• Tel: 858.663.9055
  • SeparatorEmail: info@nsjbio.com
  • Tel: 858.663.9055
  • Email: info@nsjbio.com
Home >> Antibodies >> FAT2 Antibody / Protocadherin Fat 2

FAT2 Antibody / Protocadherin Fat 2 [clone 8C5] (V3388)

  Catalog No Formulation Size Price (USD)  
Image V3388-100UG 0.2 mg/ml in 1X PBS with 0.1 mg/ml BSA (US sourced) and 0.05% sodium azide 100 ug 559
Image
V3388-20UG 0.2 mg/ml in 1X PBS with 0.1 mg/ml BSA (US sourced) and 0.05% sodium azide 20 ug 259
Image
V3388SAF-100UG 1 mg/ml in 1X PBS; BSA free, sodium azide free 100 ug 559
Bulk quote request
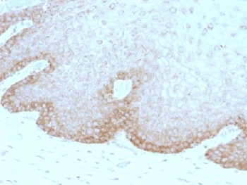
IHC testing of human cervical carcinoma with FAT2 antibody (clone 8C5). Required HIER: boil tissue sections in 10mM citrate buffer, pH 6, for 10-20 min followed by cooling at RT for 20 min.
IHC testing of human bladder carcinoma with FAT2 antibody (clone 8C5). Required HIER: boil tissue sections in 10mM citrate buffer, pH 6, for 10-20 min followed by cooling at RT for 20 min.
SDS-PAGE Analysis of Purified, BSA-Free FAT2 Antibody (clone 8C5). Confirmation of Integrity and Purity of the Antibody.
Species Reactivity Human
Format Purified
Host Mouse
Clonality Monoclonal (mouse origin)
Isotype Mouse IgG1, kappa
Clone Name 8C5
Purity Protein G affinity chromatography
Buffer 1X PBS, pH 7.4
UniProt Q9NYQ8
Localization Cell surface
Applications Flow Cytometry : 0.5-1ug/10^6 cells
Immunofluorescence : 1-2ug/ml
Immunohistochemistry (FFPE) : 0.5-1ug/ml for 30 min at RT
Limitations This FAT2 antibody is available for research use only.
Review this product on BioCompare and get a $20 Amazon gift card

Description

Recognizes a protein of 480kDa, which is identified as FAT2. The cadherins represent a family of Ca2+-dependent adhesion molecules that function to mediate cell-to-cell binding that is critical for the maintenance of structure and morphogenesis. Cadherins each contain a large extracellular domain at the N-terminus, which is characterized by a series of five homologous repeats, the most distal of which is thought to be responsible for binding specificity. The relatively short C-terminal intracellular domain interacts with a variety of cytoplasmic proteins, including β-catenin, to regulate cadherin function. The cadherin superfamily includes cadherins, protocadherins, desmogleins and desmocollins. FAT2 (FAT tumor suppressor homolog 2) is a single-pass type I membrane protein that belongs to the protocadherin subfamily of cadherins. FAT2 contains one Laminin G-like domain, two EGF-like domains and 32 cadherin domains and is believed to function as a cell adhesion molecule, controlling cell proliferation and playing an important role in cerebellum development.

Application Notes

Titering of the FAT2 antibody may be required for optimal performance.

Immunogen

A recombinant human Protocadherin Fat 2 fusion protein was used as the immunogen for this FAT2 antibody.

Storage

The FAT2 antibody (with azide) can be stored at 2-8oC. The azide-free format should be aliquoted and stored at -20oC or colder.

Cross
Bulk Quote Request Form
Name*:
Organization*:
Email*:
Phone Number*:
Catalog No.*:
Comments and Specifics(amount, formulation, etc.)*:
Validation code: Captchapackage Image


Can't read the image? click here to refresh.
    *required field

Your bulk quote request has been submitted successfully!

Please contact us if you have any questions.