• Tel: 858.663.9055
  • SeparatorEmail: info@nsjbio.com
  • Tel: 858.663.9055
  • Email: info@nsjbio.com
Home >> Antibodies >> FANCG Antibody

FANCG Antibody (R34714)

  Catalog No Formulation Size Price (USD)  
Image R34714-100UG 0.5 mg/ml in 1X TBS, pH7.3, with 0.5% BSA (US sourced) and 0.02% sodium azide 100 ug 475
Bulk quote request
Western blot testing of HeLa cell lysate with FANCG antibody at 0.5ug/ml. Predicted molecular weight: ~69 kDa.
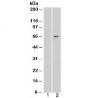
Western blot of HEK293 lysate overexpressing FANCG probed with FANCG antibody (mock transfection in lane 1). Predicted molecular weight: ~69 kDa.
Western blot testing of Jurkat cell lysate (nuclear fraction) with FANCG antibody at 1ug/ml. Predicted molecular weight: ~69 kDa.
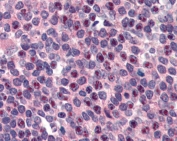
IHC testing of FFPE human spleen tissue with FANCG antibody at 3ug/ml. Required HIER: steamed antigen retrieval with pH6 citrate buffer; AP-staining.
IHC testing of FFPE human uterus tissue with FANCG antibody at 3ug/ml. Required HIER: steamed antigen retrieval with pH6 citrate buffer; AP-staining.
Availability 1-3 business days
Species Reactivity Human
Predicted Reactivity Dog, Pig
Format Antigen affinity purified
Host Goat
Clonality Polyclonal (goat origin)
Isotype Goat Ig
Purity Antigen affinity
Gene ID 2189
Localization Nuclear (major form), cytoplasmic (minor form)
Applications Western Blot : 0.5-1.5ug/ml
IHC (FFPE) : 3ug/ml
ELISA (peptide) LOD : 1:32000
Limitations This FANCG antibody is available for research use only.
Review this product on BioCompare and get a $20 Amazon gift card

Description

Additional name(s) for this target protein: Fanconi anemia, complementation group G, X-ray repair, complementing defective, in Chinese hamster, 9; XRCC9

Application Notes

Optimal dilution of the FANCG antibody should be determined by the researcher.

Immunogen

Amino acids LEEFRTSLPKSCDL were used as the immunogen for this FANCG antibody.

Storage

Aliquot and store the FANCG antibody at -20oC.

Cross
Bulk Quote Request Form
Name*:
Organization*:
Email*:
Phone Number*:
Catalog No.*:
Comments and Specifics(amount, formulation, etc.)*:
Validation code: Captchapackage Image


Can't read the image? click here to refresh.
    *required field

Your bulk quote request has been submitted successfully!

Please contact us if you have any questions.