- Tel: 858.663.9055
- 
									 Email: info@nsjbio.com Email: info@nsjbio.com
- Tel: 858.663.9055
- Email: info@nsjbio.com
 Email: info@nsjbio.com
Email: info@nsjbio.com
								Related Products
| 
 | 
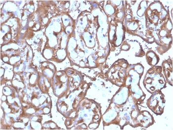
Ezrin, Moesin and Radixin belong to a family of highly homologous Actinassociated proteins that are localized just beneath the plasma membrane. The proteins are believed to be involved in the mediation of interactions between cytoskeletal and membrane proteins. Ezrin serves as a major cytoplasmic substrate of various protein-tyrosine kinases, including the epidermal growth factor receptor. Ezrin has also been identified as a cAMP-dependent protein kinase (A-kinase) anchoring protein and designated AKAP78. Moesin and Radixin share over 70% homology with Ezrin and are coexpressed within various cell types. Despite the high degree of homology, the three proteins exhibit a distinct receptor-specific pattern of phosphorylation. Overexpression of Ezrin predicts the poor prognosis of gastric adenocarcinoma.
Optimal dilution of the Ezrin antibody should be determined by the researcher.
A recombinant human full-length protein was used as the immunogen for this Ezrin antibody.
Store the Ezrin antibody at 2-8oC (with azide) or aliquot and store at -20oC or colder (without azide).
 
Your bulk quote request has been submitted successfully!
Please contact us if you have any questions.