• Tel: 858.663.9055
  • SeparatorEmail: info@nsjbio.com
  • Tel: 858.663.9055
  • Email: info@nsjbio.com
Home >> Antibodies >> Estrogen Receptor Antibody

Estrogen Receptor Antibody (F43055)

  Catalog No Formulation Size Price (USD)  
Image F43055-0.4ML In 1X PBS, pH 7.4, with 0.09% sodium azide 0.4 ml 439
Image
F43055-0.08ML In 1X PBS, pH 7.4, with 0.09% sodium azide 0.08 ml 205
Bulk quote request
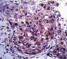
Estrogen Receptor antibody immunohistochemistry analysis in formalin fixed and paraffin embedded human breast carcinoma.
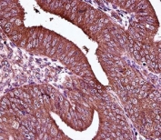
Estrogen Receptor antibody immunohistochemistry analysis in formalin fixed and paraffin embedded human uterus tissue.
Estrogen Receptor antibody western blot analysis in MCF-7 lysate. Predicted molecular weight: 65-70 kDa.
Estrogen Receptor Antibody CM. Confocal immunofluorescent analysis of Estrogen Receptor antibody with ZR-75-1 cells followed by Alexa Fluor 488-conjugated goat anti-rabbit lgG (green). Actin filaments have been labeled with Alexa Fluor 555 Phalloidin (red). DAPI was used as a nuclear counterstain (blue).
Availability 1-3 business days
Species Reactivity Human
Predicted Reactivity Mouse, Rat, Bovine, Pig
Format Antigen affinity purified
Host Rabbit
Clonality Polyclonal (rabbit origin)
Isotype Rabbit Ig
Purity Antigen affinity
UniProt P03372
Applications Western Blot : 1:1000
IHC (Paraffin) : 1:10-1:50
Immunofluorescence : 1:10-1:50
Limitations This Estrogen Receptor antibody is available for research use only.
Review this product on BioCompare and get a $20 Amazon gift card

Related Products

Description

This gene encodes an Estrogen receptor, a ligand-activated transcription factor composed of several domains important for hormone binding, DNA binding, and activation of transcription. Estrogen and its receptors are essential for sexual development and reproductive function, but also play a role in other tissues such as bone. ERs are also involved in pathological processes including breast cancer, endometrial cancer, and osteoporosis.

For comprehensive detection of Estrogen receptor alpha across hormone signaling and breast cancer studies, see our Estrogen Receptor alpha antibody (clone ESR1/3557).

Application Notes

The stated application concentrations are suggested starting amounts. Titration of the Estrogen Receptor antibody may be required due to differences in protocols and secondary/substrate sensitivity.

Immunogen

A portion of amino acids 246-273 from the human protein (alpha) was used as the immunogen for this Estrogen Receptor antibody.

Storage

Store at 4oC for up to one month. For long term, aliquot the Estrogen Receptor antibody and store frozen at -20oC or colder. Avoid repeated freeze-thaw cycles.

Cross
Bulk Quote Request Form
Name*:
Organization*:
Email*:
Phone Number*:
Catalog No.*:
Comments and Specifics(amount, formulation, etc.)*:
Validation code: Captchapackage Image


Can't read the image? click here to refresh.
    *required field

Your bulk quote request has been submitted successfully!

Please contact us if you have any questions.