• Tel: 858.663.9055
  • SeparatorEmail: info@nsjbio.com
  • Tel: 858.663.9055
  • Email: info@nsjbio.com
Home >> Antibodies >> ERCC5 Antibody / Excision repair cross-complementation group 5

ERCC5 Antibody / Excision repair cross-complementation group 5 (FY12489)

  Catalog No Formulation Size Price (USD)  
Image FY12489 Adding 0.2 ml of distilled water will yield a concentration of 500 ug/ml 100 ug 449
Bulk quote request
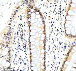
Immunohistochemical staining of ERCC5 using anti-ERCC5 antibody. ERCC5 was detected in a paraffin-embedded section of human colon cancer tissue. Heat mediated antigen retrieval was performed in EDTA buffer (pH 8.0, epitope retrieval solution). The tissue section was blocked with 10% goat serum. The tissue section was then incubated with 2 ug/ml rabbit anti-ERCC5 antibody overnight at 4oC. Peroxidase Conjugated Goat Anti-rabbit IgG was used as secondary antibody and incubated for 30 minutes at 37oC. The tissue section was developed using an HRP secondary and DAB substrate.
Western blot analysis of ERCC5 using anti-ERCC5 antibody. Electrophoresis was performed on a 8% SDS-PAGE gel at 80V (Stacking gel) / 120V (Resolving gel) for 2 hours. Lane 1: human THP-1 whole cell lysates, Lane 2: human whole cell lysates, Lane 3: human Hela whole cell lysates, Lane 4: human K562 whole cell lysates, Lane 5: rat C6 tissue lysates, Lane 6: mouse brain tissue lysates, Lane 7: mouse Neuro-2a tissue lysates. After electrophoresis, proteins were transferred to a nitrocellulose membrane at 150 mA for 50-90 minutes. Blocked the membrane with 5% non-fat milk/TBS for 1.5 hour at RT. The membrane was incubated with rabbit anti-ERCC5 antibody at 0.5 ug/ml overnight at 4oC, then washed with TBS-0.1%Tween 3 times with 5 minutes each and probed with a goat anti-rabbit IgG-HRP secondary antibody at a dilution of 1:5000 for 1.5 hour at RT. The signal was developed using an ECL Plus Western Blotting Substrate. ERCC5/XPG (~133 kDa predicted) was detected as a doublet at ~200 kDa, consistent with its known anomalous migration caused by the large acidic spacer domain and post-translational modification of XPG.
Immunohistochemical staining of ERCC5 using anti-ERCC5 antibody. ERCC5 was detected in a paraffin-embedded section of human colon tissue. Heat mediated antigen retrieval was performed in EDTA buffer (pH 8.0, epitope retrieval solution). The tissue section was blocked with 10% goat serum. The tissue section was then incubated with 2 ug/ml rabbit anti-ERCC5 antibody overnight at 4oC. Peroxidase Conjugated Goat Anti-rabbit IgG was used as secondary antibody and incubated for 30 minutes at 37oC. The tissue section was developed using an HRP secondary and DAB substrate.
Immunofluorescent staining of ERCC5 using anti-ERCC5 antibody (red). ERCC5 was detected in a paraffin-embedded section of human colon cancer tissue. Heat mediated antigen retrieval was performed in EDTA buffer (pH 8.0, epitope retrieval solution). The tissue section was blocked with 10% goat serum. The tissue section was then incubated with 5 ug/ml rabbit anti-ERCC5 antibody overnight at 4oC. Cy3 Conjugated Goat Anti-Rabbit IgG was used as secondary antibody at 1:500 dilution and incubated for 30 minutes at 37oC. The section was counterstained with DAPI nuclear stain (blue). Visualize using a fluorescence microscope and filter sets appropriate for the label used.
Immunofluorescent staining of ERCC5 using anti-ERCC5 antibody (green) and anti-Beta Tubulin antibody (red). ERCC5 was detected in an immunocytochemical section of Hela cells. Enzyme antigen retrieval was performed using IHC enzyme antigen retrieval reagent for 15 mins. The cells were blocked with 10% goat serum. And then incubated with 5 ug/ml rabbit anti-ERCC5 antibody and mouse anti-Beta Tubulin antibody overnight at 4oC. DyLight 488 Conjugated Goat Anti-Rabbit IgG and Cy3 Conjugated Goat Anti-Mouse IgG were used as secondary antibody at 1:500 dilution and incubated for 30 minutes at 37oC. Visualize using a fluorescence microscope and filter sets appropriate for the label used.
Flow Cytometry analysis of K562 cells using anti-ERCC5 antibody. Overlay histogram showing K562 cells stained with (Blue line). To facilitate intracellular staining, cells were fixed with 4% paraformaldehyde and permeabilized with permeabilization buffer. The cells were blocked with 10% normal goat serum. And then incubated with rabbit anti-ERCC5 antibody (1 ug/million cells) for 30 min at 20oC. DyLight 488 conjugated goat anti-rabbit IgG (5-10 ug/million cells) was used as secondary antibody for 30 minutes at 20oC. Isotype control antibody (Green line) was rabbit IgG (1 ug/million cells) used under the same conditions. Unlabelled sample without incubation with primary antibody and secondary antibody (Red line) was used as a blank control.
Availability 1-2 days
Species Reactivity Human, Mouse, Rat
Format Lyophilized
Host Rabbit
Clonality Polyclonal (rabbit origin)
Isotype Rabbit IgG
Purity Immunogen affinity purified
Buffer Each vial contains 4 mg Trehalose, 0.9 mg NaCl, 0.2 mg Na2HPO4.
UniProt P28715
Localization Nuclear
Applications Western Blot : 0.25-0.5ug/ml
Immunohistochemistry : 2-5ug/ml
Immunofluorescence : 5ug/ml
Immunocytochemistry/Immunofluorescence : 5ug/ml
Flow Cytometry : 1-3ug/million cells
ELISA : 0.1-0.5ug/ml
Limitations This ERCC5 antibody is available for research use only.
Review this product on BioCompare and get a $20 Amazon gift card

Description

ERCC5 antibody detects Excision repair cross-complementation group 5 protein, a structure-specific endonuclease essential for nucleotide excision repair (NER). Also known as Xeroderma pigmentosum group G protein (XPG), ERCC5 catalyzes 3' incision at sites of DNA damage, removing bulky lesions such as ultraviolet-induced pyrimidine dimers. The ERCC5 antibody is widely used in DNA repair, cancer, and dermatological research to study genome stability, DNA damage responses, and repair-deficient disorders.

ERCC5 is encoded by the ERCC5 gene located on human chromosome 13q33.1. The protein is approximately 118 kilodaltons in size and belongs to the XPG/RAD2 family of structure-specific nucleases. It contains conserved N- and I-domains forming the catalytic core, as well as C-terminal regions mediating interactions with transcription and repair factors such as TFIIH and PCNA. Through these interactions, ERCC5 coordinates incision with repair synthesis during the NER process.

The ERCC5 antibody typically detects a strong nuclear band near 133 kilodaltons by western blot. Immunofluorescence reveals nuclear localization, often enriched at DNA damage foci following UV or oxidative stress exposure. Functional studies demonstrate that ERCC5 excises damaged DNA downstream of the lesion, allowing DNA polymerases to resynthesize the correct strand. Mutations in ERCC5 cause Xeroderma pigmentosum complementation group G (XP-G) and Cockayne syndrome, conditions characterized by UV hypersensitivity, neurological abnormalities, and premature aging.

Beyond its canonical repair function, ERCC5 also contributes to transcription-coupled repair and RNA polymerase II-mediated gene expression. It participates in DNA replication stress responses and protects replication forks from collapse under genotoxic stress. Dysregulation or reduced expression of ERCC5 has been linked to increased cancer susceptibility, particularly skin, liver, and lung cancers. NSJ Bioreagents offers a validated ERCC5 antibody optimized for western blot, immunohistochemistry, and DNA damage studies, providing researchers with a reliable tool for analyzing DNA repair mechanisms, NER efficiency, and genome protection pathways.

Application Notes

Optimal dilution of the ERCC5 antibody should be determined by the researcher.

Immunogen

E.coli-derived human XPG/ERCC5 recombinant protein (Position: K115-R964) was used as the immunogen for the ERCC5 antibody.

Storage

After reconstitution, the ERCC5 antibody can be stored for up to one month at 4oC. For long-term, aliquot and store at -20oC. Avoid repeated freezing and thawing.

Cross
Bulk Quote Request Form
Name*:
Organization*:
Email*:
Phone Number*:
Catalog No.*:
Comments and Specifics(amount, formulation, etc.)*:
Validation code: Captchapackage Image


Can't read the image? click here to refresh.
    *required field

Your bulk quote request has been submitted successfully!

Please contact us if you have any questions.