• Tel: 858.663.9055
  • SeparatorEmail: info@nsjbio.com
  • Tel: 858.663.9055
  • Email: info@nsjbio.com
Home >> Antibodies >> ER beta Antibody / Estrogen receptor beta

ER beta Antibody / Estrogen receptor beta [clone ESR2/9710] (V5882)

  Catalog No Formulation Size Price (USD)  
Image V5882-100UG 0.2 mg/ml in 1X PBS with 0.05% BSA, 0.05% sodium azide 100 ug 559
Image
V5882-20UG 0.2 mg/ml in 1X PBS with 0.05% BSA, 0.05% sodium azide 20 ug 259
Image
V5882SAF-100UG 1 mg/ml in 1X PBS; BSA free, sodium azide free 100 ug 559
Bulk quote request
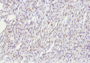
ER beta Antibody Breast Carcinoma IHC. Immunohistochemistry analysis of Estrogen receptor beta 2 in human breast carcinoma. Formalin-fixed, paraffin-embedded human breast carcinoma tissue was stained with ER beta/Estrogen receptor beta antibody (clone ESR2/9710), showing nuclear staining in tumor epithelial cells, with surrounding stromal cells largely negative. Hematoxylin was used as a nuclear counterstain. Inset shows a negative control section processed with PBS instead of the primary antibody, followed by secondary antibody only. Staining of formalin-fixed tissues required heating tissue sections in 10mM Tris with 1mM EDTA, pH 9.0, for 45 min at 95oC followed by cooling at room temperature.
ER beta Antibody Ovary IHC. Immunohistochemistry analysis of Estrogen receptor beta 2 in human ovary tissue. Formalin-fixed, paraffin-embedded human ovary tissue was stained with ER beta/Estrogen receptor beta antibody (clone ESR2/9710), showing nuclear staining in ovarian stromal and follicular-associated cells. Hematoxylin was used as a nuclear counterstain. Staining of formalin-fixed tissues required heating tissue sections in 10mM Tris with 1mM EDTA, pH 9.0, for 45 min at 95oC followed by cooling at room temperature.
SDS-PAGE Analysis of purified ER beta/Estrogen receptor beta antibody (clone ESR2/9710). Confirmation of Purity and Integrity of Antibody.
Species Reactivity Human
Format Purified
Host Mouse
Clonality Monoclonal (mouse origin)
Isotype Mouse IgG1, kappa
Clone Name ESR2/9710
UniProt Q92731
Localization Nucleus
Applications Immunohistochemistry (FFPE) : 1-2ug/ml
Limitations This ER beta/Estrogen receptor beta antibody is available for research use only.
Review this product on BioCompare and get a $20 Amazon gift card

Related Products

Description

ER beta antibody targets Estrogen receptor beta, a nuclear hormone receptor encoded by the ESR2 gene and also referred to as Estrogen receptor 2 and ER beta in the literature. Estrogen receptor beta belongs to the steroid hormone receptor superfamily and functions as a ligand-activated transcriptional regulator that mediates cellular responses to estrogen signaling. In contrast to Estrogen receptor alpha, ER beta often exerts modulatory and context-dependent effects on gene expression, contributing to balanced estrogen-responsive transcriptional programs.

Estrogen receptor beta is predominantly localized to the nucleus, where ER beta binds estrogen response elements and interacts with transcriptional co-regulators to influence transcriptional output. In addition to direct DNA binding, Estrogen receptor beta can modulate transcription indirectly through cooperation with other transcription factors, allowing fine-tuning of estrogen-dependent gene regulation. ER beta antibody detection is therefore useful for studying nuclear receptor signaling dynamics and transcriptional control mechanisms.

Expression of Estrogen receptor beta is observed across a broad range of tissues, including ovary, breast, prostate, lung, colon, and immune-associated tissues. ER beta activity has been linked to regulation of cellular differentiation, growth restraint, immune modulation, and tissue homeostasis. In many biological contexts, Estrogen receptor beta signaling counterbalances Estrogen receptor alpha-driven transcription, highlighting its role in maintaining estrogen signaling equilibrium.

Altered expression or regulatory activity of Estrogen receptor beta has been associated with disease-related changes in hormone responsiveness. Dysregulation of ER beta-mediated transcriptional programs can contribute to abnormal cellular behavior, including altered proliferation and differentiation. Studying Estrogen receptor 2 at the level of ER beta-specific regulation provides insight into estrogen signaling pathways that extend beyond classical Estrogen receptor alpha biology.

Clone ESR2/9710 is designed to recognize Estrogen receptor beta in research applications. ER beta antibody reagents are suitable for detecting nuclear Estrogen receptor beta expression and supporting studies focused on estrogen signaling balance, transcriptional regulation, and hormone-responsive gene expression control.

For comprehensive detection of Estrogen receptor beta across hormone signaling and tumor biology studies, see our Estrogen Receptor beta antibody (clone ERb455).

Application Notes

Optimal dilution of the ER beta/Estrogen receptor beta antibody should be determined by the researcher.

Immunogen

A recombinant fragment (around amino acids 1-200) of human ESR2 protein (exact sequence is proprietary) was used as the immunogen for the ER beta/Estrogen receptor beta antibody.

Storage

ER beta/Estrogen receptor beta antibody with sodium azide - store at 2 to 8oC; antibody without sodium azide - store at -20 to -80oC.

Cross
Bulk Quote Request Form
Name*:
Organization*:
Email*:
Phone Number*:
Catalog No.*:
Comments and Specifics(amount, formulation, etc.)*:
Validation code: Captchapackage Image


Can't read the image? click here to refresh.
    *required field

Your bulk quote request has been submitted successfully!

Please contact us if you have any questions.