• Tel: 858.663.9055
  • SeparatorEmail: info@nsjbio.com
  • Tel: 858.663.9055
  • Email: info@nsjbio.com
Home >> Antibodies >> ERAP2 Antibody

ERAP2 Antibody (RQ6481)

  Catalog No Formulation Size Price (USD)  
Image RQ6481 0.5mg/ml if reconstituted with 0.2ml sterile DI water 100 ug 449
Bulk quote request
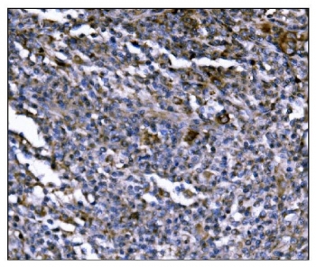
IHC staining of FFPE human lymphoma tissue with ERAP2 antibody. HIER: boil tissue sections in pH8 EDTA for 20 min and allow to cool before testing.
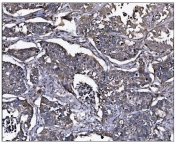
IHC staining of FFPE human lung cancer tissue with ERAP2 antibody. HIER: boil tissue sections in pH8 EDTA for 20 min and allow to cool before testing.
Western blot testing of human 1) Jurkat and 2) Caco-2 cell lysate with ERAP2 antibody. Predicted molecular weight ~110 kDa.
Flow cytometry testing of human HL60 cells with ERAP2 antibody at 1ug/million cells (blocked with goat sera); Red=cells alone, Green=isotype control, Blue= ERAP2 antibody.
Availability 1-3 business days
Species Reactivity Human
Format Antigen affinity purified
Host Rabbit
Clonality Polyclonal (rabbit origin)
Isotype Rabbit IgG
Purity Affinity purified
Buffer Lyophilized from 1X PBS with 2% Trehalose
UniProt Q6P179
Applications Western Blot : 1-2ug/ml
Immunohistochemistry (FFPE) : 2-5ug/ml
Flow Cytometry : 1-3ug/million cells
Direct ELISA : 0.1-0.5ug/ml
Limitations This ERAP2 antibody is available for research use only.
Review this product on BioCompare and get a $20 Amazon gift card

Description

Endoplasmic reticulum aminopeptidase 2 is a protein that in humans is encoded by the ERAP2 gene. This gene encodes a zinc metalloaminopeptidase of the M1 protease family that resides in the endoplasmic reticulum and functions in N-terminal trimming antigenic epitopes for presentation by major histocompatibility complex (MHC) class I molecules. Certain mutations in this gene are associated with the inflammatory arthritis syndrome ankylosing spondylitis and pre-eclampsia. This gene is located adjacent to a closely related aminopeptidase gene on chromosome 5.

Application Notes

Optimal dilution of the ERAP2 antibody should be determined by the researcher.

Immunogen

An E. coli-derived human protein (amino acids K13-T960) was used as the immunogen for the ERAP2 antibody.

Storage

After reconstitution, the ERAP2 antibody can be stored for up to one month at 4oC. For long-term, aliquot and store at -20oC. Avoid repeated freezing and thawing.

Cross
Bulk Quote Request Form
Name*:
Organization*:
Email*:
Phone Number*:
Catalog No.*:
Comments and Specifics(amount, formulation, etc.)*:
Validation code: Captchapackage Image


Can't read the image? click here to refresh.
    *required field

Your bulk quote request has been submitted successfully!

Please contact us if you have any questions.