• Tel: 858.663.9055
  • SeparatorEmail: info@nsjbio.com
  • Tel: 858.663.9055
  • Email: info@nsjbio.com
Home >> Antibodies >> FANCC Antibody / Fanconi anemia group C protein

FANCC Antibody / Fanconi anemia group C protein (F55035)

  Catalog No Formulation Size Price (USD)  
Image F55035-0.4ML In 1X PBS, pH 7.4, with 0.09% sodium azide 0.4 ml 439
Image
F55035-0.08ML In 1X PBS, pH 7.4, with 0.09% sodium azide 0.08 ml 205
Bulk quote request
Western blot testing of human 1) HepG2 and 2) HL60 cell lysate with FANCC antibody. Predicted molecular weight ~63 kDa.
Immunofluorescent staining of human U-251 cells with FANCC antibody (green), DAPI nuclear stain (blue) and anti-Actin (red).
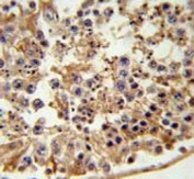
IHC testing of FFPE human testis tissue with FANCC antibody. HIER: steam section in pH6 citrate buffer for 20 min and allow to cool prior to staining.
Flow cytometry testing of human HL60 cells with FANCC antibody; Blue=isotype control, Green= FANCC antibody.
Availability 1-3 business days
Species Reactivity Human
Format Purified
Host Rabbit
Clonality Polyclonal (rabbit origin)
Isotype Rabbit Ig
Purity Antigen affinity purified
UniProt Q00597
Localization Cytoplasmic, nuclear
Applications Western Blot : 1:500-1:1000
Immunofluorescence : 1:25
Flow Cytometry : 1:10-1:50 (1x10e6 cells)
Immunohistochemistry (FFPE) : 1:50-1:100
Limitations This FANCC antibody is available for research use only.
Review this product on BioCompare and get a $20 Amazon gift card

Description

The Fanconi anemia complementation group (FANC) currently includes FANCA, FANCB, FANCC, FANCD1 (also called BRCA2), FANCD2, FANCE, FANCF, FANCG, FANCI, FANCJ (also called BRIP1), FANCL, FANCM and FANCN (also called PALB2). The previously defined group FANCH is the same as FANCA. Fanconi anemia is a genetically heterogeneous recessive disorder characterized by cytogenetic instability, hypersensitivity to DNA crosslinking agents, increased chromosomal breakage, and defective DNA repair. The members of the Fanconi anemia complementation group do not share sequence similarity; they are related by their assembly into a common nuclear protein complex. This protein is for complementation group C.

Application Notes

The stated application concentrations are suggested starting points. Titration of the FANCC antibody may be required due to differences in protocols and secondary/substrate sensitivity.

Immunogen

A portion of amino acids 527-555 from the human protein was used as the immunogen for the FANCC antibody.

Storage

Aliquot the FANCC antibody and store frozen at -20oC or colder. Avoid repeated freeze-thaw cycles.

Cross
Bulk Quote Request Form
Name*:
Organization*:
Email*:
Phone Number*:
Catalog No.*:
Comments and Specifics(amount, formulation, etc.)*:
Validation code: Captchapackage Image


Can't read the image? click here to refresh.
    *required field

Your bulk quote request has been submitted successfully!

Please contact us if you have any questions.