• Tel: 858.663.9055
  • SeparatorEmail: info@nsjbio.com
  • Tel: 858.663.9055
  • Email: info@nsjbio.com
Home >> Antibodies >> EXOSC8 Antibody

EXOSC8 Antibody (RQ6624)

  Catalog No Formulation Size Price (USD)  
Image RQ6624 0.5mg/ml if reconstituted with 0.2ml sterile DI water 100 ug 449
Bulk quote request
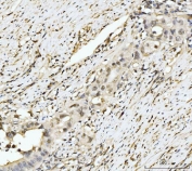
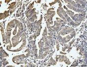
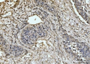
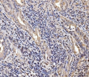
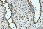
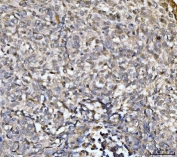
IHC staining of FFPE human liver cancer tissue with EXOSC8 antibody. HIER: boil tissue sections in pH8 EDTA for 20 min and allow to cool before testing.
IHC staining of FFPE human breast cancer tissue with EXOSC8 antibody. HIER: boil tissue sections in pH8 EDTA for 20 min and allow to cool before testing.
IHC staining of FFPE human appendiceal adenocarcinoma tissue with EXOSC8 antibody. HIER: boil tissue sections in pH8 EDTA for 20 min and allow to cool before testing.
IHC staining of FFPE human gall bladder adenosquamous carcinoma tissue with EXOSC8 antibody. HIER: boil tissue sections in pH8 EDTA for 20 min and allow to cool before testing.
IHC staining of FFPE human gastric adenocarcinoma tissue with EXOSC8 antibody. HIER: boil tissue sections in pH8 EDTA for 20 min and allow to cool before testing.
IHC staining of FFPE human renal clear cell carcinoma tissue with EXOSC8 antibody. HIER: boil tissue sections in pH8 EDTA for 20 min and allow to cool before testing.
IHC staining of FFPE human lung cancer tissue with EXOSC8 antibody. HIER: boil tissue sections in pH8 EDTA for 20 min and allow to cool before testing.
Immunofluorescent staining of FFPE human Hep3B cells with EXOSC8 antibody (Dylight 488-conjugated secondary, green) and Phalloidin-iFluor 555 conjugate (red). HIER: steam section in pH6 citrate buffer for 20 min.
Western blot testing of human 1) HeLa, 2) A549 and 3) HEK293 cell lysate with EXOSC8 antibody. Expected molecular weight: 30-35 kDa.
Flow cytometry testing of human ThP-1 cells with EXOSC8 antibody at 1ug/million cells (blocked with goat sera); Red=cells alone, Green=isotype control, Blue= EXOSC8 antibody.
Availability 1-3 business days
Species Reactivity Human
Format Antigen affinity purified
Host Rabbit
Clonality Polyclonal (rabbit origin)
Isotype Rabbit IgG
Purity Antigen affinity purified
Buffer Lyophilized from 1X PBS with 2% Trehalose
UniProt Q96B26
Localization Cytoplasmic, nuclear
Applications Western Blot : 1-2ug/ml
Immunohistochemistry (FFPE) : 2-5ug/ml
Immunofluorescence (FFPE) : 5ug/ml
Flow Cytometry : 1-3ug/million cells
Direct ELISA : 0.1-0.5ug/ml
Limitations This EXOSC8 antibody is available for research use only.
Review this product on BioCompare and get a $20 Amazon gift card

Description

Exosome component 8, also known as EXOSC8, is a human gene, the protein product of which is part of the exosome complex This gene encodes a 3'-5' exoribonuclease that specifically interacts with mRNAs containing AU-rich elements. The encoded protein is part of the exosome complex that is important for the degradation of numerous RNA species. A pseudogene of this gene is found on chromosome 6.

Application Notes

Optimal dilution of the EXOSC8 antibody should be determined by the researcher.

Immunogen

Recombinant human protein (amino acids A49-H216) was used as the immunogen for the EXOSC8 antibody.

Storage

After reconstitution, the EXOSC8 antibody can be stored for up to one month at 4oC. For long-term, aliquot and store at -20oC. Avoid repeated freezing and thawing.

Cross
Bulk Quote Request Form
Name*:
Organization*:
Email*:
Phone Number*:
Catalog No.*:
Comments and Specifics(amount, formulation, etc.)*:
Validation code: Captchapackage Image


Can't read the image? click here to refresh.
    *required field

Your bulk quote request has been submitted successfully!

Please contact us if you have any questions.