• Tel: 858.663.9055
  • SeparatorEmail: info@nsjbio.com
  • Tel: 858.663.9055
  • Email: info@nsjbio.com
Home >> Antibodies >> Factor XIIIa Antibody Rabbit Monoclonal

Factor XIIIa Antibody Rabbit Monoclonal [clone ACGC-6] (RQ4836)

  Catalog No Formulation Size Price (USD)  
Image RQ4836 Antibody in PBS with 0.02% sodium azide, 50% glycerol and 0.4-0.5mg/ml BSA 100 ul 449
Microvalidated Recrabbitmono
Bulk quote request
Immunohistochemistry of Factor XIIIa antibody in human appendix. FFPE human appendix tissue was stained with Factor XIIIa antibody rabbit monoclonal clone ACGC-6. Cytoplasmic HRP-DAB brown staining is observed in scattered stromal and lamina propria histiocytic cells within the appendiceal mucosa, consistent with known Factor XIII A chain expression in tissue macrophages and dendritic cells. Glandular epithelial cells show minimal to absent staining. Heat induced epitope retrieval was performed by boiling tissue sections in pH 8 EDTA buffer for 20 minutes followed by cooling prior to antibody incubation.
IHC staining of FFPE human appendix tissue with Factor XIIIa antibody, HRP-secondary and DAB substrate. HIER: boil tissue sections in pH8 EDTA for 20 min and allow to cool before testing.
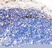
IHC staining of FFPE human placental tissue with Factor XIIIa antibody, HRP-secondary and DAB substrate. HIER: boil tissue sections in pH8 EDTA for 20 min and allow to cool before testing.
IHC staining of FFPE rat thymus tissue with Factor XIIIa antibody, HRP-secondary and DAB substrate. HIER: boil tissue sections in pH8 EDTA for 20 min and allow to cool before testing.
Western blot analysis of Factor XIIIa antibody in human lysates. Human placenta (lane 1) and ThP-1 cell lysate (lane 2) were analyzed using Factor XIIIa antibody rabbit monoclonal clone ACGC-6. The predicted molecular weight of Factor XIII A chain is approximately 83 kDa. A distinct band is observed near the predicted molecular weight in both placenta and ThP-1 lysates, consistent with Factor XIII A chain expression. Placenta shows stronger signal intensity, consistent with known expression in placental macrophage-lineage cells, while ThP-1 cells demonstrate a clear band corresponding to macrophage-associated expression.
Availability 1-2 weeks
Species Reactivity Human, Rat
Format Purified
Host Rabbit
Clonality Recombinant Rabbit Monoclonal
Isotype Rabbit IgG
Clone Name ACGC-6
Purity Affinity purified
UniProt P00488
Localization Cytoplasmic, secreted
Applications Western Blot : 1:500
Immunohistochemistry (FFPE) : 1:50
Limitations This Factor XIIIa antibody is available for research use only.
Review this product on BioCompare and get a $20 Amazon gift card

Related Products

Description

Factor XIIIa Antibody Rabbit Monoclonal clone ACGC-6 recognizes Factor XIII A chain, a cytoplasmic transglutaminase encoded by the F13A1 gene on chromosome 6p25.1. Factor XIII A chain is primarily expressed in platelets, macrophages, dermal dendritic cells, and subsets of stromal cells. Upon activation by thrombin and calcium, the inactive coagulation factor XIII zymogen is cleaved to generate active Factor XIIIa, which catalyzes covalent cross-linking of fibrin monomers. This enzymatic cross-linking stabilizes fibrin clots and increases resistance to fibrinolysis, representing the final step of the coagulation cascade.

Factor XIII A chain belongs to the transglutaminase enzyme family and contains a catalytic core domain responsible for forming epsilon-gamma glutamyl-lysine isopeptide bonds between substrate proteins. In circulation, coagulation factor XIII exists as a heterotetramer composed of two catalytic A subunits and two non-catalytic B subunits. After proteolytic activation, the B subunits dissociate and the A subunits become enzymatically active. Beyond clot stabilization, Factor XIIIa plays a role in extracellular matrix remodeling through cross-linking of fibronectin, collagen, and other structural proteins, thereby supporting tissue repair and wound healing processes.

In normal tissues, Factor XIII A chain is highly expressed in dermal dendrocytes of the skin and in tissue macrophages. It is also detectable in placenta and bone marrow-derived cells. In fibrohistiocytic lesions, Factor XIIIa antibody staining is widely used to characterize dermatofibroma, which typically demonstrates strong cytoplasmic positivity in spindle-shaped dermal cells. In contrast, dermatofibrosarcoma protuberans generally lacks staining, making this marker useful in differential assessment. Expression has also been observed in inflammatory and reparative conditions where macrophage activation and stromal remodeling are present.

Inherited deficiency of Factor XIII is associated with impaired clot stability, delayed wound healing, and bleeding diathesis, underscoring the biologic importance of F13A1 function. Altered expression patterns have been described in inflammatory and fibrotic conditions, reflecting its involvement in immune cell biology and extracellular matrix stabilization. Factor XIIIa Antibody Rabbit Monoclonal is suitable for detecting Factor XIII A chain expression in relevant research applications, where staining is typically cytoplasmic in positive dendritic or macrophage-lineage cells.

Application Notes

Optimal dilution of the Factor XIIIa antibody should be determined by the researcher.

Immunogen

A synthetic peptide specific to human Factor XIIIa / F13A1 was used as the immunogen for the Factor XIIIa antibody rabbit monoclonal clone ACGC-6.

Storage

Store the Factor XIIIa antibody at -20oC.

Cross
Bulk Quote Request Form
Name*:
Organization*:
Email*:
Phone Number*:
Catalog No.*:
Comments and Specifics(amount, formulation, etc.)*:
Validation code: Captchapackage Image


Can't read the image? click here to refresh.
    *required field

Your bulk quote request has been submitted successfully!

Please contact us if you have any questions.