• Tel: 858.663.9055
  • SeparatorEmail: info@nsjbio.com
  • Tel: 858.663.9055
  • Email: info@nsjbio.com
Home >> Antibodies >> Fas Ligan Antibody / Fas L

Fas Ligan Antibody / Fas L [clone FASLG/4456] (V9542)

  Catalog No Formulation Size Price (USD)  
Image V9542-100UG 0.2 mg/ml in 1X PBS with 0.1 mg/ml BSA (US sourced), 0.05% sodium azide 100 ug 559
Image
V9542-20UG 0.2 mg/ml in 1X PBS with 0.1 mg/ml BSA (US sourced), 0.05% sodium azide 20 ug 259
Image
V9542SAF-100UG 1 mg/ml in 1X PBS; BSA free, sodium azide free 100 ug 559
Microvalidated
Bulk quote request
Analysis of HuProt(TM) microarray containing more than 19,000 full-length human proteins using Fas Ligand antibody (clone FASLG/4456). These results demonstrate the foremost specificity of the FASLG/4456 mAb. Z- and S- score: The Z-score represents the strength of a signal that an antibody (in combination with a fluorescently-tagged anti-IgG secondary Ab) produces when binding to a particular protein on the HuProt(TM) array. Z-scores are described in units of standard deviations (SD's) above the mean value of all signals generated on that array. If the targets on the HuProt(TM) are arranged in descending order of the Z-score, the S-score is the difference (also in units of SD's) between the Z-scores. The S-score therefore represents the relative target specificity of an Ab to its intended target.
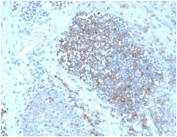
IHC staining of FFPE human lymph node with Fas Ligand (clone FASLG)antibody (clone FASLG/4456). HIER: boil tissue sections in pH 9 10mM Tris with 1mM EDTA for 20 min and allow to cool before testing.
SDS-PAGE analysis of purified, BSA-free Fas Ligand antibody (clone FASLG/4456) as confirmation of integrity and purity.
Availability 1-3 business days
Species Reactivity Human
Format Purified
Host Mouse
Clonality Monoclonal (mouse origin)
Isotype Mouse IgG1, kappa
Clone Name FASLG/4456
Purity Protein A/G affinity
UniProt P48023
Localization Cell membrane, Secreted
Applications Immunohistochemistry (FFPE) : 1-2ug/ml
Limitations This Fas Ligand antibody is available for research use only.
Review this product on BioCompare and get a $20 Amazon gift card

Related Products

Description

Cytotoxic T lymphocyte (CTL)-mediated cytotoxicity constitutes an importantcomponent of specific effector mechanisms in immuno-surveillance againstvirus-infected or transformed cells. Two mechanisms appear to account forthis activity, one of which is the perforin-based process. Independently, aFAS-based mechanism involves the transducing molecule FAS (also designated Apo-1) and its ligand (FAS-L). The human FAS protein is a cell surfaceglycoprotein that belongs to a family of receptors that includes CD40, nervegrowth factor receptors and tumor necrosis factor receptors. The FAS antigen is expressed on a broad range of lymphoid cell lines, certain of whichundergo apoptosis in response to treatment with antibody to FAS. Thesefindings strongly imply that targeted cell death is potentially mediated by the intercellular interactions of FAS with its ligand or effectors, and that FASmay be critically involved in CTL-mediated cytotoxicity.

Application Notes

Optimal dilution of the Fas Ligand antibody should be determined by the researcher.

Immunogen

A portin of amino acids 107-222 from the human protein was used as the immunogen for the Fas Ligand antibody.

Storage

Aliquot the Fas Ligand antibody and store frozen at -20oC or colder. Avoid repeated freeze-thaw cycles.

Cross
Bulk Quote Request Form
Name*:
Organization*:
Email*:
Phone Number*:
Catalog No.*:
Comments and Specifics(amount, formulation, etc.)*:
Validation code: Captchapackage Image


Can't read the image? click here to refresh.
    *required field

Your bulk quote request has been submitted successfully!

Please contact us if you have any questions.