• Tel: 858.663.9055
  • SeparatorEmail: info@nsjbio.com
  • Tel: 858.663.9055
  • Email: info@nsjbio.com
Home >> Antibodies >> Fast-Spiking Interneuron Marker Antibody / Parvalbumin

Fast-Spiking Interneuron Marker Antibody / Parvalbumin [clone PVALB/12610R] (V5984)

  Catalog No Formulation Size Price (USD)  
Image V5984-100UG 0.2 mg/ml in 1X PBS with 0.05% BSA, 0.05% sodium azide 100 ug 559
Image
V5984-20UG 0.2 mg/ml in 1X PBS with 0.05% BSA, 0.05% sodium azide 20 ug 259
Image
V5984SAF-100UG 1 mg/ml in 1X PBS; BSA free, sodium azide free 100 ug 559
Microvalidated Recrabbitmono
Bulk quote request
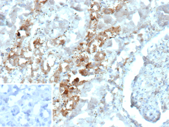
Immunohistochemistry analysis of Fast-Spiking Interneuron Marker/Parvalbumin antibody (clone PVALB/12610R) in human kidney tissue. FFPE human kidney shows cytoplasmic HRP-DAB brown staining within renal tubular epithelial cells, consistent with Parvalbumin expression. Staining is localized predominantly to the cytoplasm of tubular structures, while adjacent glomerular elements and surrounding interstitial cells demonstrate minimal specific signal. The inset image represents a secondary antibody negative control in which PBS was used in place of the primary antibody and shows absence of specific staining. Heat induced epitope retrieval was performed by heating tissue sections in 10 mM Tris with 1 mM EDTA, pH 9.0, at 95oC for 45 minutes followed by cooling at room temperature for 20 minutes prior to immunostaining.
Species Reactivity Human
Format Purified
Host Rabbit
Clonality Recombinant Rabbit Monoclonal
Isotype Rabbit IgG, kappa
Clone Name PVALB/12610R
UniProt P20472
Localization Nucleus, Cytoplasm, Cell junctions
Applications Immunohistochemistry (FFPE) : 1-2ug/ml
Western Blot : 2-4ug/ml
Limitations This Fast-Spiking Interneuron Marker/Parvalbumin antibody is available for research use only.
Review this product on BioCompare and get a $20 Amazon gift card

Related Products

Description

Fast-Spiking Interneuron Marker antibody, also known as Parvalbumin antibody, recognizes Parvalbumin, a small cytosolic EF-hand calcium-binding protein encoded by the human PVALB gene on chromosome 22q12.3. Commonly referred to as Parvalbumin or PV in the neuroscience literature, this protein is predominantly localized to the cytoplasm and is highly expressed in fast-spiking GABAergic interneurons of the cerebral cortex, hippocampus, and cerebellum. It is also present in fast-twitch skeletal muscle fibers. Fast-Spiking Interneuron Marker antibody is widely used to identify interneuron subpopulations that regulate cortical excitability and synchronize neuronal network activity.

Parvalbumin functions primarily as an intracellular calcium buffer. Structurally, it contains three EF-hand motifs, two of which are functional calcium-binding domains capable of binding calcium with high affinity. This buffering capacity allows rapid sequestration of calcium following action potentials, supporting high-frequency firing and precise synaptic timing in inhibitory interneurons. In skeletal muscle, Parvalbumin accelerates relaxation after contraction, particularly in glycolytic fast-twitch fibers. During postnatal brain development, Parvalbumin expression increases as inhibitory circuits mature and gamma oscillatory activity becomes established.

Within the central nervous system, Parvalbumin-positive interneurons often co-localize with synaptic proteins involved in vesicle release and cytoskeletal organization, reflecting their specialization for rapid neurotransmission. Disruption of Parvalbumin-expressing interneurons has been associated with neurological and psychiatric conditions including epilepsy, schizophrenia, and autism spectrum disorders, where altered inhibitory tone and impaired network synchronization are implicated. In muscle biology, Parvalbumin expression correlates with fiber type specification and metabolic properties.

Fast-Spiking Interneuron Marker antibody is suitable for detecting Parvalbumin expression in studies of neural circuitry, neurodevelopment, and muscle physiology. Recombinant monoclonal clone PVALB/12610R is produced using defined expression systems to promote lot-to-lot consistency and reliable performance. A Parvalbumin antibody such as clone PVALB/12610R supports research focused on inhibitory interneuron identification and calcium-buffering protein analysis.

Application Notes

Optimal dilution of the Fast-Spiking Interneuron Marker/Parvalbumin antibody should be determined by the researcher.

Immunogen

Recombinant full-length human PVALB protein was used as the immunogen for the Fast-Spiking Interneuron Marker/Parvalbumin antibody.

Storage

Fast-Spiking Interneuron Marker/Parvalbumin antibody with sodium azide - store at 2 to 8oC; antibody without sodium azide - store at -20 to -80oC.

Cross
Bulk Quote Request Form
Name*:
Organization*:
Email*:
Phone Number*:
Catalog No.*:
Comments and Specifics(amount, formulation, etc.)*:
Validation code: Captchapackage Image


Can't read the image? click here to refresh.
    *required field

Your bulk quote request has been submitted successfully!

Please contact us if you have any questions.