• Tel: 858.663.9055
  • SeparatorEmail: info@nsjbio.com
  • Tel: 858.663.9055
  • Email: info@nsjbio.com
Home >> Antibodies >> ERG Antibody / ETS related gene

ERG Antibody / ETS related gene [clone ERG1/12590] (V5876)

  Catalog No Formulation Size Price (USD)  
Image V5876-100UG 0.2 mg/ml in 1X PBS with 0.05% BSA, 0.05% sodium azide 100 ug 559
Image
V5876-20UG 0.2 mg/ml in 1X PBS with 0.05% BSA, 0.05% sodium azide 20 ug 259
Image
V5876SAF-100UG 1 mg/ml in 1X PBS; BSA free, sodium azide free 100 ug 559
Bulk quote request
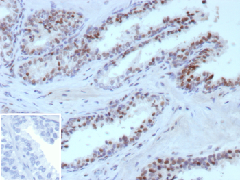
Immunohistochemistry analysis of ERG in human prostate carcinoma tissue. Formalin-fixed, paraffin-embedded human prostate carcinoma tissue was stained using ERG/ETS related gene antibody (clone ERG1/12589), showing distinct nuclear staining in tumor epithelial cells consistent with ERG expression in prostate carcinoma. Heat-induced epitope retrieval was performed by heating tissue sections in 10 mM Tris with 1 mM EDTA, pH 9.0, at 95oC for 45 minutes, followed by cooling at room temperature for 20 minutes. Inset shows PBS substituted for the primary antibody as a secondary-only negative control.
SDS-PAGE Analysis of purified ERG/ETS related gene antibody (clone ERG1/12589). Confirmation of Purity and Integrity of Antibody.
Species Reactivity Human
Format Purified
Host Mouse
Clonality Monoclonal (mouse origin)
Isotype Mouse IgG1, kappa
Clone Name ERG1/12590
UniProt P11308
Localization Nucleus
Applications Immunohistochemistry (FFPE) : 1-2ug/ml
Limitations This ERG/ETS related gene antibody is available for research use only.
Review this product on BioCompare and get a $20 Amazon gift card

Related Products

Description

ERG antibody targets ETS related gene, a nuclear transcription factor encoded by the ERG gene and a member of the ETS family of transcriptional regulators. ERG plays a critical role in gene expression programs that control endothelial cell differentiation, vascular development, and hematopoietic lineage specification. Through sequence-specific DNA binding, ERG regulates transcriptional networks essential for cell identity and tissue homeostasis.

ERG is predominantly localized in the nucleus and is highly expressed in vascular endothelial cells and cells of hematopoietic origin. Its expression pattern makes ERG antibody detection particularly useful for identifying endothelial cells and assessing vascular differentiation in tissue samples. In addition, ERG expression is observed in subsets of hematologic cells, reflecting its role in blood cell development and maintenance.

Functionally, ERG regulates genes involved in cell survival, migration, and differentiation. In endothelial cells, ERG supports vascular stability and angiogenic capacity by modulating transcriptional responses to developmental and environmental cues. ERG antibody reagents therefore support investigations into transcriptional control mechanisms underlying vascular biology and endothelial cell function.

Alterations in ERG expression are associated with several disease contexts. ERG gene rearrangements and overexpression are well documented in prostate cancer, most commonly through fusion with androgen-regulated promoters, leading to aberrant transcriptional activity. ERG expression has also been implicated in certain leukemias and vascular tumors, where dysregulated transcription contributes to disease progression. These associations highlight the relevance of ERG antibody-based detection in cancer research and hematopathology studies.

Clone ERG1/12590 is designed to recognize ETS related gene in research applications. ERG antibody reagents are suitable for detecting nuclear ERG expression in endothelial and hematopoietic cells, supporting studies focused on vascular biology, transcriptional regulation, and disease-associated alterations in ETS family signaling.

Application Notes

Optimal dilution of the ERG/ETS related gene antibody should be determined by the researcher.

Immunogen

A recombinant fragment (around amino acids 1-300) of human ERG (exact sequence is proprietary) was used as the immunogen for the ERG/ETS related gene antibody.

Storage

ERG/ETS related gene antibody with sodium azide - store at 2 to 8oC; antibody without sodium azide - store at -20 to -80oC.

Cross
Bulk Quote Request Form
Name*:
Organization*:
Email*:
Phone Number*:
Catalog No.*:
Comments and Specifics(amount, formulation, etc.)*:
Validation code: Captchapackage Image


Can't read the image? click here to refresh.
    *required field

Your bulk quote request has been submitted successfully!

Please contact us if you have any questions.