• Tel: 858.663.9055
  • SeparatorEmail: info@nsjbio.com
  • Tel: 858.663.9055
  • Email: info@nsjbio.com
Home >> Antibodies >> ERLEC1 Antibody / Endoplasmic reticulum lectin 1

ERLEC1 Antibody / Endoplasmic reticulum lectin 1 (RQ6621)

  Catalog No Formulation Size Price (USD)  
Image RQ6621 0.5mg/ml if reconstituted with 0.2ml sterile DI water 100 ug 449
Bulk quote request
Flow cytometry testing of human SiHa cells with ERLEC1 antibody at 1ug/million cells (blocked with goat sera); Red=cells alone, Green=isotype control, Blue= ERLEC1 antibody.
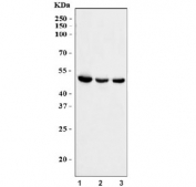
Western blot testing of human 1) HepG2, 2) U-87 MG and 3) HL60 cell lysate with ERLEC1 antibody. Predicted molecular weight ~55 kDa.
Availability 1-3 business days
Species Reactivity Human
Format Antigen affinity purified
Host Rabbit
Clonality Polyclonal (rabbit origin)
Isotype Rabbit IgG
Purity Antigen affinity purified
Buffer Lyophilized from 1X PBS with 2% Trehalose
UniProt Q96DZ1
Applications Western Blot : 1-2ug/ml
Flow Cytometry : 1-3ug/million cells
Direct ELISA : 0.1-0.5ug/ml
Limitations This ERLEC1 antibody is available for research use only.
Review this product on BioCompare and get a $20 Amazon gift card

Description

Endoplasmic reticulum lectin 1 is a protein that in humans is encoded by the ERLEC1 gene. This gene encodes a resident endoplasmic reticulum (ER) protein that functions in N-glycan recognition. This protein is thought to be involved in ER-associated degradation via its interaction with the membrane-associated ubiquitin ligase complex. It also functions as a regulator of multiple cellular stress-response pathways in a manner that promotes metastatic cell survival. Alternative splicing results in multiple transcript variants. A related pseudogene has been identified on chromosome 21.

Application Notes

Optimal dilution of the ERLEC1 antibody should be determined by the researcher.

Immunogen

Recombinant human protein (amino acids L34-N483) was used as the immunogen for the ERLEC1 antibody.

Storage

After reconstitution, the ERLEC1 antibody can be stored for up to one month at 4oC. For long-term, aliquot and store at -20oC. Avoid repeated freezing and thawing.

Cross
Bulk Quote Request Form
Name*:
Organization*:
Email*:
Phone Number*:
Catalog No.*:
Comments and Specifics(amount, formulation, etc.)*:
Validation code: Captchapackage Image


Can't read the image? click here to refresh.
    *required field

Your bulk quote request has been submitted successfully!

Please contact us if you have any questions.