• Tel: 858.663.9055
  • SeparatorEmail: info@nsjbio.com
  • Tel: 858.663.9055
  • Email: info@nsjbio.com
Home >> Antibodies >> ERK5 Antibody

ERK5 Antibody (F50463)

  Catalog No Formulation Size Price (USD)  
Image F50463-0.4ML In 1X PBS, pH 7.4, with 0.09% sodium azide 0.4 ml 439
Image
F50463-0.08ML In 1X PBS, pH 7.4, with 0.09% sodium azide 0.08 ml 205
Bulk quote request
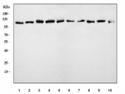
Western blot analysis of ERK5 antibody and K562 lysate
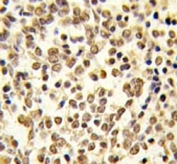
IHC analysis of FFPE human breast carcinoma tissue stained with the ERK5 antibody
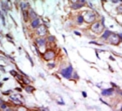
IHC analysis of FFPE human kideny carcinoma tissue stained with ERK5 antibody
Availability 1-3 business days
Species Reactivity Human
Predicted Reactivity Bovine, Mouse, Rat
Format Purified
Host Rabbit
Clonality Polyclonal (rabbit origin)
Isotype Rabbit Ig
Purity Purified
UniProt Q13164
Applications Western Blot : 1:1000
IHC (Paraffin) : 1:50-1:100
Limitations This ERK5 antibody is available for research use only.
Review this product on BioCompare and get a $20 Amazon gift card

Related Products

  • Applications : WB, IHC-P, Direct ELISA
    Reactivity : Human, Rat
  • Applications : WB, Direct ELISA
    Reactivity : Human, Mouse, Rat, Monkey

Description

MEK5 and ERK5, a member of the MAP kinase subfamily of the Ser/Thr protein kinases, interact specifically with one another and not with MEK1/ERK1 or MEK2/ERK2 pathways. ERK5 is activated by tyrosine and threonine phosphorylation It is expressed in many adult tissues, abundantly in heart, placenta, lung, kidney and skeletal muscle, but is not detectable in liver. The second proline-rich region may interact with actin targeting the kinase to a specific location in the cell. ERK5 is autophosphorylated on threonine and tyrosine residues when the C-terminal part of the kinase, which could have a regulatory role, is absent.

Application Notes

Titration of the ERK5 antibody may be required due to differences in protocols and secondary/substrate sensitivity.

Immunogen

A portion of amino acids 776-805 from the human protein was used as the immunogen for this ERK5 antibody.

Storage

Aliquot the ERK5 antibody and store frozen at -20oC or colder. Avoid repeated freeze-thaw cycles.

Cross
Bulk Quote Request Form
Name*:
Organization*:
Email*:
Phone Number*:
Catalog No.*:
Comments and Specifics(amount, formulation, etc.)*:
Validation code: Captchapackage Image


Can't read the image? click here to refresh.
    *required field

Your bulk quote request has been submitted successfully!

Please contact us if you have any questions.