• Tel: 858.663.9055
  • SeparatorEmail: info@nsjbio.com
  • Tel: 858.663.9055
  • Email: info@nsjbio.com
Home >> Antibodies >> Fas Ligand Antibody / Microarray Specificity Validated Antibody

Fas Ligand Antibody / Microarray Specificity Validated Antibody [clone FASLG/4455] (V8610)

  Catalog No Formulation Size Price (USD)  
Image V8610-100UG 0.2 mg/ml in 1X PBS with 0.1 mg/ml BSA (US sourced) and 0.05% sodium azide 100 ug 559
Image
V8610-20UG 0.2 mg/ml in 1X PBS with 0.1 mg/ml BSA (US sourced) and 0.05% sodium azide 20 ug 259
Image
V8610SAF-100UG 1 mg/ml in 1X PBS; BSA free, sodium azide free 100 ug 559
Microvalidated
Bulk quote request
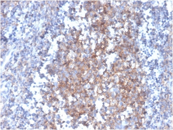
Fas Ligand Antibody Tonsil IHC. Immunohistochemistry analysis of Fas ligand / FASLG expression in FFPE human tonsil tissue using mouse monoclonal antibody clone FASLG/4455. HRP-DAB brown staining is observed in scattered lymphocytes within interfollicular regions and germinal center-associated areas, showing predominantly cytoplasmic and membranous localization, while surrounding stromal elements remain largely negative; nuclei are counterstained blue. Antigen retrieval was performed by boiling sections in 10 mM Tris buffer with 1 mM EDTA, pH 9, for 20 min followed by cooling at room temperature.
Fas Ligand Antibody Human Tonsil Tissue IHC. Immunohistochemical detection of Fas ligand / CD95L expression in formalin-fixed, paraffin-embedded human tonsil using FASLG antibody, clone FASLG/4455. Distinct HRP-DAB brown signal highlights subsets of activated lymphocytes with cytoplasmic and membranous staining patterns, particularly within lymphoid compartments, while background staining remains minimal; nuclei are counterstained blue. Heat-induced epitope retrieval was carried out in pH 9 Tris-EDTA buffer for 20 min with subsequent cooling prior to staining.
Fas Ligand Antibody Protein Microarray Validation. HuProt microarray analysis of Fas ligand / FASLG specificity using FASLG antibody, clone FASLG/4455, against more than 19,000 full-length human proteins. FASLG is identified as the top-ranked target by Z score with a strong signal intensity and clear separation from the next highest proteins, resulting in a high S score that supports selective target recognition. These results demonstrate preferential binding to Fas ligand with minimal off-target interaction under the tested conditions.
Availability 1-3 business days
Species Reactivity Human
Format Purified
Host Mouse
Clonality Monoclonal (mouse origin)
Isotype Mouse IgG1, kappa
Clone Name FASLG/4455
Purity Protein G affinity chromatography
UniProt P48023
Localization Cytoplasm, cell surface, secreted
Applications Immunohistochemistry (FFPE) : 1-2ug/ml for 30 minutes at RT
Limitations This Fas Ligand Antibody / Microarray Specificity Validated Antibody is available for research use only.
Review this product on BioCompare and get a $20 Amazon gift card

Related Products

Description

Fas ligand (FASLG) is a type II transmembrane protein belonging to the tumor necrosis factor ligand superfamily and is commonly referred to as CD95L or TNFSF6. Fas ligand (FASLG) functions as a key regulator of the extrinsic apoptotic pathway through binding to its receptor Fas (CD95), initiating caspase activation and programmed cell death in target cells. Fas Ligand Antibody / Microarray Specificity Validated Antibody enables detection of this critical immune effector molecule in lymphoid tissues and disease models where apoptosis signaling is active. FASLG is predominantly expressed by activated T lymphocytes and natural killer cells, with strong expression in lymphoid organs such as tonsil, lymph node, and spleen, where it contributes to immune surveillance and the maintenance of peripheral tolerance.

Fas ligand antibody, also known as FASLG antibody or CD95L antibody, recognizes a protein that exists in both membrane-bound and soluble forms, the latter generated through metalloprotease-mediated cleavage. The membrane-bound form is primarily responsible for inducing apoptosis through Fas receptor engagement, while the soluble form can modulate immune responses depending on cellular context. FASLG localizes to the plasma membrane and cytoplasmic vesicles of activated immune cells and is often detected in regions of active lymphocyte interaction. Its tightly regulated expression is essential for eliminating autoreactive lymphocytes and terminating immune responses, while dysregulation has been associated with autoimmune disease, chronic inflammation, and tumor immune escape mechanisms.

This Fas Ligand Antibody / Microarray Specificity Validated Antibody is supported by protein microarray analysis against more than 19,000 full-length human proteins, providing strong evidence of selective target recognition. In this assay, FASLG is identified as the top-ranked protein with a high Z score and a large separation from secondary signals, resulting in a robust S score that supports specificity. The Z score reflects the relative signal intensity compared to the array-wide mean, while the S score quantifies the separation between the intended target and the next highest binding proteins. This performance profile indicates preferential recognition of FASLG with minimal off-target interaction under the tested conditions, making this antibody well suited for applications where specificity is critical.

At the molecular level, FASLG belongs to the TNF ligand family and contains a conserved extracellular domain that mediates trimerization and receptor binding, which are required for efficient Fas activation. Upon engagement of Fas, the death-inducing signaling complex (DISC) is assembled, leading to activation of initiator caspases such as caspase-8 and downstream executioner caspases that drive apoptosis. This pathway is central to cytotoxic T cell and natural killer cell function, enabling the targeted elimination of infected or transformed cells. In addition, FASLG contributes to immune privilege in tissues such as the eye and testis, where its expression can limit inflammatory damage by inducing apoptosis in infiltrating immune cells.

FASLG expression is frequently observed in lymphoid tissue microenvironments characterized by active immune cell turnover, consistent with immunohistochemistry staining patterns showing cytoplasmic and membranous signal in lymphocytes within tonsillar tissue. In cancer, altered regulation of FASLG has been linked to immune evasion, where tumor cells may exploit Fas signaling to induce apoptosis in tumor-infiltrating lymphocytes. Conversely, reduced Fas pathway activity can contribute to resistance to apoptosis and tumor progression. Given its central role in apoptosis and immune regulation, combined with strong microarray-supported specificity, this antibody provides a valuable tool for investigating FASLG biology in immunology, oncology, and cell death research.

This antibody is part of a collection of Human Protein Microarray validated antibodies that have been screened for specificity across thousands of proteins.

Application Notes

Optimal dilution of the Fas Ligand Antibody / Microarray Specificity Validated Antibody should be determined by the researcher.

Immunogen

A portion of amino acids 107-222 from the human protein was used as the immunogen for the Fas Ligand antibody.

Storage

Store the Fas Ligand antibody at 2-8oC (with azide) or aliquot and store at -20oC or colder (without azide).

Alternate Names

Fas ligand antibody, FASLG antibody, CD95L antibody, TNFSF6 antibody, FasL antibody

Cross
Bulk Quote Request Form
Name*:
Organization*:
Email*:
Phone Number*:
Catalog No.*:
Comments and Specifics(amount, formulation, etc.)*:
Validation code: Captchapackage Image


Can't read the image? click here to refresh.
    *required field

Your bulk quote request has been submitted successfully!

Please contact us if you have any questions.