• Tel: 858.663.9055
  • SeparatorEmail: info@nsjbio.com
  • Tel: 858.663.9055
  • Email: info@nsjbio.com
Home >> Antibodies >> ESRP1 Antibody / Epithelial splicing regulatory protein 1

ESRP1 Antibody / Epithelial splicing regulatory protein 1 (F54298)

  Catalog No Formulation Size Price (USD)  
Image F54298-0.4ML In 1X PBS, pH 7.4, with 0.09% sodium azide 0.4 ml 439
Image
F54298-0.08ML In 1X PBS, pH 7.4, with 0.09% sodium azide 0.08 ml 205
Bulk quote request
Western blot testing of human 1) HCT-116 and 2) MCF7 cell lysates with ESRP1 antibody. Predicted molecular weight: 68-76 kDa (multiple isoforms).
Western blot testing of human 1) A431 and 2) MCF7 cell lysates with ESRP1 antibody. Predicted molecular weight: 68-76 kDa (multiple isoforms).
Western blot testing of mouse colon lysates with ESRP1 antibody. Predicted molecular weight: 57-76 kDa (multiple isoforms).
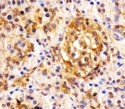
IHC testing of FFPE human pancreas tissue with ESRP1 antibody. HIER: steam section in pH6 citrate buffer for 20 min and allow to cool prior to staining.
Availability 1-3 business days
Species Reactivity Human
Format Purified
Host Rabbit
Clonality Polyclonal (rabbit origin)
Isotype Rabbit Ig
Purity SAS precipitation
UniProt Q6NXG1
Applications Western Blot : 1:500-1:2000
Immunohistochemistry (FFPE) : 1:25
Limitations This ESRP1 antibody is available for research use only.
Review this product on BioCompare and get a $20 Amazon gift card

Description

mRNA splicing factor that regulates the formation of epithelial cell-specific isoforms. [UniProt]

Application Notes

The stated application concentrations are suggested starting points. Titration of the ESRP1 antibody may be required due to differences in protocols and secondary/substrate sensitivity.

Immunogen

A portion of amino acids 182-211 from the human protein were used as the immunogen for the ESRP1 antibody.

Storage

Aliquot the ESRP1 antibody and store frozen at -20oC or colder. Avoid repeated freeze-thaw cycles.

Cross
Bulk Quote Request Form
Name*:
Organization*:
Email*:
Phone Number*:
Catalog No.*:
Comments and Specifics(amount, formulation, etc.)*:
Validation code: Captchapackage Image


Can't read the image? click here to refresh.
    *required field

Your bulk quote request has been submitted successfully!

Please contact us if you have any questions.