• Tel: 858.663.9055
  • SeparatorEmail: info@nsjbio.com
  • Tel: 858.663.9055
  • Email: info@nsjbio.com
Home >> Antibodies >> ERBB4 Antibody / HER4

ERBB4 Antibody / HER4 (RQ4013)

  Catalog No Formulation Size Price (USD)  
Image RQ4013 0.5mg/ml if reconstituted with 0.2ml sterile DI water 100 ug 449
Bulk quote request
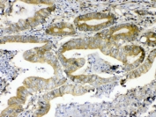
ERBB4 Antibody Breast Cancer IHC. Immunohistochemistry of ERBB4 antibody in human breast cancer tissue. FFPE human breast carcinoma sections were subjected to heat-induced epitope retrieval by steaming in pH 6 citrate buffer for 20 minutes followed by cooling prior to staining. The ERBB4 antibody was applied at 1 ug/ml as the detecting antibody. HRP-DAB brown staining is observed predominantly along the membranous borders and within the cytoplasm of malignant glandular epithelial cells, while surrounding stromal elements exhibit lower background staining. The staining pattern is consistent with HER4 expression in breast carcinoma tissue.
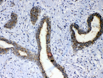
ERBB4 Antibody Colon Cancer IHC. Immunohistochemistry testing of FFPE human colon cancer tissue with ERBB4 antibody at 1ug/ml. Required HIER: steam section in pH6 citrate buffer for 20 min and allow to cool prior to testing.
ERBB4 Antibody Mouse Brain IHC. Immunohistochemistry testing of FFPE mouse brain tissue with ERBB4 antibody at 1ug/ml. Required HIER: steam section in pH6 citrate buffer for 20 min and allow to cool prior to testing.
ERBB4 Antibody Rat Brain IHC. Immunohistochemistry testing of FFPE rat brain tissue with ERBB4 antibody at 1ug/ml. Required HIER: steam section in pH6 citrate buffer for 20 min and allow to cool prior to testing.
ERBB4 Antibody Human Mouse Rat WB. Western blot testing of 1) human PANC-1, 2) human placenta, 3) rat kidney and 4) mouse kidney lysate with ERBB4 antibody at 0.5ug/ml. Predicted molecular weight: 147-180 kDa (precursor), 120, 80 kDa (cleaved forms).
Availability 1-3 business days
Species Reactivity Human, Mouse, Rat
Format Antigen affinity purified
Host Rabbit
Clonality Polyclonal (rabbit origin)
Isotype Rabbit IgG
Purity Antigen affinity purified
Buffer Lyophilized from 1X PBS with 2% Trehalose and 0.025% sodium azide
UniProt Q15303
Localization Cytoplasmic, nuclear
Applications Western Blot : 0.5-1ug/ml
Immunohistochemistry (FFPE) : 1-2ug/ml
Limitations This ERBB4 antibody is available for research use only.
Review this product on BioCompare and get a $20 Amazon gift card

Related Products

Description

ERBB4 antibody recognizes Erb-B2 receptor tyrosine kinase 4, commonly known as HER4, a member of the epidermal growth factor receptor family of receptor tyrosine kinases. ERBB4 antibody, also referred to as HER4 antibody and ErbB4 antibody in the literature, detects a transmembrane receptor involved in growth factor-mediated signaling, cellular differentiation, and survival regulation. ERBB4 functions as a ligand-activated receptor that contributes to both developmental processes and tumor-associated signaling pathways.

HER4 belongs to the ERBB receptor family, which includes EGFR, HER2, and HER3. Upon binding to ligands such as neuregulins and other EGF-like growth factors, HER4 undergoes receptor dimerization and autophosphorylation, initiating downstream signaling cascades including PI3K-AKT, MAPK, and JAK-STAT pathways. These pathways regulate proliferation, differentiation, apoptosis, and transcriptional activity across multiple tissue types. A distinguishing feature of HER4 is its ability to undergo regulated intramembrane proteolysis, releasing an intracellular domain that can translocate to the nucleus and influence gene expression.

The ERBB4 gene is located on chromosome 2q34 and produces multiple isoforms through alternative splicing. These isoforms differ in their cytoplasmic tail composition and signaling capacity, contributing to context-dependent biological effects. HER4 expression has been documented in mammary epithelium, neural tissue, cardiac muscle, and other epithelial tissues, where it plays roles in development and tissue homeostasis.

Dysregulation of ERBB4 signaling has been implicated in breast cancer, ovarian carcinoma, and additional malignancies. Depending on isoform distribution and cellular environment, HER4 has been associated with both differentiation-promoting and tumor-modulating functions. Evaluation of ERBB4 expression is therefore relevant in studies of receptor tyrosine kinase biology and cancer-associated signaling networks.

ERBB4 antibody is suitable for research applications focused on HER4 signaling, ERBB pathway analysis, and molecular investigation of receptor tyrosine kinase-mediated growth regulation.

For detection of total HER4 expression, see our HER4 antibody page.

Application Notes

Optimal dilution of the ERBB4 antibody should be determined by the researcher.

Immunogen

Amino acids SLSDLEQQYRALRKYYENCEVVMGNLEITSIEHNRDLSFLR from the human protein were used as the immunogen for the ERBB4 antibody.

Storage

After reconstitution, the ERBB4 antibody can be stored for up to one month at 4oC. For long-term, aliquot and store at -20oC. Avoid repeated freezing and thawing.

Cross
Bulk Quote Request Form
Name*:
Organization*:
Email*:
Phone Number*:
Catalog No.*:
Comments and Specifics(amount, formulation, etc.)*:
Validation code: Captchapackage Image


Can't read the image? click here to refresh.
    *required field

Your bulk quote request has been submitted successfully!

Please contact us if you have any questions.