• Tel: 858.663.9055
  • SeparatorEmail: info@nsjbio.com
  • Tel: 858.663.9055
  • Email: info@nsjbio.com
Home >> Antibodies >> FABP3 Antibody

FABP3 Antibody (F54745)

  Catalog No Formulation Size Price (USD)  
Image F54745-0.4ML In 1X PBS, pH 7.4, with 0.09% sodium azide 0.4 ml 439
Image
F54745-0.08ML In 1X PBS, pH 7.4, with 0.09% sodium azide 0.08 ml 205
Bulk quote request
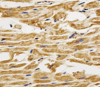
FABP3 Antibody Human Cardiac Muscle IHC. Immunohistochemistry testing of FFPE human heart tissue with FABP3 antibody. HIER: steam section in pH6 citrate buffer for 20 min and allow to cool prior to staining.
FABP3 Antibody Mouse Cardiac Muscle IHC. Immunohistochemistry testing of FFPE mouse heart tissue with FABP3 antibody. HIER: steam section in pH6 citrate buffer for 20 min and allow to cool prior to staining.
FABP3 Antibody Heart and Skeletal Muscle WB. Western blot testing of human 1) heart and 2) skeletal muscle tissue lysate with FABP3 antibody. Predicted molecular weight ~15 kDa.
FABP3 Antibody HepG2 FACS. Flow cytometry testing of human HepG2 cells with FABP3 antibody; Blue=isotype control, Green= FABP3 antibody.
Availability 1-3 business days
Species Reactivity Human
Format Purified
Host Rabbit
Clonality Polyclonal (rabbit origin)
Isotype Rabbit IgG
Purity Antigen affinity purified
UniProt P05413
Localization Cytoplasmic
Applications Immunohistochemistry (FFPE) : 1:50-1:100
Flow Cytometry : 1:25 (1x10e6 cells)
Western Blot : 1:500-1:1000
Limitations This FABP3 antibody is available for research use only.
Review this product on BioCompare and get a $20 Amazon gift card

Related Products

Description

FABP are thought to play a role in the intracellular transport of long-chain fatty acids and their acyl-CoA esters.

Explore our FABP3 Antibody page for additional western blot, immunohistochemistry, and microarray specificity validation data supporting studies of myocardial lipid transport and oxidative metabolism.

Application Notes

The stated application concentrations are suggested starting points. Titration of the FABP3 antibody may be required due to differences in protocols and secondary/substrate sensitivity.

Immunogen

A portion of amino acids 1-133 from the human protein was used as the immunogen for the FABP3 antibody.

Storage

Aliquot the FABP3 antibody and store frozen at -20oC or colder. Avoid repeated freeze-thaw cycles.

Cross
Bulk Quote Request Form
Name*:
Organization*:
Email*:
Phone Number*:
Catalog No.*:
Comments and Specifics(amount, formulation, etc.)*:
Validation code: Captchapackage Image


Can't read the image? click here to refresh.
    *required field

Your bulk quote request has been submitted successfully!

Please contact us if you have any questions.