• Tel: 858.663.9055
  • SeparatorEmail: info@nsjbio.com
  • Tel: 858.663.9055
  • Email: info@nsjbio.com
Home >> Antibodies >> Estrogen Receptor alpha Antibody

Estrogen Receptor alpha Antibody [clone ESR1/3559] (V7751)

  Catalog No Formulation Size Price (USD)  
Image V7751-100UG 0.2 mg/ml in 1X PBS with 0.1 mg/ml BSA (US sourced) and 0.05% sodium azide 100 ug 559
Image
V7751-20UG 0.2 mg/ml in 1X PBS with 0.1 mg/ml BSA (US sourced) and 0.05% sodium azide 20 ug 259
Image
V7751SAF-100UG 1 mg/ml in 1X PBS; BSA free, sodium azide free 100 ug 559
Bulk quote request
Flow cytometry testing of permeabilized human MCF7 cells with Estrogen Receptor alpha antibody (clone ESR1/3559); Red=isotype control, Blue= Estrogen Receptor alpha antibody.
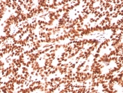
IHC staining of FFPE human breast carcinoma with Estrogen Receptor alpha antibody (clone ESR1/3559). HIER: boil tissue sections in pH 9 10mM Tris with 1mM EDTA for 10-20 min and allow to cool before testing.
Analysis of HuProt(TM) microarray containing more than 19,000 full-length human proteins using Estrogen Receptor alpha antibody (clone ESR1/3559). These results demonstrate the foremost specificity of the ESR1/3559 mAb.
Z- and S- score: The Z-score represents the strength of a signal that an antibody (in combination with a fluorescently-tagged anti-IgG secondary Ab) produces when binding to a particular protein on the HuProt(TM) array. Z-scores are described in units of standard deviations (SD's) above the mean value of all signals generated on that array. If the targets on the HuProt(TM) are arranged in descending order of the Z-score, the S-score is the difference (also in units of SD's) between the Z-scores. The S-score therefore represents the relative target specificity of an Ab to its intended target.
SDS-PAGE analysis of purified, BSA-free Estrogen Receptor alpha antibody (clone ESR1/3559) as confirmation of integrity and purity.
Western blot testing of human T-47D cell lysate with Estrogen Receptor antibody (ESR1/3559). Predicted molecular weight ~67 kDa.
Western blot testing of human T-47D cell lysate with Estrogen Receptor antibody (ESR1/3559). Predicted molecular weight ~67 kDa.
Availability 1-3 business days
Species Reactivity Human
Format Purified
Host Mouse
Clonality Monoclonal (mouse origin)
Isotype Mouse IgG2b, kappa
Clone Name ESR1/3559
Purity Protein G affinity chromatography
UniProt P03372
Localization Nuclear
Applications Flow Cytometry : 1-2ug/10^6 cells in 0.1ml
Immunohistochemistry (FFPE) : 1-2ug/ml
Western Blot : 2-4ug/ml
Limitations This Estrogen Receptor alpha antibody is available for research use only.
Review this product on BioCompare and get a $20 Amazon gift card

Related Products

Description

This monoclonal antibody is specific to estrogen receptor alpha (ER alpha) and shows minimal cross-reaction with other members of the family. ER is an important regulator of growth and differentiation in the mammary gland. Presence of ER in breast tumors indicates an increased likelihood of response to anti-estrogen (e.g. tamoxifen) therapy. It strongly stains nuclei of epithelial cells in breast carcinomas.

Application Notes

Optimal dilution of the Estrogen Receptor alpha antibody should be determined by the researcher.

Immunogen

A recombinant human partial protein (amino acids 129-312) was used as the immunogen for this Estrogen Receptor alpha antibody.

Storage

Store the Estrogen Receptor alpha antibody at 2-8oC (with azide) or aliquot and store at -20oC or colder (without azide).

Cross
Bulk Quote Request Form
Name*:
Organization*:
Email*:
Phone Number*:
Catalog No.*:
Comments and Specifics(amount, formulation, etc.)*:
Validation code: Captchapackage Image


Can't read the image? click here to refresh.
    *required field

Your bulk quote request has been submitted successfully!

Please contact us if you have any questions.