• Tel: 858.663.9055
  • SeparatorEmail: info@nsjbio.com
  • Tel: 858.663.9055
  • Email: info@nsjbio.com
Home >> Antibodies >> EXOG Antibody / ENDOGL1 / Endonuclease G-like 1

EXOG Antibody / ENDOGL1 / Endonuclease G-like 1 (R34348)

  Catalog No Formulation Size Price (USD)  
Image R34348-100UG 0.5 mg/ml in 1X TBS, pH7.3, with 0.5% BSA (US sourced) and 0.02% sodium azide 100 ug 475
Bulk quote request
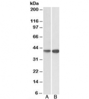
Western blot testing of HepG2 [A] and Jurkat [B] lysates with EXOG antibody at 0.2ug/ml. Predicted molecular weight: ~41kDa.
Availability 1-3 business days
Species Reactivity Human
Format Antigen affinity purified
Host Goat
Clonality Polyclonal (goat origin)
Isotype Goat Ig
Purity Antigen affinity
Gene ID 9941
Applications Western Blot : 0.1-0.3ug/ml
ELISA (peptide) LOD : 1:128000
Limitations This EXOG antibody is available for research use only.
Review this product on BioCompare and get a $20 Amazon gift card

Related Products

Description

Additional name(s) for this target protein: Endo/exonuclease (5'-3'), endonuclease G-like

Application Notes

Optimal dilution of the EXOG antibody should be determined by the researcher.

Immunogen

Amino acids KAKEQSGTQIRKP were used as the immunogen for this EXOGantibody.

Storage

Aliquot and store the EXOG antibody at -20oC.

Cross
Bulk Quote Request Form
Name*:
Organization*:
Email*:
Phone Number*:
Catalog No.*:
Comments and Specifics(amount, formulation, etc.)*:
Validation code: Captchapackage Image


Can't read the image? click here to refresh.
    *required field

Your bulk quote request has been submitted successfully!

Please contact us if you have any questions.