• Tel: 858.663.9055
  • SeparatorEmail: info@nsjbio.com
  • Tel: 858.663.9055
  • Email: info@nsjbio.com
Home >> Antibodies >> ETS Variant 5 Antibody / ETV5

ETS Variant 5 Antibody / ETV5 (RQ5812)

  Catalog No Formulation Size Price (USD)  
Image RQ5812 0.5mg/ml if reconstituted with 0.2ml sterile DI water 100 ug 449
Bulk quote request
Immunofluorescent staining of FFPE human MCF7 cells with ETS Variant 5 antibody (red) and DAPI nuclear stain (blue). HIER: steam section in pH6 citrate buffer for 20 min.
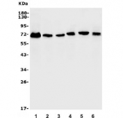
Western blot testing of human 1) A549, 2) SW620, 3) HepG2, 4) rat C6, 5) mouse Neuro-2a and 6) mouse HEPA1-6 lysate with ETS Variant 5 antibody. Expected molecular weight: 58-70 kDa, doublet may be observed.
Flow cytometry testing of human HL-60 cells with ETS Variant 5 antibody at 1ug/million cells (blocked with goat sera); Red=cells alone, Green=isotype control, Blue= ETS Variant 5 antibody.
Availability 1-3 business days
Species Reactivity Human, Mouse, Rat
Format Antigen affinity purified
Host Rabbit
Clonality Polyclonal (rabbit origin)
Isotype Rabbit IgG
Purity Affinity purified
Buffer Lyophilized from 1X PBS with 2% Trehalose and 0.025% sodium azide
UniProt P41161
Localization Nuclear
Applications Western Blot : 0.5-1ug/ml
Immunofluorescence : 2-4ug/ml
Flow Cytometry : 1-3ug/million cells
Direct ELISA : 0.1-0.5ug/ml
Limitations This ETS Variant 5 antibody is available for research use only.
Review this product on BioCompare and get a $20 Amazon gift card

Related Products

Description

Ets variant 5 (ETV5) (also named ERM transcription factor) is a transcription factor that in humans is encoded by the ETV5 gene. It is generated in Sertoli cells, which are found in the testes and play a crucial role in spermatogenesis. Its ortholog has been linked to both obesity and bipolar disorder.

Application Notes

Optimal dilution of the ETS Variant 5 antibody should be determined by the researcher.

Immunogen

Recombinant human protein (amino acids D72-Q246) was used as the immunogen for the ETS Variant 5 antibody.

Storage

After reconstitution, the ETS Variant 5 antibody can be stored for up to one month at 4oC. For long-term, aliquot and store at -20oC. Avoid repeated freezing and thawing.

Cross
Bulk Quote Request Form
Name*:
Organization*:
Email*:
Phone Number*:
Catalog No.*:
Comments and Specifics(amount, formulation, etc.)*:
Validation code: Captchapackage Image


Can't read the image? click here to refresh.
    *required field

Your bulk quote request has been submitted successfully!

Please contact us if you have any questions.