• Tel: 858.663.9055
  • SeparatorEmail: info@nsjbio.com
  • Tel: 858.663.9055
  • Email: info@nsjbio.com
Home >> Antibodies >> FABP3 Antibody / Cardiac Energy Metabolism Marker

FABP3 Antibody / Cardiac Energy Metabolism Marker [clone FABP3/3430] (V9473)

  Catalog No Formulation Size Price (USD)  
Image V9473-100UG 0.2 mg/ml in 1X PBS with 0.1 mg/ml BSA (US sourced), 0.05% sodium azide 100 ug 559
Image
V9473-20UG 0.2 mg/ml in 1X PBS with 0.1 mg/ml BSA (US sourced), 0.05% sodium azide 20 ug 259
Image
V9473SAF-100UG 1 mg/ml in 1X PBS; BSA free, sodium azide free 100 ug 559
Microvalidated
Bulk quote request
FABP3 Antibody Multi-Species Heart Tissue WB. Western blot analysis of human heart, mouse heart, rat heart, hamster heart, guinea pig heart, and rabbit heart tissue lysates using FABP3 Antibody clone FABP3/3430. A prominent band is detected at approximately 15 kDa in all tested cardiac tissue samples, consistent with the predicted molecular weight of Fatty acid-binding protein 3 / FABP3. The highly conserved cross-species cardiac expression pattern is consistent with the established role of FABP3 in intracellular fatty acid transport, myocardial lipid utilization, and oxidative energy metabolism within cardiomyocytes.
FABP3 Antibody FFEP Human Heart Tissue IHC. Immunohistochemistry analysis of FFPE human heart tissue stained with clone FABP3/3430. Cardiomyocytes exhibit diffuse cytoplasmic HRP-DAB brown staining for Fatty acid-binding protein 3 / FABP3, consistent with the known enrichment of this intracellular lipid transport protein in metabolically active cardiac muscle. The staining pattern supports the established role of FABP3 in myocardial fatty acid utilization and oxidative bioenergetics within cardiomyocytes. Hematoxylin counterstain highlights nuclei in blue. HIER: boil tissue sections in pH9 10 mM Tris with 1 mM EDTA for 20 min followed by cooling before testing.
FABP3 Antibody Multi-Tissue WB. Western blot analysis of human intestine, mouse intestine, rat intestine, human heart, mouse heart, rat heart, human skeletal muscle, mouse skeletal muscle, and rat skeletal muscle tissue lysates using FABP3 antibody clone FABP3/3430. A band is detected at approximately 15 kDa across all tested samples, consistent with the predicted molecular weight of Fatty acid-binding protein 3 / FABP3. Stronger signal intensity is observed in cardiac and skeletal muscle lysates, aligning with the known enrichment of FABP3 in highly oxidative tissues that rely on fatty acid transport and aerobic energy metabolism.
Analysis of HuProt(TM) microarray containing more than 19,000 full-length human proteins using FABP3 antibody (clone FABP3/3430). These results demonstrate the foremost specificity of the FABP3/3430 mAb. Z- and S- score: The Z-score represents the strength of a signal that an antibody (in combination with a fluorescently-tagged anti-IgG secondary Ab) produces when binding to a particular protein on the HuProt(TM) array. Z-scores are described in units of standard deviations (SD's) above the mean value of all signals generated on that array. If the targets on the HuProt(TM) are arranged in descending order of the Z-score, the S-score is the difference (also in units of SD's) between the Z-scores. The S-score therefore represents the relative target specificity of an Ab to its intended target.
FABP3 Antibody Heart WB. Western blot analysis of human heart lysate using FABP3 Antibody. A dominant band is detected at approximately 14-15 kDa, consistent with the predicted molecular weight of Fatty acid-binding protein 3 / FABP3. A faint lower migrating band is also observed and may represent minor proteolytic processing or a faster-migrating low molecular weight species. The prominent cardiac signal aligns with the established enrichment of FABP3 in cardiomyocytes and its role in intracellular fatty acid transport and oxidative energy metabolism.
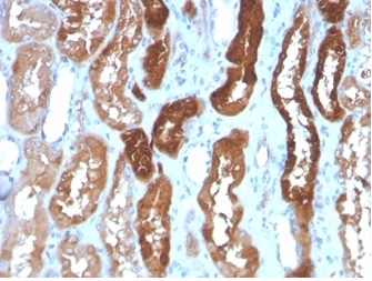
IHC staining of FFPE human kidney tissue with FABP3 antibody (clone FABP3/3430) HIER: boil tissue sections in pH 9 10mM Tris with 1mM EDTA for 20 min and allow to cool before testing.
Availability 1-3 business days
Species Reactivity Human, Mouse, Rat, Rabbit, Guinea pig
Format Purified
Host Mouse
Clonality Monoclonal (mouse origin)
Isotype Mouse IgG2b, kappa
Clone Name FABP3/3430
Purity Protein A/G affinity
UniProt P05413
Localization Cytoplasm
Applications Immunohistochemistry (FFPE) : 1-2ug/ml
Western Blot : 2-4ug/ml
Limitations This FABP3 Antibody / Cardiac Energy Metabolism Marker is available for research use only.
Review this product on BioCompare and get a $20 Amazon gift card

Related Products

Description

Fatty acid-binding protein 3 (FABP3) is a small cytoplasmic lipid-binding protein involved in intracellular fatty acid trafficking, oxidative metabolism, and energy homeostasis in highly aerobic tissues. FABP3 Antibody / Cardiac Energy Metabolism Marker is useful for studying myocardial metabolism, skeletal muscle bioenergetics, and lipid utilization pathways in normal and diseased tissues. FABP3 is highly enriched in cardiomyocytes and oxidative skeletal muscle fibers where it facilitates transport of long-chain fatty acids between cellular membranes and mitochondrial metabolic compartments.

FABP3 antibody, also known as Cardiac fatty acid binding protein antibody or Heart-type fatty acid-binding protein antibody in the literature, recognizes a member of the fatty acid-binding protein family localized predominantly within the cytoplasm. FABP3 functions as an intracellular lipid chaperone that binds hydrophobic fatty acids and delivers them to metabolic and signaling pathways involved in beta-oxidation and cellular energy production. The protein is strongly associated with tissues that depend heavily on fatty acid oxidation including heart, skeletal muscle, and select metabolically active epithelial tissues.

FABP3 participates in regulation of lipid homeostasis, mitochondrial energetics, and cellular adaptation to metabolic stress. In cardiac tissue, FABP3 supports the continuous energetic demands of contractile activity by facilitating rapid fatty acid utilization within cardiomyocytes. Altered FABP3 expression has been associated with ischemic injury, myocardial infarction, cardiomyopathy, metabolic syndrome, and heart failure. Because of its rapid release into circulation following myocardial damage, FABP3 has also been investigated as a biomarker of acute cardiac injury and skeletal muscle damage.

Beyond the cardiovascular system, FABP3 expression is observed in skeletal muscle and selected epithelial tissues including intestine. The protein contributes to lipid absorption and intracellular fatty acid transport in metabolically active cell populations. Studies have additionally implicated FABP3 in tumor metabolism, oxidative stress adaptation, and mitochondrial regulation in several cancer types. Due to these diverse biological roles, FABP3 remains an important target in cardiovascular research, muscle biology, metabolism studies, and cancer metabolism investigations.

FABP3 Antibody / Cardiac Energy Metabolism Marker clone FABP3/3430 is supported by western blot, immunohistochemistry, and HuProt microarray specificity validation data. Western blot analysis demonstrates strong expression in cardiac and skeletal muscle tissues across multiple mammalian species, consistent with the established biology of FABP3 in oxidative muscle metabolism. The included HuProt microarray specificity validation data further supports selective target recognition suitable for research applications involving cardiac energetics, lipid metabolism, and fatty acid transport pathways.

Explore additional metabolism and lipid transport targets in our Metabolism Antibodies page featuring markers involved in mitochondrial energetics, fatty acid utilization, and oxidative stress regulation.

Application Notes

Optimal dilution of the FABP3 Antibody / Cardiac Energy Metabolism Marker should be determined by the researcher.

Immunogen

A portin of amino acids 1-127 from the human protein was used as the immunogen for the FABP3 antibody.

Storage

Aliquot the FABP3 antibody and store frozen at -20oC or colder. Avoid repeated freeze-thaw cycles.

Alternate Names

Cardiac fatty acid binding protein antibody, H-FABP antibody, Heart-type fatty acid-binding protein antibody, FABP3 cardiac marker antibody, Muscle fatty acid transport antibody

Cross
Bulk Quote Request Form
Name*:
Organization*:
Email*:
Phone Number*:
Catalog No.*:
Comments and Specifics(amount, formulation, etc.)*:
Validation code: Captchapackage Image


Can't read the image? click here to refresh.
    *required field

Your bulk quote request has been submitted successfully!

Please contact us if you have any questions.