• Tel: 858.663.9055
  • SeparatorEmail: info@nsjbio.com
  • Tel: 858.663.9055
  • Email: info@nsjbio.com
Home >> Antibodies >> Epstein-Barr virus induced 3 Antibody / EBI3

Epstein-Barr virus induced 3 Antibody / EBI3 [clone EBI3/8905] (V4605)

  Catalog No Formulation Size Price (USD)  
Image V4605-100UG 0.2 mg/ml in 1X PBS with 0.1 mg/ml BSA (US sourced), 0.05% sodium azide 100 ug 559
Image
V4605-20UG 0.2 mg/ml in 1X PBS with 0.1 mg/ml BSA (US sourced), 0.05% sodium azide 20 ug 259
Image
V4605SAF-100UG 1 mg/ml in 1X PBS; BSA free, sodium azide free 100 ug 559
Bulk quote request
Western blot testing of human placental tissue lysate with Epstein-Barr virus induced 3 antibody (clone EBI3/8905). Predicted molecular weight ~25 kDa but may be observed at higher molecular weights due to glycosylation.
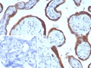
IHC staining of FFPE human placental tissue with Epstein-Barr virus induced 3 antibody (clone EBI3/8905). Inset: PBS used in place of primary Ab (secondary Ab negative control). HIER: boil tissue sections in pH 9 10mM Tris with 1mM EDTA for 20 min and allow to cool before testing.
SDS-PAGE analysis of purified, BSA-free Epstein-Barr virus induced 3 antibody (clone EBI3/8905) as confirmation of integrity and purity.
Availability 1-3 business days
Species Reactivity Human
Format Purified
Host Mouse
Clonality Monoclonal (mouse origin)
Isotype Mouse IgG2b, kappa
Clone Name EBI3/8905
Purity Protein A/G affinity
UniProt Q14213
Localization Secreted
Applications ELISA (Order BSA-free Format For Coating) :
Immunohistochemistry (FFPE) : 1-2ug/ml for 30 min at RT
Western Blot : 2-4ug/ml
Limitations This Epstein-Barr virus induced 3 antibody is available for research use only.
Review this product on BioCompare and get a $20 Amazon gift card

Related Products

Description

Epstein-Barr virus-induced gene 3 (Ebi3) is a widely expressed homolog to the interleukin IL-12 p40 subunit protein that forms a heterodimer with either IL-12 p35 or an IL-12 p35 homolog, p28, to create a new cytokine (IL-27). IL-27 is an early product of activated antigen-presenting cells and drives rapid clonal expansion of naive but not memory CD4+ T cells.

Application Notes

Optimal dilution of the Epstein-Barr virus induced 3 antibody should be determined by the researcher.

Immunogen

A recombinant partial protein sequence (within amino acids 366-466) from the human protein was used as the immunogen for the Epstein-Barr virus induced 3 antibody.

Storage

Aliquot the Epstein-Barr virus induced 3 antibody and store frozen at -20oC or colder. Avoid repeated freeze-thaw cycles.

Cross
Bulk Quote Request Form
Name*:
Organization*:
Email*:
Phone Number*:
Catalog No.*:
Comments and Specifics(amount, formulation, etc.)*:
Validation code: Captchapackage Image


Can't read the image? click here to refresh.
    *required field

Your bulk quote request has been submitted successfully!

Please contact us if you have any questions.