• Tel: 858.663.9055
  • SeparatorEmail: info@nsjbio.com
  • Tel: 858.663.9055
  • Email: info@nsjbio.com
Home >> Antibodies >> FABP3 Antibody / H-FABP

FABP3 Antibody / H-FABP [clone FABP3/8442] (V4866)

  Catalog No Formulation Size Price (USD)  
Image V4866-100UG 0.2 mg/ml in 1X PBS with 0.1 mg/ml BSA (US sourced), 0.05% sodium azide 100 ug 559
Image
V4866-20UG 0.2 mg/ml in 1X PBS with 0.1 mg/ml BSA (US sourced), 0.05% sodium azide 20 ug 259
Image
V4866SAF-100UG 1 mg/ml in 1X PBS; BSA free, sodium azide free 100 ug 559
Bulk quote request
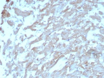
IHC staining of FFPE human heart tissue with FABP3 antibody (clone FABP3/8442). HIER: boil tissue sections in pH 9 10mM Tris with 1mM EDTA for 20 min and allow to cool before testing.
SDS-PAGE analysis of purified, BSA-free FABP3 antibody (clone FABP3/8442) as confirmation of integrity and purity.
Availability 1-3 business days
Species Reactivity Human
Format Purified
Host Mouse
Clonality Monoclonal (mouse origin)
Isotype Mouse IgG1, kappa
Clone Name FABP3/8442
Purity Protein A/G affinity
UniProt P05413
Localization Cytoplasm
Applications Immunohistochemistry (FFPE) : 1-2ug/ml for 30 min at RT
Limitations This FABP3 antibody is available for research use only.
Review this product on BioCompare and get a $20 Amazon gift card

Related Products

  • Applications : IHC-P, WB
    Reactivity : Human
    Recmousemono
  • Applications : IHC-P, WB
    Reactivity : Human
    Recrabbitmono
  • Applications : IHC-P
    Reactivity : Human
    Recrabbitmono
  • Applications : IHC-P, WB
    Reactivity : Human, Mouse, Rat, Rabbit, Guinea pig
    Microvalidated
  • Applications : WB, IHC-P, ELISA
    Reactivity : Mouse, Rat
  • Applications : IHC-P, WB
    Reactivity : Human
  • Applications : IHC-P, WB
    Reactivity : Human
  • Applications : IHC-P, WB
    Reactivity : Human
  • Applications : WB, IHC-P
    Reactivity : Human, Mouse, Rat
  • Applications : WB, ELISA (peptide)
    Reactivity : Human, Mouse, Rat
    Pred. Reactivity : Cow
  • Applications : WB, ELISA (capture)
    Reactivity : Mouse, Rat
  • Applications : WB, IHC-P, ELISA
    Reactivity : Human, Mouse, Rat
  • Applications : IHC-P, FACS, WB
    Reactivity : Human

Description

The intracellular fatty acid-binding proteins (FABPs) belongs to a multigene family. FABPs are divided into at least three distinct types, namely the hepatic-, intestinal- and cardiac-type. They form 14-15 kDa proteins and are thought to participate in the uptake, intracellular metabolism and/or transport of long-chain fatty acids. They may also be responsible in the modulation of cell growth and proliferation. Fatty acid-binding protein 3 gene contains four exons and its function is to arrest growth of mammary epithelial cells. This gene is a candidate tumor suppressor gene for human breast cancer. Alternative splicing results in multiple transcript variants.

Explore our FABP3 Antibody page for additional western blot, immunohistochemistry, and microarray specificity validation data supporting studies of myocardial lipid transport and oxidative metabolism.

Application Notes

Optimal dilution of the FABP3 antibody should be determined by the researcher.

Immunogen

A recombinant partial protein sequence (within amino acids 1-127) from the human protein was used as the immunogen for the FABP3 antibody.

Storage

Aliquot the FABP3 antibody and store frozen at -20oC or colder. Avoid repeated freeze-thaw cycles.

Cross
Bulk Quote Request Form
Name*:
Organization*:
Email*:
Phone Number*:
Catalog No.*:
Comments and Specifics(amount, formulation, etc.)*:
Validation code: Captchapackage Image


Can't read the image? click here to refresh.
    *required field

Your bulk quote request has been submitted successfully!

Please contact us if you have any questions.