- Tel: 858.663.9055
- 
									 Email: info@nsjbio.com Email: info@nsjbio.com
- Tel: 858.663.9055
- Email: info@nsjbio.com
 Email: info@nsjbio.com
Email: info@nsjbio.com
								Related Products
| 
 | 
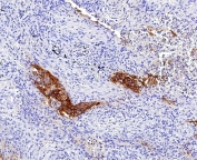
Hemostasis following tissue injury involves the deployment of essential plasma procoagulants (Prothrombin and Factors X, IX, V and VIII), which are involved in a blood coagulation cascade leading to the formation of insoluble fibrin clots and the promotion of platelet aggregation. Coagulation Factor V (Factor V, FV, proaccelerin, labile factor) is a 2,196 amino acid, single chain glycoprotein that is cleaved by Thrombin to yield an active, Ca2+-dependent dimer that is essential to the blood coagulation cascade. Together with catalytic Factor Xa and Ca2+ on the surface of platelets or endothelial cells, Factor Va coordinates into a prothrombinase complex, which mediates proteolysis of Prothrombin into active Thrombin. Tissue factor (TF), also designated coagulation Factor III) is a cell surface glycoprotein that enables cells to initiate blood coagulation cascades. It functions as a high-affinity receptor for coagulation Factor VII.
Optimal dilution of the F3 antibody should be determined by the researcher.
A portion of amino acids 50-250 from human Tissue Factor protein was used as the immunogen for the F3 antibody.
Aliquot the F3 antibody and store frozen at -20oC or colder. Avoid repeated freeze-thaw cycles.
 
Your bulk quote request has been submitted successfully!
Please contact us if you have any questions.