
Bulk Quote Request Form
Name*:
Organization*:
Email*:
Phone Number*:
Catalog No.*:
Comments and Specifics(amount, formulation, etc.)*:
Validation code: Captchapackage Image


Can't read the image? click here to refresh.
    *required field

Your bulk quote request has been submitted successfully!

Please contact us if you have any questions.