• Tel: 858.663.9055
  • SeparatorEmail: info@nsjbio.com
  • Tel: 858.663.9055
  • Email: info@nsjbio.com
Home >> Antibodies >> ERC1 Antibody / ELKS/RAB6-interacting/CAST family member 1

ERC1 Antibody / ELKS/RAB6-interacting/CAST family member 1 (FY12024)

  Catalog No Formulation Size Price (USD)  
Image FY12024 Adding 0.2 ml of distilled water will yield a concentration of 500 ug/ml 100 ug 449
Bulk quote request
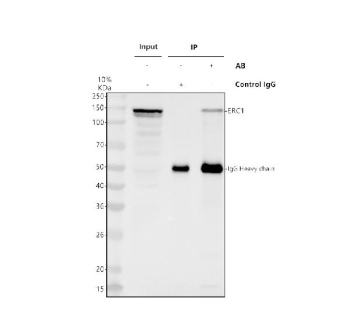
Immunoprecipitating ERC1 in Hela whole cell lysate. Western blot analysis of ERC1 using anti-ERC1 antibody. Lane 1: Hela whole cell lysates (30ug), Lane 2: Rabbit control IgG instead of anti-ERC1 antibody in Hela whole cell lysate, Lane 3: anti-ERC1 antibody (2ug) + Hela whole cell lysate (500ug). After electrophoresis, proteins were transferred to a membrane. Then the membrane was incubated with rabbit anti-ERC1 antibody at a dilution of 0.5 ug/ml and probed with a goat anti-rabbit IgG-HRP secondary antibody. The signal is developed using ECL Plus Western Blotting Substrate. The expected band size for ERC1 is at 128 kDa.
Western blot analysis of ERC1 using anti-ERC1 antibody. Electrophoresis was performed on a 8% SDS-PAGE gel at 80V (Stacking gel) / 120V (Resolving gel) for 2 hours. Lane 1: human Hela whole cell lysates, Lane 2: human Jurkat whole cell lysates Lane 3: rat brain tissue lysates, Lane 4: mouse testis tissue lysates, Lane 5: mouse NIH/3T3 tissue lysates. After electrophoresis, proteins were transferred to a nitrocellulose membrane at 150 mA for 50-90 minutes. Blocked the membrane with 5% non-fat milk/TBS for 1.5 hour at RT. The membrane was incubated with rabbit anti-ERC1 antibody at 0.5 ug/ml overnight at 4oC, then washed with TBS-0.1%Tween 3 times with 5 minutes each and probed with a goat anti-rabbit IgG-HRP secondary antibody at a dilution of 1:5000 for 1.5 hour at RT. The signal was developed using an ECL Plus Western Blotting Substrate. The expected band size for ERC1 is at 128 kDa.
Flow Cytometry analysis of Jurkat cells using anti-ERC1 antibody. Overlay histogram showing Jurkat cells stained with (Blue line). To facilitate intracellular staining, cells were fixed with 4% paraformaldehyde and permeabilized with permeabilization buffer. The cells were blocked with 10% normal goat serum. And then incubated with rabbit anti-ERC1 antibody (1 ug/million cells) for 30 min at 20oC. DyLight 488 conjugated goat anti-rabbit IgG (5-10 ug/million cells) was used as secondary antibody for 30 minutes at 20oC. Isotype control antibody (Green line) was rabbit IgG (1 ug/million cells) used under the same conditions. Unlabelled sample without incubation with primary antibody and secondary antibody (Red line) was used as a blank control.
Immunofluorescent staining of ERC1 using anti-ERC1 antibody (green). ERC1 was detected in an immunocytochemical section of U2OS cells. Enzyme antigen retrieval was performed using IHC enzyme antigen retrieval reagent for 15 mins. The cells were blocked with 10% goat serum. And then incubated with 5 ug/ml rabbit anti-ERC1 antibody overnight at 4oC. DyLight 488 Conjugated Goat Anti-Rabbit IgG was used as secondary antibody at 1:500 dilution and incubated for 30 minutes at 37oC. The section was counterstained with DAPI (blue). Visualize using a fluorescence microscope and filter sets appropriate for the label used.
Availability 1-2 days
Species Reactivity Human, Mouse, Rat
Format Lyophilized
Host Rabbit
Clonality Polyclonal (rabbit origin)
Isotype Rabbit IgG
Purity Immunogen affinity purified
Buffer Each vial contains 4 mg Trehalose, 0.9 mg NaCl, 0.2 mg Na2HPO4.
UniProt Q8IUD2
Localization Cytoplasm
Applications Western Blot : 0.25-0.5ug/ml
Immunocytochemistry/Immunofluorescence : 5ug/ml
Immunoprecipitation : 2-4ug/500ug of lysate
Flow Cytometry : 1-3ug/million cells
ELISA : 0.1-0.5ug/ml
Limitations This ERC1 antibody is available for research use only.
Review this product on BioCompare and get a $20 Amazon gift card

Related Products

  • Applications : WB, ELISA (peptide)
    Reactivity : Human
    Pred. Reactivity : Cow, Dog, Mouse, Rat

Description

ERC1 antibody detects ELKS/RAB6-interacting/CAST family member 1, encoded by the ERC1 gene. ERC1 is a scaffolding protein localized at presynaptic active zones, where it organizes signaling complexes and regulates neurotransmitter release. ERC1 antibody provides researchers with a useful reagent to study synaptic transmission, active zone assembly, and neuronal signaling.

ERC1 contains coiled-coil domains that mediate interactions with multiple active zone proteins, including RIM, Munc13, and Bassoon. Research using ERC1 antibody has shown that it anchors voltage-gated calcium channels and synaptic vesicle machinery at release sites. This organization ensures efficient neurotransmitter release in response to action potentials. Without ERC1, active zones are structurally disorganized, impairing synaptic transmission.

Studies with ERC1 antibody have demonstrated that it also participates in vesicle trafficking. ERC1 interacts with Rab6 and regulates transport of vesicle precursors to synaptic terminals. This trafficking function integrates with its scaffolding role, ensuring proper delivery and assembly of presynaptic components. These findings highlight ERC1 as a central organizer of synaptic release machinery.

Dysregulation of ERC1 has been associated with neurological disease. Research using ERC1 antibody has linked altered expression to autism spectrum disorders, epilepsy, and schizophrenia. By disrupting active zone architecture, mutations or expression changes in ERC1 impair synaptic connectivity and neuronal communication. ERC1 fusions with other genes have also been identified in cancers, linking synaptic scaffolding proteins to oncogenesis.

ERC1 antibody is commonly used in western blotting, immunohistochemistry, and immunofluorescence. Western blotting quantifies ERC1 expression in neuronal and non-neuronal tissues, immunohistochemistry identifies localization in brain tissue, and immunofluorescence highlights colocalization with active zone proteins. These applications make ERC1 antibody valuable in neuroscience and disease research.

By supplying validated ERC1 antibody reagents, NSJ Bioreagents supports studies into synaptic organization, neurotransmitter release, and disease. Detection of ELKS/RAB6-interacting/CAST family member 1 provides researchers with insight into how scaffolding proteins regulate synaptic architecture.

Application Notes

Optimal dilution of the ERC1 antibody should be determined by the researcher.

Immunogen

E.coli-derived human ERC1 recombinant protein (Position: H721-S1116) was used as the immunogen for the ERC1 antibody.

Storage

After reconstitution, the ERC1 antibody can be stored for up to one month at 4oC. For long-term, aliquot and store at -20oC. Avoid repeated freezing and thawing.

Cross
Bulk Quote Request Form
Name*:
Organization*:
Email*:
Phone Number*:
Catalog No.*:
Comments and Specifics(amount, formulation, etc.)*:
Validation code: Captchapackage Image


Can't read the image? click here to refresh.
    *required field

Your bulk quote request has been submitted successfully!

Please contact us if you have any questions.