• Tel: 858.663.9055
  • SeparatorEmail: info@nsjbio.com
  • Tel: 858.663.9055
  • Email: info@nsjbio.com
Home >> Antibodies >> FACL4 Antibody / ACSL4

FACL4 Antibody / ACSL4 (RQ6920)

  Catalog No Formulation Size Price (USD)  
Image RQ6920 0.5mg/ml if reconstituted with 0.2ml sterile DI water 100 ug 449
Bulk quote request
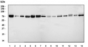
Western blot testing of 1) human U-2 OS, 2) human PC-3, 3) human HeLa, 4) human Caco-2, 5) human HEL, 6) human U-87 MG, 7) rat brain, 8) rat lung, 9) rat stomach, 10) rat PC-12, 11) mouse brain, 12) mouse lung, 13) mouse stomach and 14) mouse NIH 3T3 cell lysate with FACL4 antibody. Predicted molecular weight: ~80 kDa (long form), ~74 kDa (short form).
Availability 1-3 business days
Species Reactivity Human, Mouse, Rat
Format Antigen affinity purified
Host Rabbit
Clonality Polyclonal (rabbit origin)
Isotype Rabbit IgG
Purity Antigen affinity purified
Buffer Lyophilized from 1X PBS with 2% Trehalose
UniProt O60488
Applications Western Blot : 0.5-1 ug/ml
Direct ELISA : 0.1-0.5ug/ml
Limitations This FACL4 antibody is available for research use only.
Review this product on BioCompare and get a $20 Amazon gift card

Related Products

  • Applications : WB, IHC-P, IF, FACS
    Reactivity : Human
  • Applications : WB, IHC-P, IF, ELISA (peptide)
    Reactivity : Human
    Pred. Reactivity : Mouse, Rat, Dog, Pig, Cow
  • Applications : WB, ELISA
    Reactivity : Human
    Pred. Reactivity : Mouse, Rat

Description

Long-chain-fatty-acid--CoA ligase 4 is an enzyme that in humans is encoded by the ACSL4 gene. It is mapped to Xq23. The protein encoded by this gene is an isozyme of the long-chain fatty-acid-coenzyme A ligase family. Although differing in substrate specificity, subcellular localization, and tissue distribution, all isozymes of this family convert free long-chain fatty acids into fatty acyl-CoA esters, and thereby play a key role in lipid biosynthesis and fatty acid degradation. This isozyme preferentially utilizes arachidonate as substrate. The absence of this enzyme may contribute to the cognitive disability or Alport syndrome. Alternative splicing of this gene generates multiple transcript variants.

Application Notes

Optimal dilution of the FACL4 antibody should be determined by the researcher.

Immunogen

Recombinant human FACL4/ACSL4 protein (amino acids A36-E237) was used as the immunogen for the FACL4 antibody.

Storage

After reconstitution, the FACL4 antibody can be stored for up to one month at 4oC. For long-term, aliquot and store at -20oC. Avoid repeated freezing and thawing.

Cross
Bulk Quote Request Form
Name*:
Organization*:
Email*:
Phone Number*:
Catalog No.*:
Comments and Specifics(amount, formulation, etc.)*:
Validation code: Captchapackage Image


Can't read the image? click here to refresh.
    *required field

Your bulk quote request has been submitted successfully!

Please contact us if you have any questions.