• Tel: 858.663.9055
  • SeparatorEmail: info@nsjbio.com
  • Tel: 858.663.9055
  • Email: info@nsjbio.com
Home >> Antibodies >> EVC2 Antibody / Ellis-van Creveld syndrome protein 2

EVC2 Antibody / Ellis-van Creveld syndrome protein 2 (FY13187)

  Catalog No Formulation Size Price (USD)  
Image FY13187 Adding 0.2 ml of distilled water will yield a concentration of 500 ug/ml 100 ug 449
Bulk quote request
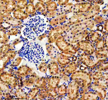
Immunohistochemical staining of EVC2 using anti-EVC2 antibody. EVC2 was detected in a paraffin-embedded section of rat kidney tissue. Heat mediated antigen retrieval was performed in EDTA buffer (pH 8.0, epitope retrieval solution). The tissue section was blocked with 10% goat serum. The tissue section was then incubated with 2 ug/ml rabbit anti-EVC2 antibody overnight at 4oC. Peroxidase Conjugated Goat Anti-rabbit IgG was used as secondary antibody and incubated for 30 minutes at 37oC. The tissue section was developed using an HRP secondary and DAB substrate.
Western blot analysis of EVC2 using anti-EVC2 antibody. Electrophoresis was performed on a 8% SDS-PAGE gel at 80V (Stacking gel) / 120V (Resolving gel) for 2 hours. Lane 1: rat PC-12 whole cell lysates, Lane 2: mouse NIH/3T3 whole cell lysates. After electrophoresis, proteins were transferred to a nitrocellulose membrane at 150 mA for 50-90 minutes. Blocked the membrane with 5% non-fat milk/TBS for 1.5 hour at RT. The membrane was incubated with rabbit anti-EVC2 antibody at 0.5 ug/ml overnight at 4oC, then washed with TBS-0.1%Tween 3 times with 5 minutes each and probed with a goat anti-rabbit IgG-HRP secondary antibody at a dilution of 1:5000 for 1.5 hour at RT. The signal was developed using an ECL Plus Western Blotting Substrate. The predicted molecular weight of EVC2 is ~148 kDa.
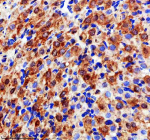
Immunohistochemical staining of EVC2 using anti-EVC2 antibody. EVC2 was detected in a paraffin-embedded section of rat ovary tissue. Heat mediated antigen retrieval was performed in EDTA buffer (pH 8.0, epitope retrieval solution). The tissue section was blocked with 10% goat serum. The tissue section was then incubated with 2 ug/ml rabbit anti-EVC2 antibody overnight at 4oC. Peroxidase Conjugated Goat Anti-rabbit IgG was used as secondary antibody and incubated for 30 minutes at 37oC. The tissue section was developed using an HRP secondary and DAB substrate.
Immunohistochemical staining of EVC2 using anti-EVC2 antibody. EVC2 was detected in a paraffin-embedded section of rat midbrain tissue. Heat mediated antigen retrieval was performed in EDTA buffer (pH 8.0, epitope retrieval solution). The tissue section was blocked with 10% goat serum. The tissue section was then incubated with 2 ug/ml rabbit anti-EVC2 antibody overnight at 4oC. Peroxidase Conjugated Goat Anti-rabbit IgG was used as secondary antibody and incubated for 30 minutes at 37oC. The tissue section was developed using an HRP secondary and DAB substrate.
Immunofluorescent staining of EVC2 using anti-EVC2 antibody (red). EVC2 was detected in a paraffin-embedded section of rat ovary tissue. Heat mediated antigen retrieval was performed in EDTA buffer (pH 8.0, epitope retrieval solution). The tissue section was blocked with 10% goat serum. The tissue section was then incubated with 5 ug/ml rabbit anti-EVC2 antibody overnight at 4oC. Cy3 Conjugated Goat Anti-Rabbit IgG was used as secondary antibody at 1:500 dilution and incubated for 30 minutes at 37oC. The section was counterstained with DAPI nuclear stain (blue). Visualize using a fluorescence microscope and filter sets appropriate for the label used.
Availability 1-2 days
Species Reactivity Mouse, Rat
Format Lyophilized
Host Rabbit
Clonality Polyclonal (rabbit origin)
Isotype Rabbit IgG
Purity Immunogen affinity purified
Buffer Each vial contains 4 mg Trehalose, 0.9 mg NaCl, 0.2 mg Na2HPO4.
UniProt Q8K1G2
Localization Plasma membrane, Nucleus, Cytoplasm
Applications Western Blot : 0.25-0.5ug/ml
Immunohistochemistry : 2-5ug/ml
Immunofluorescence : 5ug/ml
ELISA : 0.1-0.5ug/ml
Limitations This EVC2 antibody is available for research use only.
Review this product on BioCompare and get a $20 Amazon gift card

Related Products

  • Applications : IHC, ELISA (peptide)
    Reactivity : Human

Description

EVC2 antibody detects Ellis-van Creveld syndrome protein 2, a ciliary basal body protein required for Hedgehog signaling and skeletal development. The UniProt recommended name is Ellis-van Creveld syndrome protein 2 (EVC2). Also known as Limbin, this protein anchors signaling complexes at the base of the primary cilium, coordinating receptor localization and developmental signal transduction.

Functionally, EVC2 antibody identifies a 1,285-amino-acid transmembrane protein localized to the ciliary pocket region. EVC2 forms a complex with EVC, tethering Hedgehog pathway components such as Smoothened and Gli transcription factors at the cilium base to modulate downstream transcriptional activity. It is essential for skeletal morphogenesis and growth plate function.

The EVC2 gene is located on chromosome 4p16.2 and is expressed in ciliated tissues, including cartilage, bone, and embryonic organs. Proper EVC2 function maintains ciliary integrity and ensures controlled Hedgehog pathway activation during tissue differentiation.

Pathologically, mutations in EVC2 cause Ellis-van Creveld syndrome and Weyers acrofacial dysostosis, characterized by short stature, polydactyly, and craniofacial abnormalities. Disruption of EVC2 impairs Hedgehog signaling, leading to developmental malformations. Research using EVC2 antibody supports studies in ciliopathies, developmental biology, and skeletal genetics.

EVC2 antibody is validated for western blotting, immunofluorescence, and immunohistochemistry to detect ciliary and developmental proteins. NSJ Bioreagents provides EVC2 antibody reagents optimized for cilia structure, signaling, and morphogenesis research.

Structurally, Ellis-van Creveld syndrome protein 2 is a membrane-tethered scaffold with coiled-coil domains that mediate interaction with EVC and ciliary membrane components. This antibody enables examination of EVC2's function in Hedgehog signaling and developmental regulation.

Application Notes

Optimal dilution of the EVC2 antibody should be determined by the researcher.

Immunogen

E.coli-derived mouse EVC2 recombinant protein (Position: Q379-D901) was used as the immunogen for the EVC2 antibody.

Storage

After reconstitution, the EVC2 antibody can be stored for up to one month at 4oC. For long-term, aliquot and store at -20oC. Avoid repeated freezing and thawing.

Cross
Bulk Quote Request Form
Name*:
Organization*:
Email*:
Phone Number*:
Catalog No.*:
Comments and Specifics(amount, formulation, etc.)*:
Validation code: Captchapackage Image


Can't read the image? click here to refresh.
    *required field

Your bulk quote request has been submitted successfully!

Please contact us if you have any questions.