• Tel: 858.663.9055
  • SeparatorEmail: info@nsjbio.com
  • Tel: 858.663.9055
  • Email: info@nsjbio.com
Home >> Antibodies >> FAM55C Antibody / NXPE3

FAM55C Antibody / NXPE3 (RQ8458)

  Catalog No Formulation Size Price (USD)  
Image RQ8458 0.5mg/ml if reconstituted with 0.2ml sterile DI water 100 ug 449
Bulk quote request
Immunofluorescent staining of FFPE human U-2 OS cells with FAM55C antibody (green). HIER: steam section in pH6 citrate buffer for 20 min.
Western blot testing of human 1) A549, 2) U-251 and 3) ThP-1 cell lysate with FAM55C antibody. Predicted molecular weight ~64 kDa but may be observed at higher molecular weights due to glycosylation.
Flow cytometry testing of fixed and permeabilized human ThP-1 cells with FAM55C antibody at 1ug/million cells (blocked with goat sera); Red=cells alone, Green=isotype control, Blue= FAM55C antibody.
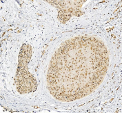
IHC staining of FFPE human skin cancer tissue with FAM55C antibody, HRP-secondary and DAB substrate. HIER: boil tissue sections in pH8 EDTA for 20 min and allow to cool before testing.
Availability 1-3 business days
Species Reactivity Human
Format Antigen affinity purified
Host Rabbit
Clonality Polyclonal (rabbit origin)
Isotype Rabbit IgG
Purity Antigen affinity purified
Buffer Lyophilized from 1X PBS with 2% Trehalose
UniProt Q969Y0
Applications Western Blot : 0.5-1ug/ml
Immunofluorescence : 5ug/ml
Flow Cytometry : 1-3ug/million cells
ELISA : 0.1-0.5ug/ml
Immunohistochemistry (FFPE) : 2-5ug/ml
Limitations This FAM55C antibody is available for research use only.
Review this product on BioCompare and get a $20 Amazon gift card

Description

FAM55C antibody is a research reagent designed to detect NXPE3, also known as NXPE family member 3. The encoded protein belongs to the neurexophilin and PC-esterase (NXPE) family, a group of poorly characterized proteins believed to play roles in cell adhesion and intercellular communication. While the precise biological functions of NXPE3 remain under active investigation, family members are thought to participate in protein-protein interactions at the cell surface, influencing developmental and signaling pathways.

NXPE3 has been identified through genomic and transcriptomic studies as a protein expressed in multiple tissues, with enriched levels reported in neural and reproductive systems. Its structural features suggest that it may interact with adhesion molecules or signaling receptors, supporting functions in cellular organization. Although detailed mechanistic insights are still limited, bioinformatic analysis and domain predictions point to potential roles in synaptic function, neuronal connectivity, and developmental biology.

Interest in NXPE family proteins has increased due to associations with human disease. Variations in the NXPE3 gene have been implicated in neurodevelopmental conditions and may influence susceptibility to neuropsychiatric disorders. Early studies have also explored possible links between NXPE3 expression and tumor biology, though further work is required to clarify these associations. Such findings underscore the importance of NXPE3 as an emerging target for biomedical research.

On the molecular level, NXPE3 is predicted to be a secreted or membrane-associated protein, consistent with potential roles in intercellular signaling. Like other NXPE proteins, it contains conserved motifs that may mediate protein binding, though experimental confirmation is ongoing. Antibody-based detection of NXPE3 has become a valuable strategy for characterizing its tissue distribution, validating predicted functions, and exploring disease connections.

The FAM55C antibody is applied in techniques such as western blotting, immunohistochemistry, immunofluorescence, and flow cytometry to examine protein expression and localization. These methods are particularly useful for mapping NXPE3 across tissues and investigating its regulation in development or disease. For researchers studying cell adhesion, signaling, or the biology of novel protein families, the FAM55C antibody provides a reliable detection tool. NSJ Bioreagents supplies validated antibodies that deliver consistent and reproducible results for advanced molecular studies.

Application Notes

Optimal dilution of the FAM55C antibody should be determined by the researcher.

Immunogen

An E.coli-derived human recombinant protein (Q29-D499) was used as the immunogen for the FAM55C antibody.

Storage

After reconstitution, the FAM55C antibody can be stored for up to one month at 4oC. For long-term, aliquot and store at -20oC. Avoid repeated freezing and thawing.

Cross
Bulk Quote Request Form
Name*:
Organization*:
Email*:
Phone Number*:
Catalog No.*:
Comments and Specifics(amount, formulation, etc.)*:
Validation code: Captchapackage Image


Can't read the image? click here to refresh.
    *required field

Your bulk quote request has been submitted successfully!

Please contact us if you have any questions.