• Tel: 858.663.9055
  • SeparatorEmail: info@nsjbio.com
  • Tel: 858.663.9055
  • Email: info@nsjbio.com
Home >> Antibodies >> Epstein-Barr virus induced 3 Antibody / EBI3

Epstein-Barr virus induced 3 Antibody / EBI3 [clone EBI3/8906] (V4606)

  Catalog No Formulation Size Price (USD)  
Image V4606-100UG 0.2 mg/ml in 1X PBS with 0.1 mg/ml BSA (US sourced), 0.05% sodium azide 100 ug 559
Image
V4606-20UG 0.2 mg/ml in 1X PBS with 0.1 mg/ml BSA (US sourced), 0.05% sodium azide 20 ug 259
Image
V4606SAF-100UG 1 mg/ml in 1X PBS; BSA free, sodium azide free 100 ug 559
Bulk quote request
Western blot testing of human placental tissue lysate with EBI3 antibody (clone EBI3/8906). Predicted molecular weight ~25 kDa but may be observed at higher molecular weights due to glycosylation.
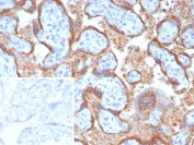
IHC staining of FFPE human placental tissue with Epstein-Barr virus induced 3 antibody (clone EBI3/8906). Inset: PBS used in place of primary Ab (secondary Ab negative control). HIER: boil tissue sections in pH 9 10mM Tris with 1mM EDTA for 20 min and allow to cool before testing.
SDS-PAGE analysis of purified, BSA-free EBI3 antibody (clone EBI3/8906) as confirmation of integrity and purity.
Availability 1-3 business days
Species Reactivity Human
Format Purified
Host Mouse
Clonality Monoclonal (mouse origin)
Isotype Mouse IgG2b, kappa
Clone Name EBI3/8906
Purity Protein A/G affinity
UniProt Q14213
Localization Secreted
Applications ELISA (Order BSA-free Format For Coating) :
Immunohistochemistry (FFPE) : 1-2ug/ml for 30 min at RT
Western Blot : 2-4ug/ml
Limitations This Epstein-Barr virus induced 3 antibody is available for research use only.
Review this product on BioCompare and get a $20 Amazon gift card

Related Products

Description

Epstein-Barr virus-induced gene 3 (Ebi3) is a widely expressed homolog to the interleukin IL-12 p40 subunit protein that forms a heterodimer with either IL-12 p35 or an IL-12 p35 homolog, p28, to create a new cytokine (IL-27). IL-27 is an early product of activated antigen-presenting cells and drives rapid clonal expansion of naive but not memory CD4+ T cells. Interferon-b differentially regulates expression of the IL-12 family members p35, p40, p19 and Ebi3 in activated human dendritic cells. Ebi3 may function to antagonize IL-12 and to inhibit the development of a Th1 immune response. Ebi3 is strongly expressed in Hodgkin and Reed-Sternberg cells, independently of the EBV status of the tumor cells. Research suggests that Ebi3 may be an additional component of the repertoire employed by Hodgkin and Reed-Sternberg cells to inhibit an effective anti-tumor or anti-viral immune response. The human Ebi3 gene maps to chromosome 19p13.3 and encodes a secreted glycoprotein that is expressed in spleen and tonsils, and at high levels in full-term placenta.

Application Notes

Optimal dilution of the Epstein-Barr virus induced 3 antibody should be determined by the researcher.

Immunogen

A recombinant partial protein sequence (within amino acids 366-466) from the human protein was used as the immunogen for the Epstein-Barr virus induced 3 antibody.

Storage

Aliquot the Epstein-Barr virus induced 3 antibody and store frozen at -20oC or colder. Avoid repeated freeze-thaw cycles.

Cross
Bulk Quote Request Form
Name*:
Organization*:
Email*:
Phone Number*:
Catalog No.*:
Comments and Specifics(amount, formulation, etc.)*:
Validation code: Captchapackage Image


Can't read the image? click here to refresh.
    *required field

Your bulk quote request has been submitted successfully!

Please contact us if you have any questions.