• Tel: 858.663.9055
  • SeparatorEmail: info@nsjbio.com
  • Tel: 858.663.9055
  • Email: info@nsjbio.com
Home >> Antibodies >> ESR1 Antibody Recombinant Mouse MAb / Estrogen receptor 1

ESR1 Antibody Recombinant Mouse MAb / Estrogen receptor 1 [clone rESR1/9525] (V5879)

  Catalog No Formulation Size Price (USD)  
Image V5879-100UG 0.2 mg/ml in 1X PBS with 0.05% BSA, 0.05% sodium azide 100 ug 559
Image
V5879-20UG 0.2 mg/ml in 1X PBS with 0.05% BSA, 0.05% sodium azide 20 ug 259
Image
V5879SAF-100UG 1 mg/ml in 1X PBS; BSA free, sodium azide free 100 ug 559
Microvalidated Recmousemono
Bulk quote request
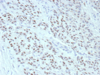
ESR1 Antibody Recombinant Mouse MAb Breast IHC. Immunohistochemistry analysis of Estrogen receptor alpha in human breast tissue. Formalin-fixed, paraffin-embedded human breast tissue was stained using recombinant ESR1/Estrogen receptor 1 antibody recombinant mouse mAb rESR1/9525, showing clear nuclear immunoreactivity in epithelial cells consistent with Estrogen receptor 1 expression. Heat-induced epitope retrieval was performed by heating tissue sections in 10 mM Tris with 1 mM EDTA, pH 9.0, at 95oC for 45 minutes, followed by cooling at room temperature for 20 minutes prior to immunostaining.
ESR1 Antibody Recombinant Mouse MAb WB. Western blot analysis of human HeLa and MCF7 cell lysates using recombinant ESR1/Estrogen receptor 1 antibody (clone rESR1/9525). Predicted molecular weight ~67 kDa.
Western blot analysis of human MCF7 cell lysates using recombinant ESR1/Estrogen receptor 1 antibody recombinant mouse mAb rESR1/9525). Predicted molecular weight ~67 kDa.
SDS-PAGE Analysis of purified recombinant ESR1/Estrogen receptor 1 antibody (clone rESR1/9525). Confirmation of Purity and Integrity of Antibody.
Species Reactivity Human
Format Purified
Host Mouse
Clonality Recombinant Mouse Monoclonal
Isotype Mouse IgG2b, kappa
Clone Name rESR1/9525
UniProt P03372
Localization Nucleus
Applications Immunohistochemistry (FFPE) : 1-2ug/ml
Western Blot : 2-4ug/ml
Limitations This ESR1/Estrogen receptor 1 antibody is available for research use only.
Review this product on BioCompare and get a $20 Amazon gift card

Related Products

Description

ESR1 antibody Recombinant Mouse MAb rESR1/9525 targets Estrogen receptor 1, a nuclear hormone receptor encoded by the ESR1 gene that is also widely referred to as estrogen receptor alpha and ER alpha in the literature. Estrogen receptor 1 functions as a ligand-activated transcription factor that mediates cellular responses to estrogen by regulating gene expression programs involved in cell proliferation, differentiation, and tissue homeostasis. As a member of the steroid hormone receptor family, estrogen receptor alpha plays a central role in hormone-responsive tissues and endocrine signaling pathways.

Estrogen receptor 1 is primarily localized to the nucleus, where ER alpha binds estrogen response elements within target gene promoters following ligand activation. In addition to direct DNA binding, estrogen receptor alpha interacts with a range of transcriptional co-regulators and signaling proteins that fine-tune transcriptional output. ESR1 antibody detection is therefore widely used for studying nuclear receptor signaling and estrogen-dependent transcriptional regulation in tissue-based and cell-based research models.

Functionally, Estrogen receptor 1 regulates genes involved in reproductive tissue development, cell cycle control, and metabolic regulation. Estrogen receptor alpha activity is especially important in tissues such as breast, uterus, ovary, and bone, where estrogen signaling drives normal physiological function. ESR1 antibody reagents support investigations into hormone receptor biology, estrogen signaling dynamics, and transcriptional control mechanisms associated with ER alpha activity.

Altered expression or signaling of Estrogen receptor 1 has been linked to multiple disease states, particularly hormone-responsive cancers. Dysregulation of estrogen receptor alpha contributes to abnormal cellular proliferation and altered differentiation programs, making ESR1 a major focus of cancer biology and endocrine research. Changes in ER alpha expression patterns and signaling behavior have also been associated with disease progression and altered hormone responsiveness in experimental models.

Clone rESR1/9525 is designed to recognize Estrogen receptor 1 in research applications. ESR1 antibody reagents are suitable for detecting nuclear ER alpha expression in hormone-responsive tissues and experimental systems, supporting studies focused on estrogen signaling, transcriptional regulation, and disease-associated alterations in estrogen receptor activity.

For comprehensive detection of Estrogen receptor alpha across hormone signaling and breast cancer studies, see our Estrogen Receptor alpha antibody (clone ESR1/3557).

Application Notes

Optimal dilution of the ESR1/Estrogen receptor 1 antibody should be determined by the researcher.

Immunogen

A recombinant fragment corresponding to C-terminus of human ESR1 protein (exact sequence is proprietary) was used as the immunogen for the ESR1/Estrogen receptor 1 antibody.

Storage

ESR1/Estrogen receptor 1 antibody with sodium azide - store at 2 to 8oC; antibody without sodium azide - store at -20 to -80oC.

Cross
Bulk Quote Request Form
Name*:
Organization*:
Email*:
Phone Number*:
Catalog No.*:
Comments and Specifics(amount, formulation, etc.)*:
Validation code: Captchapackage Image


Can't read the image? click here to refresh.
    *required field

Your bulk quote request has been submitted successfully!

Please contact us if you have any questions.