• Tel: 858.663.9055
  • SeparatorEmail: info@nsjbio.com
  • Tel: 858.663.9055
  • Email: info@nsjbio.com
Home >> Antibodies >> Fadd Antibody

Fadd Antibody (RQ6174)

  Catalog No Formulation Size Price (USD)  
Image RQ6174 0.5mg/ml if reconstituted with 0.2ml sterile DI water 100 ug 449
Bulk quote request
Western blot testing of rat 1) brain, 2) stomach, 3) lung, 4) liver, 5) kidney, 6) spleen, 7) thymus and 8) PC-12 lysate with Fadd antibody. Predicted molecular weight ~23 kDa, commonly observed at 23-28 kDa.
Western blot testing of mouse 1) brain, 2) stomach, 3) lung, 4) liver, 5) kidney, 6) spleen, 7) thymus and 8) NIH 3T3 lysate with Fadd antibody. Predicted molecular weight ~23 kDa, commonly observed at 23-28 kDa.
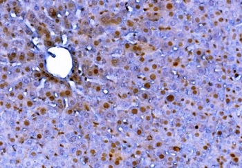
IHC staining of FFPE mouse liver with Fadd antibody. HIER: boil tissue sections in pH8 EDTA for 20 min and allow to cool before testing.
Flow cytometry testing of mouse HEPA1-6 cells with Fadd antibody at 1ug/million cells (blocked with goat sera); Red=cells alone, Green=isotype control, Blue= Fadd antibody.
Availability 1-3 business days
Species Reactivity Mouse, Rat
Format Antigen affinity purified
Host Rabbit
Clonality Polyclonal (rabbit origin)
Isotype Rabbit IgG
Purity Affinity purified
Buffer Lyophilized from 1X PBS with 2% Trehalose and 0.0125% sodium azide
UniProt Q61160
Localization Cytoplasmic, nuclear
Applications Western Blot : 1-2ug/ml
Immunohistochemistry (FFPE) : 2-5ug/ml
Flow Cytometry : 1-3ug/million cells
Limitations This Fadd antibody is available for research use only.
Review this product on BioCompare and get a $20 Amazon gift card

Related Products

  • Applications : WB, IP
    Reactivity : Human
  • Applications : WB, IP
    Reactivity : Human
  • Applications : WB
    Reactivity : Human, Mouse, Rat
  • Applications : WB, ELISA
    Reactivity : Human
  • Applications : WB, IHC-P
    Reactivity : Rat, Mouse

Description

FADD, Fas-Associated protein with Death Domain, is a universal adaptor protein in apoptosis that mediates signaling of all known death domain-containing members of the TNF receptor superfamily. The FADD gene contains 2 exons and spans approximately 3.6 kb. By analysis of somatic cell hybrid panels and by fluorescence in situ hybridization, the FADD gene is mapped to 11q13.3. The protein encoded by this gene is an adaptor molecule that interacts with various cell surface receptors and mediates cell apoptotic signals. Through its C-terminal death domain, this protein can be recruited by TNFRSF6/Fas-receptor, tumor necrosis factor receptor, TNFRSF25, and TNFSF10/TRAIL-receptor, thus, it participates in the death signaling initiated by these receptors.

Application Notes

Optimal dilution of the Fadd antibody should be determined by the researcher.

Immunogen

Amino acids AEKKNASVAGLVKALRTCRLNLVADLVEEAQES from the mouse protein were used as the immunogen for the Fadd antibody.

Storage

After reconstitution, the Fadd antibody can be stored for up to one month at 4oC. For long-term, aliquot and store at -20oC. Avoid repeated freezing and thawing.

Cross
Bulk Quote Request Form
Name*:
Organization*:
Email*:
Phone Number*:
Catalog No.*:
Comments and Specifics(amount, formulation, etc.)*:
Validation code: Captchapackage Image


Can't read the image? click here to refresh.
    *required field

Your bulk quote request has been submitted successfully!

Please contact us if you have any questions.