• Tel: 858.663.9055
  • SeparatorEmail: info@nsjbio.com
  • Tel: 858.663.9055
  • Email: info@nsjbio.com
Home >> Antibodies >> ERK4 Antibody

ERK4 Antibody (F50462)

  Catalog No Formulation Size Price (USD)  
Image F50462-0.4ML In 1X PBS, pH 7.4, with 0.09% sodium azide 0.4 ml 439
Image
F50462-0.08ML In 1X PBS, pH 7.4, with 0.09% sodium azide 0.08 ml 205
Bulk quote request
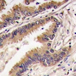
IHC analysis of FFPE human lung carcinoma tissue stained with ERK4 antibody
Western blot analysis of ERK4 antibody and mouse brain tissue lysate.
Availability 1-3 business days
Species Reactivity Human, Mouse
Format Purified
Host Rabbit
Clonality Polyclonal (rabbit origin)
Isotype Rabbit Ig
Purity Purified
UniProt P31152
Applications Western Blot : 1:1000
IHC (Paraffin) : 1:10-1:50
Limitations This ERK4 antibody is available for research use only.
Review this product on BioCompare and get a $20 Amazon gift card

Description

Protein kinases are enzymes that transfer a phosphate group from a phosphate donor, generally the g phosphate of ATP, onto an acceptor amino acid in a substrate protein. By this basic mechanism, protein kinases mediate most of the signal transduction in eukaryotic cells, regulating cellular metabolism, transcription, cell cycle progression, cytoskeletal rearrangement and cell movement, apoptosis, and differentiation. With more than 500 gene products, the protein kinase family is one of the largest families of proteins in eukaryotes. The family has been classified in 8 major groups based on sequence comparison of their tyrosine (PTK) or serine/threonine (STK) kinase catalytic domains. The CMGC group consists of 60 kinases including the cyclin-dependent kinase (CDK) and close relatives family, the MAP kinase (ERK) family, the glycogen synthase kinase 3 (GSK3) family, and the Cdc2-like kinase (CLK) family.

Application Notes

Titration of the ERK4 antibody may be required due to differences in protocols and secondary/substrate sensitivity.

Immunogen

A portion of amino acids 527-557 from the human protein was used as the immunogen for this ERK4 antibody.

Storage

Aliquot the ERK4 antibody and store frozen at -20oC or colder. Avoid repeated freeze-thaw cycles.

Cross
Bulk Quote Request Form
Name*:
Organization*:
Email*:
Phone Number*:
Catalog No.*:
Comments and Specifics(amount, formulation, etc.)*:
Validation code: Captchapackage Image


Can't read the image? click here to refresh.
    *required field

Your bulk quote request has been submitted successfully!

Please contact us if you have any questions.