• Tel: 858.663.9055
  • SeparatorEmail: info@nsjbio.com
  • Tel: 858.663.9055
  • Email: info@nsjbio.com
Home >> Antibodies >> ER-A Antibody Recombinant Rabbit MAb / Estrogen Receptor alpha

ER-A Antibody Recombinant Rabbit MAb / Estrogen Receptor alpha [clone ESR1/8407R] (V5192)

  Catalog No Formulation Size Price (USD)  
Image V5192-100UG 0.2 mg/ml in 1X PBS with 0.1 mg/ml BSA (US sourced), 0.05% sodium azide 100 ug 559
Image
V5192-20UG 0.2 mg/ml in 1X PBS with 0.1 mg/ml BSA (US sourced), 0.05% sodium azide 20 ug 259
Image
V5192SAF-100UG 1 mg/ml in 1X PBS; BSA free, sodium azide free 100 ug 559
Microvalidated Recrabbitmono
Bulk quote request
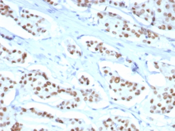
Immunohistochemistry of ER-A Antibody Recombinant Rabbit MAb in human breast carcinoma. Formalin-fixed, paraffin-embedded human breast carcinoma tissue shows strong nuclear HRP-DAB brown staining in tumor epithelial cells, while surrounding stromal elements are largely negative. Staining was performed using clone ESR1/8407R following heat-induced epitope retrieval by boiling tissue sections in pH 9 10 mM Tris buffer with 1 mM EDTA for 20 min and cooling prior to incubation. The nuclear staining pattern is consistent with expected Estrogen Receptor alpha / ESR1 expression in hormone receptor-positive breast carcinoma cells.
SDS-PAGE analysis of purified, BSA-free ER-A antibody (clone ESR1/8407R) as confirmation of integrity and purity.
Availability 1-3 business days
Species Reactivity Human
Format Purified
Host Rabbit
Clonality Recombinant Rabbit Monoclonal
Isotype Rabbit IgG, kappa
Clone Name ESR1/8407R
Purity Protein A/G affinity
UniProt P03372
Localization Nucleus
Applications Immunohistochemistry (FFPE) : 1-2ug/ml for 30 min at RT
Limitations This ER-A antibody is available for research use only.
Review this product on BioCompare and get a $20 Amazon gift card

Related Products

Description

ER-A Antibody Recombinant Rabbit MAb ESR1/8407R recognizes Estrogen Receptor alpha, a ligand-activated nuclear hormone receptor encoded by the ESR1 gene on chromosome 6q25.1. Estrogen Receptor alpha, commonly referred to as ER alpha or ER-A in the literature, is a member of the nuclear receptor superfamily and functions as a transcription factor regulating genes involved in cell proliferation, differentiation, and hormone-responsive signaling pathways. This recombinant rabbit monoclonal antibody targets ER alpha protein in research applications involving hormone receptor biology.

Estrogen Receptor alpha contains several functional domains, including a DNA-binding domain with zinc finger motifs, a ligand-binding domain, and activation function regions that coordinate transcriptional regulation. Upon binding estrogen, ESR1 undergoes conformational changes that promote receptor dimerization, nuclear localization, and recruitment of transcriptional coactivators or corepressors. These molecular interactions enable regulation of genes controlling growth, survival, and differentiation in estrogen-responsive tissues.

Expression of ER alpha is most prominent in breast epithelium, endometrium, ovary, and other reproductive tissues. In oncology research, ESR1 expression status is a central biomarker in breast carcinoma and other hormone-dependent malignancies. Alterations in ESR1 signaling, amplification, or mutation can influence tumor growth behavior and endocrine responsiveness. Beyond oncology, ER alpha also participates in bone metabolism, cardiovascular biology, and neuroendocrine regulation.

The recombinant format of clone ESR1/8407R supports consistency between production lots while targeting Estrogen Receptor alpha protein in research settings. ER-A Antibody Recombinant Rabbit MAb ESR1/8407R enables investigation of ESR1 distribution and expression in cellular and tissue-based studies focused on estrogen signaling pathways and hormone-driven disease models.

Application Notes

Optimal dilution of the ER-A antibody should be determined by the researcher.

Immunogen

A recombinant partial protein sequence (within amino acids 495-595) from the human protein was used as the immunogen for the ER-A antibody recombinant rabbit mAb ESR1/8407R.

Storage

Aliquot the ER-A antibody and store frozen at -20oC or colder. Avoid repeated freeze-thaw cycles.

Cross
Bulk Quote Request Form
Name*:
Organization*:
Email*:
Phone Number*:
Catalog No.*:
Comments and Specifics(amount, formulation, etc.)*:
Validation code: Captchapackage Image


Can't read the image? click here to refresh.
    *required field

Your bulk quote request has been submitted successfully!

Please contact us if you have any questions.