• Tel: 858.663.9055
  • SeparatorEmail: info@nsjbio.com
  • Tel: 858.663.9055
  • Email: info@nsjbio.com
Home >> Antibodies >> ERG Antibody / Prostate cancer ERG

ERG Antibody / Prostate cancer ERG [clone ERG1/12589] (V5877)

  Catalog No Formulation Size Price (USD)  
Image V5877-100UG 0.2 mg/ml in 1X PBS with 0.05% BSA, 0.05% sodium azide 100 ug 559
Image
V5877-20UG 0.2 mg/ml in 1X PBS with 0.05% BSA, 0.05% sodium azide 20 ug 259
Image
V5877SAF-100UG 1 mg/ml in 1X PBS; BSA free, sodium azide free 100 ug 559
Bulk quote request
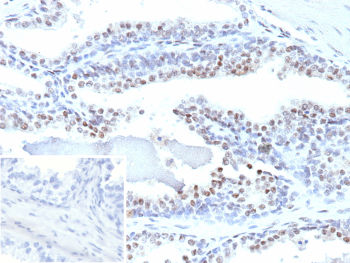
Immunohistochemistry analysis of ERG in human prostate carcinoma tissue. Formalin-fixed, paraffin-embedded human prostate carcinoma tissue was stained using ERG/Prostate cancer ERG antibody (clone ERG1/12589), showing distinct nuclear staining in tumor epithelial cells consistent with prostate cancer-associated ERG expression. Heat-induced epitope retrieval was performed by heating tissue sections in 10 mM Tris with 1 mM EDTA, pH 9.0, at 95oC for 45 minutes, followed by cooling at room temperature for 20 minutes. Inset shows PBS substituted for the primary antibody as a secondary-only negative control.
SDS-PAGE Analysis of purified ERG/Prostate cancer ERG antibody (clone ERG1/12589). Confirmation of Purity and Integrity of Antibody.
Species Reactivity Human
Format Purified
Host Mouse
Clonality Monoclonal (mouse origin)
Isotype Mouse IgG1, kappa
Clone Name ERG1/12589
UniProt P11308
Localization Cytoplasm, Nucleus
Applications Immunohistochemistry (FFPE) : 1-2ug/ml
Limitations This ERG/Prostate cancer ERG antibody is available for research use only.
Review this product on BioCompare and get a $20 Amazon gift card

Related Products

Description

ERG antibody targets ETS related gene, a nuclear transcription factor encoded by the ERG gene that is aberrantly expressed in a large subset of prostate cancers. In prostate carcinoma, ERG expression most commonly arises from gene rearrangements that place ERG under the control of androgen-responsive promoters, leading to inappropriate transcriptional activation in prostate epithelial cells. As a result, ERG antibody detection is widely used in research settings to study prostate cancer-associated transcriptional reprogramming.

In normal tissues, ERG expression is largely restricted to vascular endothelial cells and select hematopoietic populations. In contrast, nuclear ERG expression in prostate epithelial cells is considered abnormal and reflects oncogenic activation rather than normal differentiation. This distinction makes ERG antibody reagents particularly valuable for examining prostate tumor biology and for distinguishing malignant epithelial cells from surrounding benign glands in tissue-based studies.

Functionally, ERG acts as a transcriptional regulator that influences genes involved in cell migration, invasion, and survival. In prostate cancer models, ERG overexpression has been associated with altered chromatin organization and cooperation with androgen receptor signaling pathways, contributing to tumor initiation and progression. ERG antibody tools support investigations into how transcription factor dysregulation reshapes gene expression programs in prostate carcinoma.

ERG expression in prostate cancer is strongly associated with specific molecular subtypes and is frequently evaluated in the context of tumor classification and disease stratification research. Nuclear ERG positivity has been correlated with distinct histopathologic features and molecular profiles, making ERG antibody-based detection relevant for studies of prostate cancer heterogeneity and progression mechanisms.

Clone ERG1/12589 is designed to recognize ERG in research applications. ERG antibody reagents are suitable for detecting nuclear ERG expression in prostate cancer tissue samples, supporting studies focused on oncogenic transcription factor activity, prostate tumor biology, and disease-associated alterations in gene regulation.

Application Notes

Optimal dilution of the ERG/Prostate cancer ERG antibody should be determined by the researcher.

Immunogen

A recombinant fragment (around amino acids 1-300) of human ERG (exact sequence is proprietary) was used as the immunogen for the ERG/Prostate cancer ERG antibody.

Storage

ERG/Prostate cancer ERG antibody with sodium azide - store at 2 to 8oC; antibody without sodium azide - store at -20 to -80oC.

Cross
Bulk Quote Request Form
Name*:
Organization*:
Email*:
Phone Number*:
Catalog No.*:
Comments and Specifics(amount, formulation, etc.)*:
Validation code: Captchapackage Image


Can't read the image? click here to refresh.
    *required field

Your bulk quote request has been submitted successfully!

Please contact us if you have any questions.