• Tel: 858.663.9055
  • SeparatorEmail: info@nsjbio.com
  • Tel: 858.663.9055
  • Email: info@nsjbio.com
Home >> Antibodies >> FASN Antibody / Fatty acid synthase

FASN Antibody / Fatty acid synthase (R32114)

  Catalog No Formulation Size Price (USD)  
Image R32114 0.5mg/ml if reconstituted with 0.2ml sterile DI water 100 ug 449
Bulk quote request
Immunofluorescent staining of FFPE human ovarian cancer tissue with FASN antibody (red) and DAPI nuclear stain (blue). HIER: steam section in pH8 EDTA buffer for 20 min.
Immunofluorescent staining of FFPE human rectal cancer tissue with FASN antibody (red) and DAPI nuclear stain (blue). HIER: steam section in pH8 EDTA buffer for 20 min.
Immunofluorescent staining of FFPE human T47-D cells tissue with FASN antibody (red) and DAPI nuclear stain (blue). HIER: steam section in pH6 citrate buffer for 20 min.
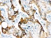
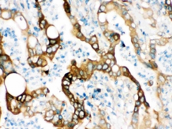
IHC testing of FFPE human intestinal cancer tissue with FASN antibody. HIER: Boil the paraffin sections in pH8 EDTA buffer for 20 minutes and allow to cool prior to staining.
Western blot testing of human 1) HeLa, 2) HepG2, 3) HCCT, 4) 293T, 5) MCF7, 6) RT4 and 7) A549 cell lysate with FASN antibody. Expected molecular weight ~270 kDa.
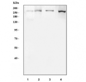
Western blot testing of 1) rat liver, 2) mouse lung, 3) mouse liver and 4) mouse NIH 3T3 cell lysate with FASN antibody. Expected molecular weight ~270 kDa.
Availability 1-3 business days
Species Reactivity Human, Mouse, Rat
Format Antigen affinity purified
Host Rabbit
Clonality Polyclonal (rabbit origin)
Isotype Rabbit IgG
Purity Antigen affinity
Buffer Lyophilized from 1X PBS with 2.5% BSA, 0.025% sodium azide
UniProt P49327
Localization Cytoplasmic
Applications Western Blot : 0.1-0.5ug/ml
Immunohistochemistry (FFPE) : 0.5-1ug/ml
Immunofluorescence (FFPE) : 5ug/ml
Limitations This FASN antibody is available for research use only.
Review this product on BioCompare and get a $20 Amazon gift card

Related Products

Description

Fatty acid synthase (FAS) is an enzyme that in humans is encoded by the FASN gene. The enzyme encoded by this gene is a multifunctional protein. Its main function is to catalyze the synthesis of palmitate from acetyl-CoA and malonyl-CoA, in the presence of NADPH, into long-chain saturated fatty acids. In some cancer cell lines, this protein has been found to be fused with estrogen receptor-alpha (ER-alpha), in which the N-terminus of FAS is fused in-frame with the C-terminus of ER-alpha.

Application Notes

Optimal dilution of the FASN antibody should be determined by the researcher.

Immunogen

Amino acids 1-226 of human FASN were used as the immunogen for the FASN antibody.

Storage

After reconstitution, the FASN antibody can be stored for up to one month at 4oC. For long-term, aliquot and store at -20oC. Avoid repeated freezing and thawing.

Cross
Bulk Quote Request Form
Name*:
Organization*:
Email*:
Phone Number*:
Catalog No.*:
Comments and Specifics(amount, formulation, etc.)*:
Validation code: Captchapackage Image


Can't read the image? click here to refresh.
    *required field

Your bulk quote request has been submitted successfully!

Please contact us if you have any questions.