• Tel: 858.663.9055
  • SeparatorEmail: info@nsjbio.com
  • Tel: 858.663.9055
  • Email: info@nsjbio.com
Home >> Antibodies >> FABP5 Antibody

FABP5 Antibody (R30951)

  Catalog No Formulation Size Price (USD)  
Image R30951 0.5mg/ml if reconstituted with 0.2ml sterile DI water 100 ug 449
Bulk quote request
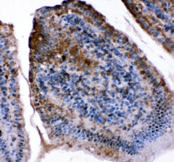
FABP5 Antibody Mouse Intestine IHC. Immunohistochemistry staining of FFPE mouse intestine tissue with FABP5 antibody. HIER: boil tissue sections in pH8 EDTA for 20 min and allow to cool before testing.
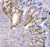
FABP5 Antibody Rat Intestine IHC. Immunohistochemistry staining of FFPE rat intestine tissue with FABP5 antibody. HIER: boil tissue sections in pH8 EDTA for 20 min and allow to cool before testing.
FABP5 Antibody Intestine and Lung WB. Western blot testing of 1) rat lung, 2) rat intestine and 3) mouse lung tissue lysate with FABP5 antibody. Predicted molecular weight ~15 kDa.
Availability 1-3 business days
Species Reactivity Mouse, Rat
Format Antigen affinity purified
Host Rabbit
Clonality Polyclonal (rabbit origin)
Isotype Rabbit IgG
Purity Antigen affinity
Buffer Lyophilized from 1X PBS with 2.5% BSA and 0.025% sodium azide/thimerosal
UniProt Q05816
Localization Cytoplasmic, nuclear
Applications Western Blot : 0.5-1ug/ml
Immunohistochemistry (FFPE) : 2-5ug/ml
Limitations This FABP5 antibody is available for research use only.
Review this product on BioCompare and get a $20 Amazon gift card

Related Products

Description

FABP5 Antibody specifically detects Fatty acid binding protein 5, a protein that in humans is encoded by the FABP5 gene, also known as PAFABP, EFABP, E-FABP, KFABP, PA-FABP, and Epidermal-type fatty acid-binding protein. It is a family of small, highly conserved, cytoplasmic proteins that bind long-chain fatty acids and other hydrophobic ligands. The cDNA encodes a 135-amino acid protein with molecular weight 15,164. This gene encodes the fatty acid binding protein found in epidermal cells, and was first identified as being upregulated in psoriasis tissue. It is though that FABPs roles include fatty acid uptake, transport, and metabolism. Kaczocha et al.(2009) identified FABP5 and FABP7 as cytosolic proteins that transport AEA from the plasma membrane to subcellular fatty acid amide hydrolase, where it is hydrolyzed and inactivated. FABP3 did not show this specific transport function.

Explore our central FABP5 antibody page for additional western blot, immunohistochemistry, and microarray specificity validation data supporting studies of lipid transport, epidermal biology, and metabolic signaling pathways.

Application Notes

Titration of the FABP5 antibody may be required due to differences in protocols and secondary/substrate sensitivity.

Immunogen

Amino acids 10-23 (KWRLMESHGFEEYM-mouse) were used as the immunogen for this FABP5 antibody.

Storage

The lyophilized FABP5 antibody can be stored at 4oC to -20oC. After reconstitution, aliquot and store at -20oC. Avoid repeated freeze/thaws.

Cross
Bulk Quote Request Form
Name*:
Organization*:
Email*:
Phone Number*:
Catalog No.*:
Comments and Specifics(amount, formulation, etc.)*:
Validation code: Captchapackage Image


Can't read the image? click here to refresh.
    *required field

Your bulk quote request has been submitted successfully!

Please contact us if you have any questions.