• Tel: 858.663.9055
  • SeparatorEmail: info@nsjbio.com
  • Tel: 858.663.9055
  • Email: info@nsjbio.com
Home >> Antibodies >> Estrogen Receptor alpha Antibody

Estrogen Receptor alpha Antibody [clone NR3Ga-4] (V7560)

  Catalog No Formulation Size Price (USD)  
Image V7560-100UG 0.2 mg/ml in 1X PBS with 0.1 mg/ml BSA (US sourced) and 0.05% sodium azide 100 ug 559
Image
V7560-20UG 0.2 mg/ml in 1X PBS with 0.1 mg/ml BSA (US sourced) and 0.05% sodium azide 20 ug 259
Image
V7560SAF-100UG 1 mg/ml in 1X PBS; BSA free, sodium azide free 100 ug 559
Image
V7560IHC-7ML Prediluted in 1X PBS with 0.1 mg/ml BSA (US sourced) and 0.05% sodium azide; *For IHC use only* 7 ml 559
Bulk quote request
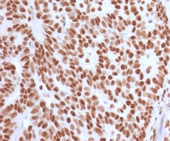
IHC staining of FFPE human breast carcinoma with Estrogen Receptor alpha antibody (clone NR3Ga-4). HIER: boil tissue sections in pH 9 10mM Tris with 1mM EDTA for 10-20 min and allow to cool before testing.
Immunofluorescence staining of human PFA-fixed MCF-7 cells with Estrogen Receptor alpha antibody (green, clone NR3Ga-4) and Phalloidin (red).
Flow cytometry testing of fixed and permeabilized human MCF-7 cells with Estrogen Receptor alpha antibody (clone NR3Ga-4); Red=isotype control, Blue= Estrogen Receptor alpha antibody.
Availability 1-3 business days
Species Reactivity Human
Format Purified
Host Mouse
Clonality Monoclonal (mouse origin)
Isotype Mouse IgG1, kappa
Clone Name NR3Ga-4
Purity Protein G affinity chromatography
UniProt P03372
Localization Nucleus
Applications Immunofluorescence : 1-2ug/ml
Flow Cytometry : 1-2ug/10^6 cells
Immunohistochemistry (FFPE) : 1-2ug/ml for 30 min at RT
Prediluted IHC Only Format : incubate for 30 min at RT (1)
Limitations This Estrogen Receptor alpha antibody is available for research use only.
Review this product on BioCompare and get a $20 Amazon gift card

Related Products

Description

Estrogen receptor (ER) is an important regulator of growth and differentiation in the mammary gland. ER presence in breast tumors indicates an increased likelihood of response to anti-estrogen therapy.

Application Notes

Optimal dilution of the Estrogen Receptor alpha antibody should be determined by the researcher.
1. The prediluted format is supplied in a dropper bottle and is optimized for use in IHC. After epitope retrieval step (if required), drip mAb solution onto the tissue section and incubate at RT for 30 min.

Immunogen

A recombinant human ESR1 protein fragment within amino acids 129-312 was used as the immunogen for the Estrogen Receptor alpha antibody.

Storage

Store the Estrogen Receptor alpha antibody at 2-8oC (with azide) or aliquot and store at -20oC or colder (without azide).

Cross
Bulk Quote Request Form
Name*:
Organization*:
Email*:
Phone Number*:
Catalog No.*:
Comments and Specifics(amount, formulation, etc.)*:
Validation code: Captchapackage Image


Can't read the image? click here to refresh.
    *required field

Your bulk quote request has been submitted successfully!

Please contact us if you have any questions.