• Tel: 858.663.9055
  • SeparatorEmail: info@nsjbio.com
  • Tel: 858.663.9055
  • Email: info@nsjbio.com
Home >> Antibodies >> FASN Antibody

FASN Antibody (F50414)

  Catalog No Formulation Size Price (USD)  
Image F50414-0.4ML In 1X PBS, pH 7.4, with 0.09% sodium azide 0.4 ml 439
Image
F50414-0.08ML In 1X PBS, pH 7.4, with 0.09% sodium azide 0.08 ml 205
Bulk quote request
Western blot analysis of FASN antibody in Ramos lysate. Predicted molecular weight ~ 270 kDa.
Western blot analysis of FASN antibody and 293 cell lysate either nontransfected (Lane 1) or transiently transfected with the FASN gene (2).
Confocal immunofluorescent analysis of FASN antibody with HeLa cells followed by Alexa Fluor 488-conjugated goat anti-rabbit lgG (green). DAPI was used as a nuclear counterstain (blue).
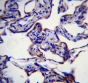
FASN antibody immunohistochemistry analysis in formalin fixed and paraffin embedded human placenta tissue.
FASN antibody flow cytometric analysis of HeLa cells (green) compared to a negative control (blue). FITC-conjugated goat-anti-rabbit secondary Ab was used for the analysis.
Confocal immunofluorescent analysis of FASN antibody with HepG2 cells followed by Alexa Fluor 488-conjugated goat anti-rabbit lgG (green). DAPI was used as a nuclear counterstain (blue).
Western blot analysis of human 1) A549, 2) HeLa, 3) HepG2 and 4) SH-SY5Y cell lysate with FASN antibody. Predicted molecular weight ~ 270 kDa.
Availability 1-3 business days
Species Reactivity Human
Format Purified
Host Rabbit
Clonality Polyclonal (rabbit origin)
Isotype Rabbit Ig
Purity Purified
UniProt P49327
Localization Cytoplasmic
Applications Western Blot : 1:1000
Immunofluorescence : 1:10-1:200
IHC (Paraffin) : 1:10-1:50
Flow Cytometry : 1:10-1:50
Limitations This FASN antibody is available for research use only.
Review this product on BioCompare and get a $20 Amazon gift card

Related Products

Description

FASN (Fatty acid synthase) is a multifunctional protein. Its main function is to catalyze the synthesis of palmitate from acetyl-CoA and malonyl-CoA, in the presence of NADPH, into long-chain saturated fatty acids. In some cancer cell lines, this protein has been found to be fused with estrogen receptor-alpha (ER-alpha), in which the N-terminus of FAS is fused in-frame with the C-terminus of ER-alpha.

Application Notes

Titration of the FASN antibody may be required due to differences in protocols and secondary/substrate sensitivity.

Immunogen

A portion of amino acids 942-973 from human Fatty acid synthase was used as the immunogen for this FASN antibody.

Storage

Aliquot the FASN antibody and store frozen at -20oC or colder. Avoid repeated freeze-thaw cycles.

Cross
Bulk Quote Request Form
Name*:
Organization*:
Email*:
Phone Number*:
Catalog No.*:
Comments and Specifics(amount, formulation, etc.)*:
Validation code: Captchapackage Image


Can't read the image? click here to refresh.
    *required field

Your bulk quote request has been submitted successfully!

Please contact us if you have any questions.