• Tel: 858.663.9055
  • SeparatorEmail: info@nsjbio.com
  • Tel: 858.663.9055
  • Email: info@nsjbio.com
Home >> Antibodies >> Estrogen receptor beta Antibody / ER beta

Estrogen receptor beta Antibody / ER beta [clone ESR2/9709] (V5881)

  Catalog No Formulation Size Price (USD)  
Image V5881-100UG 0.2 mg/ml in 1X PBS with 0.05% BSA, 0.05% sodium azide 100 ug 559
Image
V5881-20UG 0.2 mg/ml in 1X PBS with 0.05% BSA, 0.05% sodium azide 20 ug 259
Image
V5881SAF-100UG 1 mg/ml in 1X PBS; BSA free, sodium azide free 100 ug 559
Bulk quote request
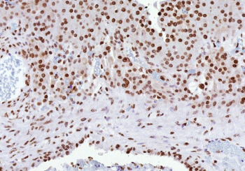
Immunohistochemistry analysis of Estrogen receptor beta in human ovarian carcinoma tissue. Formalin-fixed, paraffin-embedded human ovarian carcinoma tissue was stained using Estrogen receptor beta/ER beta antibody (clone ESR2/9709), showing nuclear immunoreactivity in tumor cells consistent with Estrogen receptor beta expression encoded by the ESR2 gene. Heat-induced epitope retrieval was performed by heating tissue sections in 10 mM Tris with 1 mM EDTA, pH 9.0, at 95oC for 45 minutes, followed by cooling at room temperature for 20 minutes prior to immunostaining.
Immunohistochemistry analysis of Estrogen receptor beta in human breast carcinoma tissue. Formalin-fixed, paraffin-embedded human breast carcinoma tissue was stained using Estrogen receptor beta/ER beta antibody (clone ESR2/9709), showing nuclear immunoreactivity in tumor epithelial cells consistent with Estrogen receptor beta expression encoded by the ESR2 gene. Heat-induced epitope retrieval was performed by heating tissue sections in 10 mM Tris with 1 mM EDTA, pH 9.0, at 95oC for 45 minutes, followed by cooling at room temperature for 20 minutes. Inset shows PBS substituted for the primary antibody as a secondary-only negative control.
SDS-PAGE Analysis of purified Estrogen receptor beta/ER beta antibody (clone ESR2/9709). Confirmation of Purity and Integrity of Antibody.
Species Reactivity Human
Format Purified
Host Mouse
Clonality Monoclonal (mouse origin)
Isotype Mouse IgG1, kappa
Clone Name ESR2/9709
UniProt Q92731
Localization Nucleus
Applications Immunohistochemistry (FFPE) : 1-2ug/ml
Limitations This Estrogen receptor beta/ER beta antibody is available for research use only.
Review this product on BioCompare and get a $20 Amazon gift card

Related Products

Description

Estrogen receptor beta Antibody targets Estrogen receptor beta, a nuclear hormone receptor encoded by the ESR2 gene and also referred to as Estrogen receptor 2 in the literature. ER beta functions as a ligand-activated transcriptional regulator that modulates cellular responses to estrogen signaling, often acting in a regulatory or balancing role relative to Estrogen receptor alpha. Through context-dependent gene regulation, Estrogen receptor beta contributes to fine-tuning estrogen-responsive transcriptional programs across multiple tissues.

ER beta is primarily localized to the nucleus, where it binds estrogen response elements and interacts with transcriptional co-regulators to influence gene expression output. Unlike ER alpha, Estrogen receptor beta frequently participates in transcriptional modulation rather than strong transcriptional activation, shaping signaling outcomes through selective gene regulation. Estrogen receptor beta Antibody detection is therefore valuable for studying nuclear receptor signaling dynamics and estrogen-dependent transcriptional balance.

Functionally, Estrogen receptor beta regulates genes involved in cellular differentiation, growth restraint, immune signaling, and tissue homeostasis. ER beta expression is prominent in tissues such as ovary, prostate, lung, brain, and immune-associated cell populations, where estrogen signaling exerts nuanced regulatory effects. Estrogen receptor beta activity often counterbalances ER alpha-driven pathways, supporting coordinated estrogen signaling rather than unchecked transcriptional activation.

Alterations in Estrogen receptor beta expression or regulatory activity have been associated with disease-related changes in hormone responsiveness and cellular behavior. Dysregulated ER beta signaling can contribute to shifts in transcriptional programs affecting proliferation, differentiation, and inflammatory responses. Studying Estrogen receptor 2 at the level of ER beta-specific regulation provides insight into estrogen signaling mechanisms that extend beyond classical ER alpha biology.

Clone ESR2/9709 is designed to recognize Estrogen receptor beta in research applications. Estrogen receptor beta Antibody reagents are suitable for detecting nuclear ER beta expression and supporting studies focused on estrogen signaling balance, transcriptional regulation, and hormone-responsive gene expression control.

For comprehensive detection of Estrogen receptor beta across hormone signaling and tumor biology studies, see our Estrogen Receptor beta antibody (clone ERb455).

Application Notes

Optimal dilution of the Estrogen receptor beta/ER beta antibody should be determined by the researcher.

Immunogen

A recombinant fragment (around amino acids 1-200) of human ESR2 protein (exact sequence is proprietary) was used as the immunogen for the Estrogen receptor beta/ER beta antibody.

Storage

Estrogen receptor beta/ER beta antibody with sodium azide - store at 2 to 8oC; antibody without sodium azide - store at -20 to -80oC.

Cross
Bulk Quote Request Form
Name*:
Organization*:
Email*:
Phone Number*:
Catalog No.*:
Comments and Specifics(amount, formulation, etc.)*:
Validation code: Captchapackage Image


Can't read the image? click here to refresh.
    *required field

Your bulk quote request has been submitted successfully!

Please contact us if you have any questions.