• Tel: 858.663.9055
  • SeparatorEmail: info@nsjbio.com
  • Tel: 858.663.9055
  • Email: info@nsjbio.com
Home >> Antibodies >> ERCC2 Antibody / DNA excision repair protein ERCC-2 / XPD

ERCC2 Antibody / DNA excision repair protein ERCC-2 / XPD [clone 25E62] (FY13411)

  Catalog No Formulation Size Price (USD)  
Image FY13411 Rabbit IgG in phosphate buffered saline, pH 7.4, 150mM NaCl, 0.02% sodium azide and 50% glycerol, 0.4-0.5mg/ml BSA 100 ul 449
Microvalidated Recrabbitmono
Bulk quote request
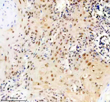
Immunohistochemical staining of FFPE human skin cancer tissue with ERCC2 antibody, HRP-secondary and DAB substrate. HIER: boil tissue sections in pH8 EDTA for 20 min and allow to cool before testing.
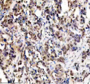
Immunohistochemical staining of FFPE human ovarian cancer tissue with ERCC2 antibody, HRP-secondary and DAB substrate. HIER: boil tissue sections in pH8 EDTA for 20 min and allow to cool before testing.
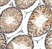
Immunohistochemical staining of FFPE rat testis tissue with ERCC2 antibody, HRP-secondary and DAB substrate. HIER: boil tissue sections in pH8 EDTA for 20 min and allow to cool before testing.
Immunohistochemical staining of FFPE mouse testis tissue with ERCC2 antibody, HRP-secondary and DAB substrate. HIER: boil tissue sections in pH8 EDTA for 20 min and allow to cool before testing.
Western blot analysis of ERCC2 expression in human cell lysates using ERCC2 antibody. A primary band is detected at approximately 73 kDa, corresponding to endogenous ERCC2. Additional higher molecular weight bands between approximately 130-150 kDa are observed, consistent with modified or complex-associated forms of ERCC2.
Availability 1-2 days
Species Reactivity Human, Mouse, Rat
Format Liquid
Host Rabbit
Clonality Recombinant Rabbit Monoclonal
Isotype Rabbit IgG
Clone Name 25E62
Purity Affinity chromatography
Buffer Rabbit IgG in phosphate buffered saline, pH 7.4, 150mM NaCl, 0.02% sodium azide and 50% glycerol, 0.4-0.5mg/ml BSA.
UniProt P18074
Localization Nucleus, Cytoplasm
Applications Western Blot : 1:500-1:2000
Immunohistochemistry : 1:50-1:200
Limitations This ERCC2 antibody is available for research use only.
Review this product on BioCompare and get a $20 Amazon gift card

Related Products

  • Applications : WB, ELISA
    Reactivity : Human

Description

ERCC2 antibody targets DNA excision repair protein ERCC-2 (ERCC2), also widely known as XPD, a DNA helicase that functions as an essential component of the transcription factor IIH (TFIIH) complex. ERCC2 localizes predominantly to the nucleus, where it participates in nucleotide excision repair and transcription initiation. As a helicase, ERCC2 unwinds DNA around sites of damage, enabling recognition and removal of bulky DNA lesions caused by ultraviolet radiation and chemical mutagens. This activity places ERCC2 at the intersection of DNA repair and transcriptional regulation, two processes critical for maintaining genomic stability.

Functionally, ERCC2 plays a central role in the nucleotide excision repair pathway by facilitating local DNA strand separation at damaged sites. Within the TFIIH complex, ERCC2 works in coordination with other helicase and structural subunits to verify DNA damage and recruit downstream repair factors. In addition to its repair function, ERCC2 contributes to transcription initiation by assisting RNA polymerase II in promoter clearance. Through these dual roles, ERCC2 helps ensure that DNA integrity is preserved while allowing regulated gene expression to proceed. An ERCC2 antibody supports studies examining DNA damage responses and transcription-coupled repair mechanisms.

ERCC2 expression and activity are tightly regulated in proliferating and metabolically active cells, reflecting the need for efficient DNA repair during replication and transcription. Changes in ERCC2 abundance or function can influence cellular sensitivity to DNA-damaging agents and alter transcriptional fidelity. Analysis of ERCC2 localization and expression provides insight into how cells coordinate repair and transcription under normal and stress conditions, making ERCC2 a valuable marker for nuclear DNA maintenance pathways.

From a biological and disease-relevance perspective, ERCC2 has been extensively studied in the context of inherited DNA repair disorders and cancer biology. Mutations in ERCC2 are associated with conditions characterized by defective nucleotide excision repair, including xeroderma pigmentosum and related syndromes. In oncology research, ERCC2 status has been linked to cellular responses to DNA-damaging chemotherapy and environmental stress. Understanding ERCC2 expression and regulation therefore contributes to broader investigations of genome stability, mutagen sensitivity, and disease-associated DNA repair defects.

At the molecular level, ERCC2 is encoded by the ERCC2 gene and produces a nuclear protein of approximately 73 kDa. The protein contains conserved helicase motifs required for ATP binding and DNA unwinding activity. ERCC2 function depends on its incorporation into the TFIIH complex and interactions with partner proteins that regulate repair and transcriptional activity. An ERCC2 antibody supports research applications focused on DNA repair pathways, transcriptional regulation, and genomic maintenance, with NSJ Bioreagents providing reagents intended for research use.

Application Notes

Optimal dilution of the ERCC2 antibody should be determined by the researcher.

Immunogen

A synthesized peptide derived from human DNA excision repair protein ERCC-2 was used as the immunogen for the ERCC2 antibody.

Storage

Store the ERCC2 antibody at -20oC.

Cross
Bulk Quote Request Form
Name*:
Organization*:
Email*:
Phone Number*:
Catalog No.*:
Comments and Specifics(amount, formulation, etc.)*:
Validation code: Captchapackage Image


Can't read the image? click here to refresh.
    *required field

Your bulk quote request has been submitted successfully!

Please contact us if you have any questions.