• Tel: 858.663.9055
  • SeparatorEmail: info@nsjbio.com
  • Tel: 858.663.9055
  • Email: info@nsjbio.com
Home >> Antibodies >> ER Antibody Clone ER506 / Estrogen Receptor alpha

ER Antibody Clone ER506 / Estrogen Receptor alpha [clone ER506] (V2113)

  Catalog No Formulation Size Price (USD)  
Image V2113-100UG 0.2 mg/ml in 1X PBS with 0.1 mg/ml BSA (US sourced) and 0.05% sodium azide 100 ug 559
Image
V2113-20UG 0.2 mg/ml in 1X PBS with 0.1 mg/ml BSA (US sourced) and 0.05% sodium azide 20 ug 259
Image
V2113SAF-100UG 1 mg/ml in 1X PBS; BSA free, sodium azide free 100 ug 559
Bulk quote request
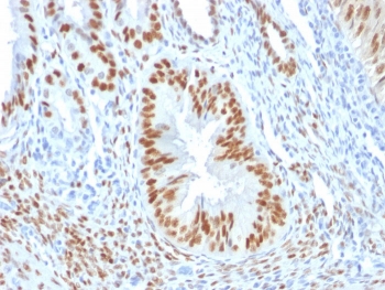
ER Antibody Clone ER506 Endometrium IHC. Immunohistochemistry of ER Antibody in human endometrium. Formalin-fixed, paraffin-embedded human endometrial tissue shows strong nuclear HRP-DAB brown staining in glandular epithelial cells and stromal cells, consistent with Estrogen Receptor expression, while surrounding non-epithelial elements show reduced staining intensity. Staining was performed using clone ER506 following heat-induced epitope retrieval according to standard protocols. The nuclear staining pattern aligns with expected Estrogen Receptor alpha / ESR1 localization in hormonally responsive endometrial tissue.
ER Antibody Clone ER506 FACS. Intracellular FACS testing of human MCF-7 cells: Black=cells alone; Green=isotype control; Red= PE conjugated ER antibody (V2113PE)
ER Antibody Clone ER506 WB. Western blot testing of MCF-7 cell lysate with ER antibody (clone ER506). Predicted molecular weight of ER alpha: ~67 kDa.
ER Antibody Clone ER506 Microarray Specificity Validation. Analysis of HuProt(TM) microarray containing more than 19,000 full-length human proteins using ER antibody (clone ER506). These results demonstrate the foremost specificity of the ER506 mAb.
Z- and S- score: The Z-score represents the strength of a signal that an antibody (in combination with a fluorescently-tagged anti-IgG secondary Ab) produces when binding to a particular protein on the HuProt(TM) array. Z-scores are described in units of standard deviations (SD's) above the mean value of all signals generated on that array. If the targets on the HuProt(TM) are arranged in descending order of the Z-score, the S-score is the difference (also in units of SD's) between the Z-scores. The S-score therefore represents the relative target specificity of an Ab to its intended target.
SDS-PAGE analysis of purified, BSA-free ER antibody (clone ER506) as confirmation of integrity and purity.
ER Antibody Clone ER506 IF. Immunofluorescent staining of methanol-fixed human MCF7 cells with ER antibody (clone ER506, green) and Reddot nuclear stain (red).
ER Antibody Clone ER506 T47D WB. Western blot analysis of human T47D cell lysate using ER antibody (clone ER506) detects a band at approximately 65-70 kDa, consistent with the predicted molecular weight of Estrogen receptor alpha (ESR1), a nuclear hormone receptor expressed in hormone-responsive breast cancer cells.
Species Reactivity Human
Format Purified
Host Mouse
Clonality Monoclonal (mouse origin)
Isotype Mouse IgG1, kappa
Clone Name ER506
Purity Protein G affinity chromatography
Gene ID 2099
Localization Intracellular, Nuclear
Applications Flow Cytometry : 1-2ug/10^6 cells
Western Blot : 2-4ug/ml
Immunohistochemistry (FFPE) : 1-2ug/ml (1)
Immunofluorescence : 1-3ug/ml
Limitations This ER Antibody Clone ER506 is available for research use only.
Review this product on BioCompare and get a $20 Amazon gift card

Related Products

Description

ER Antibody Clone ER506 recognizes Estrogen Receptor alpha, a ligand-activated nuclear transcription factor encoded by the ESR1 gene on chromosome 6q25.1. Estrogen Receptor alpha, commonly referred to as ER alpha or ESR1, is a member of the nuclear receptor superfamily that regulates gene expression in response to estrogen signaling. ER Antibody Clone ER506 has been widely utilized in peer-reviewed scientific literature, making this clone a well-established reagent for studies involving hormone receptor biology and estrogen-dependent signaling pathways.

Estrogen Receptor alpha contains a conserved DNA-binding domain with zinc finger motifs, a ligand-binding domain responsible for estrogen interaction, and activation function domains that coordinate transcriptional regulation. Upon ligand binding, ESR1 undergoes conformational changes that promote receptor dimerization and nuclear localization. The activated receptor binds estrogen response elements within promoter regions of target genes and recruits transcriptional coactivators or corepressors, thereby regulating genes that control cellular proliferation, differentiation, and survival.

Expression of ER alpha is most prominent in breast epithelium, endometrium, ovary, and additional hormone-responsive tissues. In oncology research, ESR1 expression status serves as a critical biomarker in breast carcinoma and other estrogen-dependent malignancies. Alterations in ESR1 signaling, including amplification, splice variants, or activating mutations, can influence tumor growth behavior and endocrine responsiveness. Beyond oncology, ER alpha also contributes to bone density regulation, cardiovascular physiology, and neuroendocrine function.

ER Antibody clone ER506 has been referenced across numerous independent studies, supporting its established presence in the research community. The clone-specific differentiation provides investigators with a reagent that has demonstrated broad utility in published experimental contexts. By targeting Estrogen Receptor alpha protein, this antibody supports research focused on estrogen-driven transcriptional programs and hormone-dependent disease mechanisms.

For comprehensive detection of Estrogen receptor alpha across hormone signaling and breast cancer studies, see our Estrogen Receptor alpha antibody (clone ESR1/3557).

Application Notes

Variations in protocols, secondaries and substrates may require the ER antibody to be titered for optimal performance.

1. FFPE testing requires boiling tissue sections in pH 9 10mM Tris with 1mM EDTA for 10-20 min and cooling at RT for 20 minutes.

Immunogen

Recombinant human ER alpha protein (aa 2-185) was used as the immunogen.

Storage

Store the ER antibody at 2-8oC (with azide) or aliquot and store at -20oC or colder (without azide).

Cross
Bulk Quote Request Form
Name*:
Organization*:
Email*:
Phone Number*:
Catalog No.*:
Comments and Specifics(amount, formulation, etc.)*:
Validation code: Captchapackage Image


Can't read the image? click here to refresh.
    *required field

Your bulk quote request has been submitted successfully!

Please contact us if you have any questions.