• Tel: 858.663.9055
  • SeparatorEmail: info@nsjbio.com
  • Tel: 858.663.9055
  • Email: info@nsjbio.com
Home >> Antibodies >> Estrogen Inducible Protein pS2 Antibody Clone SPM313 / TFF1 Antibody

Estrogen Inducible Protein pS2 Antibody Clone SPM313 / TFF1 Antibody [clone SPM313] (V2879)

  Catalog No Formulation Size Price (USD)  
Image V2879-100UG 0.2 mg/ml in 1X PBS with 0.1 mg/ml BSA (US sourced) and 0.05% sodium azide 100 ug 559
Image
V2879-20UG 0.2 mg/ml in 1X PBS with 0.1 mg/ml BSA (US sourced) and 0.05% sodium azide 20 ug 259
Image
V2879SAF-100UG 1 mg/ml in 1X PBS; BSA free, sodium azide free 100 ug 559
Image
V2879IHC-7ML Prediluted in 1X PBS with 0.1 mg/ml BSA (US sourced) and 0.05% sodium azide; *For IHC use only* 7 ml 559
Bulk quote request
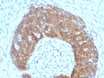
Estrogen Inducible Protein pS2 Antibody Clone SPM313. Immunohistochemistry analysis of Trefoil factor 1 (TFF1) in formalin-fixed, paraffin-embedded human ovarian carcinoma tissue using Estrogen Inducible Protein pS2 Antibody Clone SPM313. Tumor epithelial cells show HRP-DAB brown cytoplasmic staining, consistent with expression of the estrogen regulated secretory protein TFF1 (pS2). Hematoxylin counterstain highlights nuclei (blue) while surrounding stromal elements remain largely negative.
SDS-PAGE analysis of purified, BSA-free Estrogen Inducible Protein pS2 Antibody Clone SPM313 as confirmation of integrity and purity.
Availability 1-3 business days
Species Reactivity Human
Format Purified
Host Mouse
Clonality Monoclonal (mouse origin)
Isotype Mouse IgG1, kappa
Clone Name SPM313
Purity Protein G affinity chromatography
UniProt P04155
Localization Cytoplasmic, secreted
Applications Immunohistochemistry (FFPE) : 0.5-1ug/ml for 30 min at RT
Limitations This Estrogen Inducible Protein pS2 antibody is available for research use only.
Review this product on BioCompare and get a $20 Amazon gift card

Related Products

Description

Trefoil factor 1 (TFF1) is a small secreted epithelial peptide encoded by the TFF1 gene and a member of the trefoil factor family involved in mucosal protection and epithelial repair within the gastrointestinal tract. The protein is strongly expressed in mucus-secreting epithelial cells of the stomach, particularly within gastric foveolar epithelium where it contributes to stabilization of the protective mucin layer covering the gastric mucosa. Estrogen Inducible Protein pS2 Antibody Clone SPM313 enables detection of Trefoil factor 1 protein in epithelial tissues and experimental cell models used to study mucosal biology and epithelial differentiation. TFF1 antibody, also referred to as Trefoil factor 1 antibody or pS2 antibody in the literature, targets a protein widely used as a marker of gastric epithelial lineage and hormone-responsive tumors.

The protein was originally identified in breast carcinoma cells as the estrogen inducible secretory peptide pS2. Expression of TFF1 is closely associated with estrogen receptor signaling pathways and is frequently detected in hormone-responsive breast cancer cells. Because of this relationship, pS2 antibody detection is commonly used in studies examining estrogen-regulated gene expression, breast tumor biology, and epithelial differentiation. Expression of TFF1 in breast cancer cell lines such as MCF7 reflects the regulatory influence of estrogen signaling on secretory protein production within epithelial tumor cells.

In addition to its role in hormone-responsive breast cancer models, TFF1 functions as an important protective peptide in the gastrointestinal tract. The protein is secreted into the gastric mucus layer where it interacts with mucins and other extracellular components to support the stability of the mucosal barrier. Trefoil factor peptides contain a characteristic trefoil domain stabilized by disulfide bonds, allowing them to remain stable in the protease-rich environment of the gastrointestinal lumen. These structural properties enable TFF1 to participate in epithelial restitution processes that promote repair of damaged mucosal surfaces.

TFF1 expression patterns are frequently examined in studies of epithelial differentiation and gastric mucosal biology. Strong expression is typically observed in gastric epithelial cells, while expression in most other tissues is more restricted. Alterations in TFF1 expression have also been investigated in studies of gastric tumorigenesis and epithelial transformation, highlighting the role of this trefoil family peptide in maintaining epithelial homeostasis.

Estrogen Inducible Protein pS2 Antibody Clone SPM313 supports research examining Trefoil factor 1 expression in epithelial tissues and tumor cell models. Detection of TFF1 protein allows investigators to study gastric epithelial biology, mucosal barrier function, and hormone-responsive signaling pathways associated with breast cancer and gastrointestinal epithelial physiology.

Application Notes

Optimal dilution of the Estrogen Inducible Protein pS2 Antibody Clone SPM313 should be determined by the researcher.

1. Staining of formalin-fixed tissues requires boiling tissue sections in 10mM Citrate buffer, pH 6.0, for 10-20 min followed by cooling at RT for 20 min.
2. The prediluted format is supplied in a dropper bottle and is optimized for use in IHC. After epitope retrieval step (if required), drip mAb solution onto the tissue section and incubate at RT for 30 min.

Immunogen

Amino acids CFDDTVRGVPWCFYPNTIDVPPEEECEF (aa57-84) from the human protein were used as the immunogen for the Estrogen Inducible Protein pS2 antibody.

Storage

Store the Estrogen Inducible Protein pS2 antibody at 2-8oC (with azide) or aliquot and store at -20oC or colder (without azide).

Alternate Names

Trefoil factor 1, TFF1, pS2, Breast cancer associated protein pS2, Trefoil factor family peptide 1

Cross
Bulk Quote Request Form
Name*:
Organization*:
Email*:
Phone Number*:
Catalog No.*:
Comments and Specifics(amount, formulation, etc.)*:
Validation code: Captchapackage Image


Can't read the image? click here to refresh.
    *required field

Your bulk quote request has been submitted successfully!

Please contact us if you have any questions.