• Tel: 858.663.9055
  • SeparatorEmail: info@nsjbio.com
  • Tel: 858.663.9055
  • Email: info@nsjbio.com
Home >> Antibodies >> ERCC1 Antibody / Tissue Expression Antibody

ERCC1 Antibody / Tissue Expression Antibody [clone ERCC1/7597] (V4635)

  Catalog No Formulation Size Price (USD)  
Image V4635-100UG 0.2 mg/ml in 1X PBS with 0.1 mg/ml BSA (US sourced), 0.05% sodium azide 100 ug 559
Image
V4635-20UG 0.2 mg/ml in 1X PBS with 0.1 mg/ml BSA (US sourced), 0.05% sodium azide 20 ug 259
Image
V4635SAF-100UG 1 mg/ml in 1X PBS; BSA free, sodium azide free 100 ug 559
Bulk quote request
ERCC1 Antibody Tissue WB. Western blot analysis of human brain, pancreas, and spleen tissue lysates using ERCC1 Antibody (clone ERCC1/7597) detects a band at approximately 35-40 kDa, consistent with the predicted molecular weight of ERCC1, with comparable expression observed across tissues, supporting its broad distribution pattern in normal human tissues.
SDS-PAGE analysis of purified, BSA-free ERCC1 antibody (clone ERCC1/7597) as confirmation of integrity and purity.
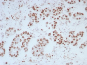
ERCC1 Antibody Bladder Tissue IHC. Immunohistochemistry analysis of FFPE human bladder tissue stained with ERCC1 Antibody (clone ERCC1/7597) demonstrates strong HRP-DAB brown nuclear staining in epithelial cells, consistent with ERCC1 involvement in DNA repair processes and its distribution across tissue compartments, while surrounding stromal cells show lower background; antigen retrieval was performed in pH 9 Tris-EDTA buffer.
Availability 1-3 business days
Species Reactivity Human
Format Purified
Host Mouse
Clonality Monoclonal (mouse origin)
Isotype Mouse IgG1, kappa
Clone Name ERCC1/7597
Purity Protein A/G affinity
UniProt P07992
Localization Nucleus
Applications Immunohistochemistry (FFPE) : 1-2ug/ml for 30 min at RT
Western Blot : 2-4ug/ml
Limitations This ERCC1 Antibody / Tissue Expression Antibody is available for research use only.
Review this product on BioCompare and get a $20 Amazon gift card

Related Products

Description

Excision repair cross-complementation group 1 (ERCC1) is a nuclear DNA repair protein that plays an essential role in the nucleotide excision repair pathway, where it facilitates removal of DNA lesions caused by environmental and endogenous damage. The ERCC1 antibody detects expression of this protein across multiple tissue types, enabling evaluation of DNA repair activity in both normal and diseased states.

ERCC1 functions as part of a heterodimeric complex with XPF, forming a structure-specific endonuclease that cleaves DNA at sites of damage. This activity is critical for excision of damaged nucleotides and subsequent repair synthesis. In addition to nucleotide excision repair, ERCC1 contributes to interstrand crosslink repair and maintenance of genomic stability, supporting cellular survival under conditions of DNA stress.

Expression of ERCC1 is widely distributed across human tissues, with nuclear localization reflecting its role in DNA repair processes. Tissue-specific differences in expression levels may be observed, depending on cellular proliferation rate, exposure to DNA-damaging agents, and metabolic activity. Immunohistochemical analysis typically reveals nuclear staining in epithelial cells, consistent with active DNA repair mechanisms.

In cancer research, ERCC1 expression is frequently evaluated in tumor tissues due to its association with DNA repair capacity and therapeutic response. Variations in ERCC1 levels have been linked to differences in sensitivity to DNA-damaging chemotherapy agents, making it an important marker for studies of tumor biology and treatment resistance.

Western blot analysis further supports detection of ERCC1 across tissue lysates, where a band corresponding to the expected molecular weight is observed. This allows comparison of expression levels between tissues and experimental conditions, complementing findings from immunohistochemistry.

The ERCC1/7597 clone supports analysis of tissue distribution and relative expression patterns, making it suitable for studies focused on DNA repair activity across different biological contexts. Detection of ERCC1 expression contributes to understanding of genomic stability, cellular stress responses, and tumor heterogeneity.

For broader detection of ERCC1 as a DNA repair marker, see our ERCC1 antibody.

Application Notes

Optimal dilution of the ERCC1 Antibody / Tissue Expression Antibody should be determined by the researcher.

Immunogen

A recombinant partial protein sequence (within amino acids 191-281) from the human protein was used as the immunogen for the ERCC1 antibody.

Storage

Aliquot the ERCC1 antibody and store frozen at -20oC or colder. Avoid repeated freeze-thaw cycles.

Alternate Names

ERCC1 antibody, ERCC1 tissue expression antibody, DNA repair protein ERCC1 antibody, ERCC1 nuclear staining antibody

Cross
Bulk Quote Request Form
Name*:
Organization*:
Email*:
Phone Number*:
Catalog No.*:
Comments and Specifics(amount, formulation, etc.)*:
Validation code: Captchapackage Image


Can't read the image? click here to refresh.
    *required field

Your bulk quote request has been submitted successfully!

Please contact us if you have any questions.