• Tel: 858.663.9055
  • SeparatorEmail: info@nsjbio.com
  • Tel: 858.663.9055
  • Email: info@nsjbio.com
Home >> Antibodies >> FATP-3 Antibody / ACSVL3 / SLC27A3

FATP-3 Antibody / ACSVL3 / SLC27A3 (RQ7704)

  Catalog No Formulation Size Price (USD)  
Image RQ7704 0.5mg/ml if reconstituted with 0.2ml sterile DI water 100 ug 449
Bulk quote request
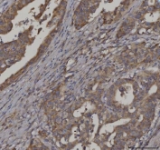
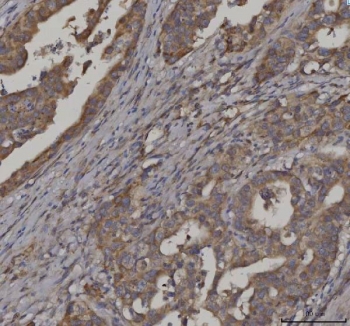
IHC staining of FFPE human colorectal adenocarcinoma tissue with FATP-3 antibody. HIER: boil tissue sections in pH8 EDTA for 20 min and allow to cool before testing.
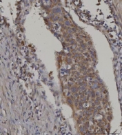
IHC staining of FFPE human esophageal squamous carcinoma tissue with FATP-3 antibody. HIER: boil tissue sections in pH8 EDTA for 20 min and allow to cool before testing.
Western blot testing of 1) human MCF7, 2) human HaCaT and 3) mouse NIH 3T3 cell lysate with FATP-3 antibody. Predicted molecular weight ~74 kDa.
Availability 1-3 business days
Species Reactivity Human, Mouse
Format Antigen affinity purified
Host Rabbit
Clonality Polyclonal (rabbit origin)
Isotype Rabbit IgG
Purity Antigen affinity purified
Buffer Lyophilized from 1X PBS with 2% Trehalose
UniProt Q5K4L6
Localization Cytoplasmic
Applications Western Blot : 0.5-1ug/ml
Immunohistochemistry (FFPE) : 2-5ug/ml
Direct ELISA : 0.1-0.5ug/ml
Limitations This FATP-3 antibody is available for research use only.
Review this product on BioCompare and get a $20 Amazon gift card

Description

Long-chain fatty acid transport protein 3 is a protein that in humans is encoded by the SLC27A3 gene. This gene belongs to a family of integral membrane proteins and encodes a protein that is involved in lipid metabolism. The increased expression of this gene in human neural stem cells derived from induced pluripotent stem cells suggests that it plays an important role in early brain development. Naturally occurring mutations in this gene are associated with autism spectrum disorders. Alternative splicing results in multiple transcript variants.

Application Notes

Optimal dilution of the FATP-3 antibody should be determined by the researcher.

Immunogen

E. coli-derived recombinant human protein (amino acids L192-I683) was used as the immunogen for the FATP-3 antibody.

Storage

After reconstitution, the FATP-3 antibody can be stored for up to one month at 4oC. For long-term, aliquot and store at -20oC. Avoid repeated freezing and thawing.

Cross
Bulk Quote Request Form
Name*:
Organization*:
Email*:
Phone Number*:
Catalog No.*:
Comments and Specifics(amount, formulation, etc.)*:
Validation code: Captchapackage Image


Can't read the image? click here to refresh.
    *required field

Your bulk quote request has been submitted successfully!

Please contact us if you have any questions.